“牙痛”十几年,半边牙齿都拔光也没用!竟是它在作怪

广东汕头的李叔今年64岁,十几年前,他的右半边脸就经常疼痛,那种难受的感觉就像被电击、刀割、针扎了一样,让他痛得整晚都睡不好觉。
刚开始,李叔以为这是“牙痛”,反复看了好多年牙医,每次都拔掉一颗牙,直到拔光了半边脸的全部牙齿,疼痛还是没有好转。
5月27日,他来到我们医院看病,终于找到了“真凶”。
据李叔介绍,当年的“牙痛”突然就开始了,具体开始的时间,以及有没有特殊原因,他早就不记得了。
只有疼痛的程度让他记忆犹新:
嘴巴一张开,就好像被电源戳到了一样。从嘴巴到耳朵,都像被电了一样,眼睛还会不由自主地流泪。我都不敢张嘴,吃饭的时候,看到好吃的,很想吃却不敢吃。肚子饿得要命,一张嘴却痛得又不想吃了。”
“我总是想,人生这一关太难熬了!”
图片(图片来源:李叔访谈视频)
可越是痛得厉害,李叔越坚信这是牙痛,“我看了至少10家牙科诊所,每次去牙科,都会拔掉一颗牙齿,拔掉就会好受一段时间,但过后还是会继续痛。没有一个医生跟我说,你可能不是牙痛,而是别的原因”。
牙拔了,自然还要种回去。重新种这半口牙,花了李叔十几万元。
可直到拔光了全部的牙齿,他的疼痛也没有丝毫好转的迹象。李叔这才明白,自己根本不是“牙痛”
后来,李叔在当地三甲医院诊断出“三叉神经痛”,并听从当地医生的建议,口服卡马西平片。这是一种抗癫痫药物,但也可以作为首选药物,用在三叉神经痛的治疗上。
吃上卡马西平,最开始的效果还不错,李叔的右半边脸松快了许多,也不像以前那么痛了。
但慢慢地,药物的效果越来越差,后来几乎没啥用了。哪怕是刷牙、洗脸、刮胡子、说话、喝水,甚至一阵小风吹过去,李叔的右半边脸都会剧烈疼痛。
无奈之下,他又踏上了辗转求医路,试过很多法子,可疼痛丝毫不见好转,还愈发频繁。
李叔经朋友介绍,来到我们医院,挂了神经外科。
我仔细检查后发现,李叔右半边脸的疼痛位置,恰好是在三叉神经各条分支支配的区域,疼痛特点也是三叉神经痛的典型表现,说明他在当地医院的诊断没有错。
知识点
三叉神经痛是最常见的神经痛之一,多发生于40岁以上的中老年人。疼痛常常发生在三叉神经的支配区。
三叉神经大致支配3个区域,分别是额头和眼睛附近、上颌周边、下颌周边(见下图)。
图片
在我们的脸上会有一个或多个敏感的“触发点”,或者叫“扳机点”,大多在鼻翼、嘴唇、脸颊、眉毛、耳屏等地方。刷牙、洗脸、刮胡子、吃喝东西、说话等,都可能会触及某个“触发点”,而引起疼痛。
三叉神经痛可是有“天下第一痛”称号的,痛起来啥样的感觉都有,比如针刺样痛、触电样痛、刀割样痛、撕裂样痛等。
每次疼痛发作会持续数秒或数十秒,虽然短暂,但反复发作。患者常常难以忍受,心情也会焦虑不安。
那李叔的三叉神经痛是怎么得的呢?
我给李叔开了MRI检查单子,并从影像报告上看到,右侧三叉神经根部被小血管压迫住了。
知识点
原发性主要是由于三叉神经附近的血管,压迫三叉神经所致。
继发性一般是三叉神经本身,或附近肿瘤、血管畸形、炎症、脱髓鞘病变引发的。
李叔的三叉神经痛就是被附近血管压住导致的,属于原发性的。
图片
确诊无误,病根也找到了,可先前吃药都没治好,现在还有救吗?
能!这个病,手术能治。
知识点
可以通过药物和手术来治疗三叉神经痛。另外还可选用肉毒素注射、神经分支封闭治疗、球囊压迫治疗和射频热凝治疗,可暂时减轻疼痛。
图片
原则是,对于疼痛较轻的患者,优先选择药物治疗。一般口服卡马西平或奥卡西平,但随着疼痛发作越来越频繁且严重,药效会逐渐消失。
若药物疗效不好、药物过敏、疼痛剧烈且严重影响生活,就要考虑手术根治,也就是三叉神经显微血管减压术。
这个手术是在全麻下、从耳后做小切口来完成。医生通过手术显微镜的放大、聚焦和照明,将一个垫片慢慢放到病变的位置,把压迫三叉神经的血管分离开。
图片
不少人担心,在脸上做手术,会不会伤到其他神经,导致并发症呢?
三叉神经显微血管减压术的并发症很少,可能有同侧面部的痛觉减退等。治疗后的长期(10年)复发率比较低,根据我们在临床上的大致统计,约为2%~10%。
当然,大家说的也对,能不手术就尽量别手术,能不动刀最好。所以才强调说,疼痛较轻的人可以优先药物治疗。
但像李叔这样的情况,已经痛了很多年,药物治疗的效果也不好,所以才选择了做手术。
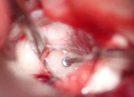
在做好充分的术前准备之后,我的团队为李叔做了三叉神经显微血管减压术。下面两张图,就是手术中显微镜下看到的样子。
图片
图片【在三叉神经根(白色的)附近放上医用垫棉,隔开血管团(红色的),为神经减压。医院供图】
手术后,李叔右半脸的疼痛立刻消失了。
“终于可以刷牙、洗脸了,吃饭、喝水、刮胡子也不用那么害怕了!”
李叔的问题解决了,但还有很多人正在被“天下第一痛”折磨,却不知道自己怎么了。
临床上,它经常被误诊为牙痛,不少患者拔牙后仍疼痛难忍,才又去看医生,辗转多次才被确诊为三叉神经痛。
到底怎么区别这两种疼痛呢?
牙痛一般是持续性的钝痛,多局限在牙龈部,接触冷、热食物可诱发酸痛,没有明显“触发点”。
而三叉神经痛是短暂、剧烈的疼痛,而且常有明显的触发点(见下图)。
图片
如果自己不能分辨,请及时到正规医疗机构的神经外科就诊。
*本文内容为健康知识科普,不能作为具体的诊疗建议使用,亦不能替代执业医师面诊,仅供参考。
*本文版权归腾讯医典所有,未经授权禁止媒体转载,违规转载将依法追究法律责任。欢迎个人转发至朋友圈。
*欢迎微信搜索并关注公众号“腾讯医典”,获取更多健康科普知识。