肾坏掉了,要做啥检查?

又学到了!
在全球慢性肾脏病(CKD)发病率不断上升的背景下,国际肾脏病学会与国际肾脏基金联盟联合提议并决定,从2006年起将每年3月份的第二个星期四确定为世界肾脏日(World Kidney Day),以期提高人们对慢性肾脏病及相关心血管疾病的认识。今年的世界肾脏日为3月11日,主题是“与肾病相伴,过精彩人生”。
本期,我们将讨论一下肾脏疾病的常见检查,以及如何解读检查结果。
尿液检查是基本
尿色异常怎么办?
正常尿的外观为淡黄透明,大量饮水后可呈无色透明状,若是大量出汗或喝水太少,尿色会变深黄。如果尿液呈现出其他颜色,排除受食物、药物影响,就是身体特别是泌尿系统出问题了。以下是常见的异常尿液外观及对应原因:
红色:血尿、药物(去铁胺、大黄)、进食甜菜根;
橘红色:利福平;
粉红色:苯妥英钠、酚酞;
棕色:呋喃妥因、甲硝唑;
蓝绿色:食物色素、铜绿假单胞菌尿路感染、胆道梗阻、异丙酚、亚甲蓝;
紫色:紫色尿袋综合征、卟啉;
黑色:黑色素(黑色素瘤);
白色:脓尿、乳糜尿、尿中大量结晶。
其中,血尿是最为常见的。血尿是肾脏病的常见症状,可能是由于各种肾小球疾病或全身性疾病引起的尿路出血导致。正常人离心尿沉渣红细胞计数<3个/高倍视野(HP)。
不过,如果你在发现自己“血尿”的同时还有鲜红的“血便”,先别急着害怕,想想自己是不是刚吃了红心火龙果!
泡沫尿要注意
蛋白尿也是肾脏病的常见表现,大量蛋白尿时,常在尿中见到细小泡沫,也就是俗称的“泡沫尿”。24小时尿蛋白定量检测能够较为准确地反映患者蛋白尿的严重程度,正常值为成人<150mg/d,儿童<300mg/d。若达到≥3.5g/d,即为肾病水平的蛋白尿,也称大量蛋白尿。
尿管型
管型是镜下见到的尿液中圆柱形成分,由蛋白和细胞等组成。正常尿中偶见透明管型。
红细胞管型:主要见于急性肾小球炎症;
血红蛋白管型:可见于急性肾小球炎症或血管内溶血的血红蛋白尿患者;
白细胞管型:多见于急性肾盂肾炎、急性间质性肾炎;
肾小管上皮细胞管型:见于肾小管严重损伤,如急性肾小管坏死等。
肾功能检查
肾小球滤过功能是肾脏最重要的功能之一,用肾小球滤过率(GFR)表示。总GFR参考值为100±20ml/min。GFR受年龄、性别及体重影响,如30岁后每10年GFR下降10ml/min·1.73m2,男性比女性GFR高约10ml/min,妊娠时GFR明显增加,产后降至正常。
GFR升高常见于:肢端肥大症、巨人症、糖尿病肾病早期;
GFR降低常见于:急性肾衰竭(ARF)、慢性肾衰竭(CRF)、肾小球功能不全、肾动脉硬化、肾盂肾炎(晚期)、甲减等。
由于GFR无法直接测定,临床上常用血肌酐(Cr)测定来推测GFR。全血Cr正常值为88.4~176.8μmol/L;血清或血浆Cr,男性为53~106μmol/L,女性为44~97μmol/L。
血Cr增高常见于ARF、CRF引起的肾小球滤过功能减退。老年人、消瘦者Cr可能偏低,因此一旦血Cr升高,就要警惕肾功能减退,并进一步做内生肌酐清除率(Ccr)检测。
影像学检查必须有
肾脏影像学检查中最简单易行的就是照泌尿系统平片。正常泌尿系统平片上,应可见两侧肾脏轮廓清楚,腰肌阴影对称,骨骼清晰可见,小肠内无积气,整个泌尿系统内无致密阴影,无软组织肿块阴影(图1)。
图片
图1 正常泌尿系统平片
而常规静脉泌尿系统造影目前已成为最常用的肾脏检查方法之一,与平片不同的是,进行这一检查需要静脉注入造影剂,属于有创检查。造影检查还包括特殊静脉泌尿系统造影、逆行肾盂造影、肾穿刺造影、肾血管造影等。
当怀疑有肾、输尿管、膀胱病变时,或有不能解释的泌尿系统症状,均可做静脉泌尿系统造影,以便发现或除外泌尿系疾病。
肾穿刺造影多用于诊断肾积水、肾结核、肾积脓和肾囊肿等疾病。
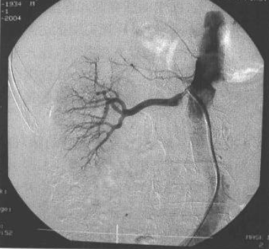
肾血管造影则是用来观察肾动脉或肾静脉的情况(图2),是一种对患者有一定危险性的有创检查方法。
图片
图2 腹主动脉-肾动脉造影像
CT对于肾及肾区肿块的定位定性诊断具有较高的诊断价值
MRI与其他影像学检查相比,具有更高的软组织分辨率,可多平面成像,还能在分子代谢水平揭示病变的一些特性,在临床应用中越来越受到人们的重视。
无创、无痛苦、便捷廉价的超声检查同样是诊断肾脏疾病的重要手段,适用于肾脏先天性异常、肾脏囊性病变、肾脏实质肿瘤、肾脏感染疾病、肾创伤和肾结石等情况。
此外,肾脏疾病的常见检查方法还包括免疫学检查、核素检查、病理学检查等,其方法和结果解读相当复杂,就不再赘述。
最后,还没出正月都是年,小编给大家拜个晚年,祝大家身体健康,远离肾病!
参考资料:
[1] 肾脏病学第3版,人民卫生出版社,2008.9.
[2] 诊断学第7版,人民卫生出版社,2008.1.
本文首发丨医学界风湿与肾病频道
本文作者丨玉酱
本文审核 | 陈新鹏 副主任医师
编辑:笪文武 审校:陈雪礼