天网恢恢疏而不漏,幕后凶手现形记

王珏 | 无锡市人民医院
郑潇寒 | 南京市脑科医院
前 言
在日常的血常规工作中,经常能遇到嗜酸性粒细胞增多的现象,作为形态检验人,你是会不假思索的发出报告呢?还是会追踪患者嗜酸粒细胞增高的原因究竟是什么?
案例经过
病史简介
午饭前接到临床医生电话,需要镜检白细胞分类。下午一上班,先看了一下血常规结果,白细胞数增高,机器分类中性粒细胞增高,嗜酸性粒细胞绝对值达2.82×109/L,中度贫血,血小板减少。推片染色镜检,发现除嗜酸性粒细胞增高外,还可见幼稚粒细胞前体细胞。
根据外周血嗜酸性粒细胞绝对计数,可以将嗜酸粒细胞增多分为以下4种程度:
0.05×109/L-0.5×109/L 正常
0.5×109/L-1.5×109/L 轻度增多
1.5×109/L-5.0×109/L 中度增多
>5.0×109/L 重度增多
显然,该患者达到了中度增多,而根据嗜酸性粒细胞增多的原因,又可分为反应性嗜酸性粒细胞增多症,原发性嗜酸性粒细胞增多症,家族遗传性嗜酸性粒细胞增多症及特发性嗜酸性粒细胞增多症四大类。那这个患者究竟是何种类型呢?
患者头晕,乏力,消瘦1月余,体重减轻10斤,左上腹痛1天,查全腹部CT示:脾大,脾脏梗死可能入院。
实验室检查
血常规:WBC 26.63×109/L,Hb 65g/L,PLT 31×109/L
镜检分类:中性粒细胞56%,淋巴细胞4%,单核细胞10%,嗜酸性粒细胞12%,嗜碱性粒细胞2%,原始细胞1%,早幼粒细胞3%,中晚幼粒细胞12%
凝血功能检测:PT13.4S,APTT34.0S
肝肾功能:乳酸脱氢酶1489u/L
肿瘤四项:均正常
贫血三项:叶酸5.58nmol/L,铁蛋白1196.40ng/mL
抗核抗体ANA:阳性1:40
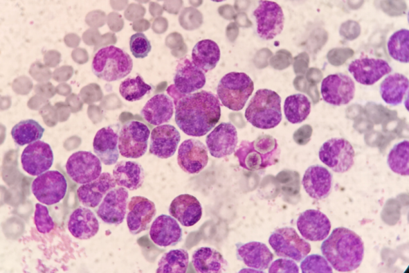
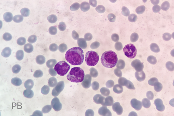
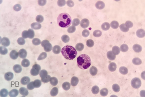
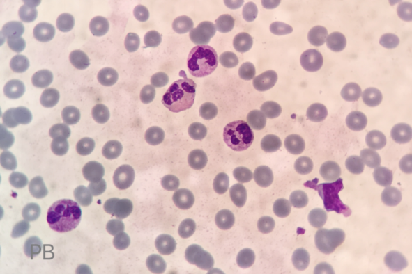
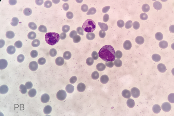
外周血片:
图片
图片
图片
图片
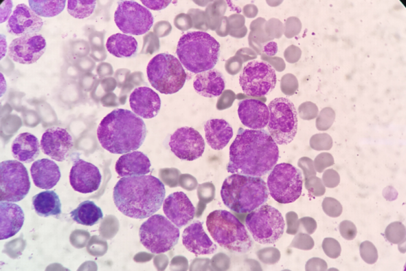
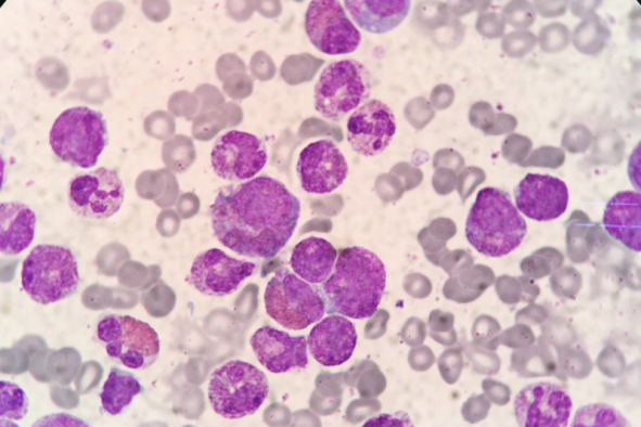
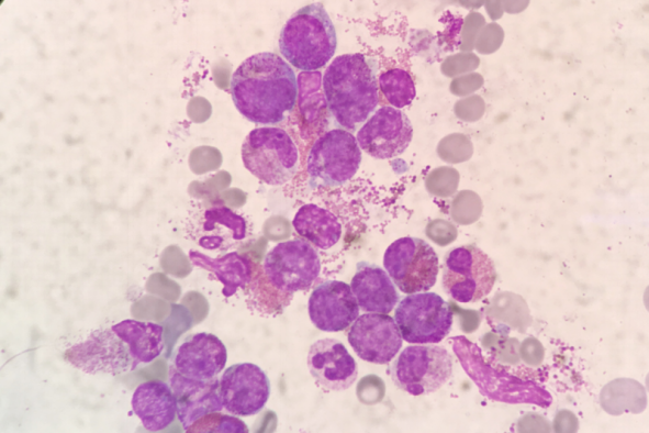
骨髓细胞学检查:
图片
图片
图片
图片
图片
流式免疫分型:髓系原始细胞罕见,CD34,HLA-DR表达增强,部分CD117表达缺失,表型异常,粒系比例增高,嗜酸性粒细胞比例增高,红系比例减低,B祖细胞罕见,请结合形态与遗传学。
染色体:可见克隆性异常del(8q)
骨髓活检:
图片
分子生物学检查:白血病43种融合基因检测均为阴性
血液系统疾病基因突变筛查结果:未见疾病相关热点突变
后加做转录组mRNA测序:检测到PCM1-JAK2融合基因转录本
图片
图片
进一步查阅病历发现,该患者2019年因左腘窝囊肿入院手术,自述2016年以来反复出现嗜酸性粒细胞增多,未予重视。当时入院血常规检查及各项检查结果如下:
图片
图片
图片
图片
临床最终诊断:骨髓增殖性肿瘤伴嗜酸性粒细胞增多
心得体会
髓系/淋系肿瘤伴嗜酸性粒细胞增多和基因重排是一类特殊的血液系统恶性肿瘤,发病率较低,通常具有特征性的嗜酸性粒细胞增高,可以表现为慢性髓系增殖性疾病,也可以表现为急性髓系白血病或淋巴母细胞淋巴瘤/白血病,具有特异性的遗传学异常,包括PDGFRA重排,PDGFRB重排,FGFR1重排以及PCM1-JAK2融合,其中伴t(8;9)(p22;q24.1);PCM1-JAK2的髓系/淋系肿瘤为2016年WHO分类新增临时病种。
嗜酸性粒细胞增多在日常工作中较为常见,我们往往首先考虑反应性嗜酸粒细胞增多症:多见于寄生虫感染,过敏性疾病,药物及结缔组织/风湿性疾病等,并且我们也发现,嗜酸性粒细胞增高的比例与疾病良恶性并无关联。
在形态学上,伴PDGFRA重排或PDGFRB重排的嗜酸性粒细胞,约2/3可见形态学异常,主要表现为胞浆空泡,核分叶异常,核出芽等。
伴PCM1-JAK2的病例可表现为CEL或其他MPN,aCML或其他MDS-MPN,AML或B-LBL,T-LBL。本病好发于男性,男女比约为27:5,中位发病年龄约为47岁,患者常有肝脾肿大,血液学特点是嗜酸性粒细胞和幼粒细胞同时存在,单核细胞增加不常见,偶见嗜碱性粒细胞增多,骨髓常见红系和粒系病态造血,有核红细胞增加,活检可见原始红细胞片状生长,常见骨髓纤维化,有时伴骨髓肥大细胞增多。本病常发生急变,多转化为AML,也可为B-ALL。
在排除反应性嗜酸性粒细胞增高后,我们也要仔细观察细胞形态,同时加强对一些少见疾病的了解,积极的帮助临床寻找原因。
附嗜酸性粒细胞增多诊断流程图:
图片
(本图来自微信公众号“血液病综合诊断学术交流”)
感谢哈尔滨医科大学附属第二医院高海燕老师指导
【参考文献】
[1]SwerdlowSH,Campo E,Harris NL, et al. (Eds) : WHO Classification of Tumours ofHaematopoietic and Lymphoid Tissues (Revised 4th edition). IARC:Lyon2017.
[2]中华医学会血液学分会白血病淋巴瘤学组.嗜酸粒细胞增多症诊断与治疗中国专家共识(2017年版)[J].中华血液学杂志,2017,38(7):561-565.
[3]卢兴国,叶向军,徐根波.骨髓细胞与组织病理诊断学[M].北京:人民卫生出版社,2020
[4]高海燕,刘亚波,吕成芳,陈雪艳.血液病临床检验诊断[M].北京:中国医药科技出版社,2021.3
END
说明:本文为原创投稿,不代表检验医学新媒体观点。转载时请注明来源及原创作者姓名和单位。
图片
欢迎关注
编辑:徐少卿 审校:陈雪礼