检验与临床:流产衣原体感染引起的肺炎1例

作者:朱常军
单位:南京医科大学第二附属医院 呼吸与危重症医学科
1
病例介绍
主诉
患者季XX,男,66岁,因“发热两天”入院。
现病史
患者两天前无明显诱因下出现发热,最高体温达39.7℃,伴咳嗽咳痰,痰少,为黄色粘痰,有胸闷气喘,活动后明显,有头痛头晕、恶心反酸,两天前呕吐一次,为胃内容物,无胸痛、肩背部放射痛,无畏寒、咯血,无潮热,盗汗,无嗳气、腹痛、腹胀,无黑朦、晕厥,无双下肢水肿及夜间阵发性呼吸困难,口服“布洛芬”退烧效果不佳,遂至南京医科大学第四附属医院就诊,查胸部CT示肺炎,为求进一步治疗于我院就诊。拟“肺炎”收治入院,病程中,患者精神萎靡,饮食睡眠较差,大小便正常,体重近期无明显改变。
既往史
平素身体一般。否认肝炎、结核等传染病病史。有慢性病史,一年前曾因肝恶性肿瘤于外院行介入手术三次,无外伤史,无血制品输注史,无食物、药物过敏史,预防接种史按计划进行。
初步诊断
肺炎、肝恶性肿瘤
2
常规检测结果、常规病原学检测结果
血常规:
白细胞计数 9.78*10^9/l;中性粒细胞计数9.40*10^9/l;
中性粒细胞百分率 96.1%;淋巴细胞计数 0.26*10^9/l;淋巴细胞百分率2.7%;单核细胞计数0.12*10^9/l;单核细胞百分率 1.2%;嗜酸性粒细胞计数 0;
血红蛋白 98g/l;平均红细胞体积 61fl;平均血红蛋白含量 19.7pg;
平均血红蛋白浓度317g/l;血小板计数82*10^9/l;超敏C反应蛋白 160.79mg/l。
尿常规:隐血 +-;尿蛋白1+;葡萄糖 1+;细菌 316/ul,余正常。
尿常规:
隐血 +-;尿蛋白1+;葡萄糖 1+;细菌 316/ul,余正常。
粪便常规:
隐血实验 阳性;余正常
血气分析:
pH 7.461;PCO2 37.2mmHg;PO2 51.2mmHg;血红蛋白 10.7g/dl;
氧饱和度 88.2%;Na+ 127mmol/l;乳酸 2.3mmol/l;总胆红素40umol/l;
HCO3- 26.6mmol/l。
凝血常规:
血浆凝血酶原时间测定 23.6s;国际标准化比值 1.99;
活化部分凝血酶原时间测定54.9s;纤维蛋白(原)降解产物 11.1ug/ml;
血浆D-D二聚体 4.05ug/ml;血浆抗凝血酶III活性 32.9%。
生化:
血清降钙素原 2.6ng/ml;尿素 5.97mmol/l;肌酐61umol/l;总胆红素45.2umol/l;结合胆红素 36umol/l;未结合胆红素 9.2umol/l;总蛋白 48.7g/l;白蛋白 26.1g/l;球蛋白 17.1g/l;丙氨酸氨基转移酶 29.1U/L;天冬氨酸氨基转移酶 48.8U/L;Na+ 126mmol/l。
肿瘤筛查:
血清糖类抗原125 186.8U/ml;细胞角蛋白19片段 30.75ng/ml;神经特异性烯醇化酶 24.67。
叶酸测定:
血清维生素B12 1196pg/ml;血清叶酸 2.63ng/ml。
铁蛋白测定:
血清铁蛋白 1242ng/ml。
转铁蛋白测定:
血清转铁蛋白 0.663g/l。
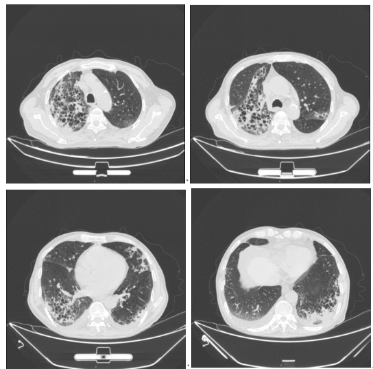
胸部CT:
两肺间质性炎症。两侧少量胸腔积液(图1)。
图片
图1:入院第一天胸部CT,两肺间质性炎症。两侧少量胸腔积液
咽拭子培养:未生长致病菌。
结核菌涂片(痰液):未生长致病菌。
细菌涂片(痰液):革兰染色涂片见G+球菌、G-球菌各少许。
血培养(双侧四瓶):培养5天无需氧、厌氧菌生长。
痰培养:革兰染色涂片见G+球菌、G-球菌各少许,未生长致病菌。
真菌培养组合(痰液):革兰染色涂片见G+球菌、G-球菌各少许,真菌培养正常。
呼吸道病毒抗体八项
嗜肺军团菌血清I型 阴性;腺病毒 阴性;呼吸道合胞病毒 阴 性;肺炎支原体抗体 阴性;肺炎衣原体 阴性;甲型流感病毒 阴性;乙型流感病毒 阴性;副流感病毒IgM 阴性。
3
mNGS检测
常规实验室检测未能发现病原体。
第一次送检:入院第二天 标本类型:外周血
人源背景
支原体/衣原体/立克次(Mycoplasma/Chlamydia/Rickettsia)
图片
耐药基因(Antibiotic resistance genes)
第二次送检: 入院第六天 标本类型:痰液
人源背景
细菌(Bacteria)
图片
支原体/衣原体/立克次(Mycoplasma/Chlamydia/Rickettsia)
图片
耐药基因(Antibiotic resistance genes)
4
鉴别诊断
入院诊断
肺炎;I型呼吸衰竭;胸腔积液;肝恶性肿瘤;低钠血症;小细胞低色素性贫血
鉴别诊断:
1.呼吸道感染:呼吸道感染虽然有咳嗽、咳痰和发热等症状,但无肺实质浸润,胸部X线检查可鉴别。
2.肺结核:多有全身中毒症状,如午后低热、盗汗、疲乏无力、体重减轻、失眠、心悸,女性病人可有月经失调或闭经。X线胸片见病变多在肺炎或锁骨上下,密度不均,消散缓慢,且可形成空洞或肺内播散。痰中可找到结核分枝杆菌。一般抗菌治疗疗效不佳。
3.肺癌:多无急性感染中毒症状,有时痰中带血丝,血白细胞计数不高。但肺癌可伴阻塞性肺炎,经抗菌药物治疗炎症消退后肿瘤阴影渐趋明显,或可见肺门淋巴结肿大,有时出现肺不张。
4.肺血栓栓塞症:多有静脉血栓的危险因素,如血栓性静脉炎、心肺疾病、创伤、手术和肿瘤等病史,可发生咯血、晕厥、呼吸困难较明显。X线胸片示区域性肺血管纹理减少,有时可见尖端指向肺门的楔形阴影。动脉血气分析常见低氧血症及低碳酸血症。D-二聚体、CT肺动脉造影、放射性核素肺通气/灌注扫描和MRI等检查可帮助鉴别。
传统的实验室检测方法没有检测出病原体,入院二天送外周血行mNGS检测,第三天结果显示患者外周血人源含量较低,mNGS敏感性较好,检测到羊流产衣原体序列数较高,衣原体属相对丰度高达98.18%。为明确诊断,建议患者行支气管肺泡灌,检测肺泡灌洗液mNGS,患者拒绝。入院后第六天送痰液行mNGS检测,检测出羊流产衣原体和小韦荣氏球菌。小韦荣氏球菌是一种革兰氏阴性微小球菌,严格厌氧,存在人和动物的口腔、呼吸道和肠道中,可产生内毒素,因此在各种混合感染中起作用,常从软组织脓肿及血液中检出,可引起上呼吸道感染和肠道感染。患者外周血及痰液均分离出羊流产衣原体,符合影像学、实验室检查和临床表现,可确认为肺炎的病原菌。
5
治疗经过及预后
根据社区获得性肺炎治疗指南,患者入院后我们经验性使用帕拉西林钠他唑巴坦钠和莫西沙星抗感染治疗。入院第六天我们通过mNGS检测出患者的血液和痰液中存在羊流产衣原体,可确认为肺炎的病原体。但是由于衣原体感染大多都是混合感染,因此我们并没有停止帕拉西林钠他唑巴坦钠的使用。在治疗第10天,我们复查了胸部CT,结果示两肺间质性炎症较前改善,两肺少量胸腔积液(图2)。
图片
图2:入院第十天胸部CT,两肺间质性炎症较前改善,两肺少量胸腔积液
患者因为检测出了乙肝小三阳和梅毒特异性抗体阳性,因此患者转院前往传染病医院进一步治疗,嘱患者出院后口服莫西沙星和克拉霉素抗感染治疗。我们在患者出院二十天后进行随访。
血常规:白细胞计数 4.98*10^9/l;中性粒细胞计数3.25*10^9/l;中性粒细胞百分率 65.2%;淋巴细胞计数 0.79*10^9/l;淋巴细胞百分率15.8%;单核细胞计数0.63*10^9/l;单核细胞百分率 12.6%;嗜酸性粒细胞计数 0.3*10^9/l;血红蛋白 105g/l;平均红细胞体积 64.9fl;平均血红蛋白含量 20.7pg;平均血红蛋白浓度318g/l;血小板计数75*10^9/l;超敏C反应蛋白 7.94mg/l。
尿常规:正常。
粪便常规:正常。
凝血常规:血浆凝血酶原时间测定 14.7s;国际标准化比值 1.31;
活化部分凝血酶原时间测定27.7s;纤维蛋白(原)降解产物 4.45ug/ml;
血浆抗凝血酶III活性 82.1%。
生化:尿素 5.71mmol/l;肌酐66umol/l;总胆红素31.3umol/l;结合胆红素 15.5umol/l;未结合胆红素 15.8umol/l;总蛋白 51.1g/l;白蛋白 30g/l;球蛋白 21.1g/l;丙氨酸氨基转移酶 31U/L;天冬氨酸氨基转移酶 26.1U/L;Na+ 141.1mmol/l。
胸部CT:两肺间质性炎症,两肺肺气肿(图3)。
图片
图3:出院第二十天胸部CT,两肺间质性炎症,两肺肺气肿。
患者目前无发热畏寒,无咳嗽咳痰,偶有胸闷气喘,无头晕头痛,无心慌气促,无恶心呕吐,神志清,精神可,饮食睡眠可,大小便正常,体重近期无明显改变。
6
案例总结
流产衣原体通常被认为会导致人类孕妇流产、死产和妊娠败血症,但很少会导致人类肺炎。目前世界上仅有一例由西班牙报道由流产衣原体感染引起的肺炎,这是我国首次报道。mNGS是一种新型的病原体基因组学诊断技术,它有助于临床医师诊断病原体未知的感染性疾病。与传统的实验室检测方法相比,快速、特异、高通量的病原检测方法对疾病的有效诊断和及时防治具有重要意义。人衣原体肺炎通常不会危及生命,患者经正确治疗后一般预后良好。然而,衣原体在全身感染后会引起脏器严重并发症,应引起临床医生的高度重视。在本病例报告中,患者既往有肝脏恶性肿瘤病史,自身免疫性低下,导致衣原体感染后出现呼吸衰竭、胸腔积液、低钠血症、低色小细胞贫血、低蛋白血症,这提示临床医生当传统的实验室检测方法无法检测出病原体后,应重视并尽早采用mNGS技术,对患者积极治疗,避免产生更加严重的并发症。所有治疗衣原体的方法相似。
本例患者主要采用注射用哌拉西林钠他唑巴坦钠和莫西沙星治疗,治疗两周后感染指标明显控制,临床症状明显改善。患者因为检测出乙肝小三阳和梅毒特异性抗体阳性,因此前往传染病医院进一步治疗,我们让患者出院后继续口服克拉霉素和莫西沙星,并且在出院的第二十天进行复查,发现患者的实验室各项指标都在明显好转,没有阳性临床症状,CT也提示较前明显好转,但是患者还没有得到完全恢复,推测可能与患者免疫功能低下有关,我们会对该患者进行后续随访。
图片
图片
END
编辑:唐强虎 审校:方琪
图片
点分享
图片
点点赞
图片
点在看