恶性黑色素瘤肝门区转移长期存活1例|罕见病例

图片
图片
1病例资料
患者男性,73岁,因“发现胰腺占位2d”于2018年4月11日入住吉林大学第一医院肝胆胰外科。近期体质量无明显变化,睡眠及饮食正常,大小便正常,无发热。
既往史:18年前因右足拇指恶性黑色素瘤于吉林大学第二医院切除右足拇指及瘤体,6年前行化疗半年,控制良好;15年前因甲状腺囊肿行甲状腺全切,平素口服优甲乐100 μg/d;糖尿病史4~5年,空腹血糖14~15 mmol/L,餐后血糖20 mmol/L以上,平素皮下注射甘舒霖早晚各26单位,血糖控制不佳。无高血压、冠心病史,无肝炎等传染病史,无特殊药物服用史,无家族遗传病,吸烟史50年,20支/d。
查体:腹部平坦,右上腹压痛,无反跳痛及肌紧张,余无明显阳性体征。
实验室检查:葡萄糖 8.29 mmol/L(4.1~5.9 mmol/L);细胞角蛋白19片段 5.17 ng/ml (<5.00 ng/ml),神经元特异性烯醇化酶 39.24 ng/ml(<25 ng/ml)。肝肾功能及甲状腺功能均正常。
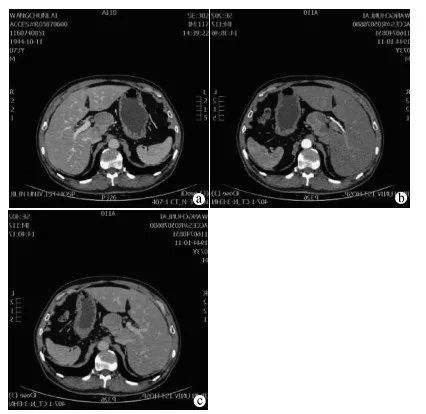
肝胆脾胰多排CT三期增强检查示(图1):肝门区占位性病变,边界尚清,大小约6.6 cm×4.1 cm,与肝尾叶分界不清,考虑恶性可能。
图片
注:a,平扫期可见肝门区异常密度影;b,动脉期肿物明显不均匀强化;c,平衡期可见强化程度稍减低。
图1 CT三期增强检查结果
诊断为肝门区占位性病变,遂行手术治疗。
术中探查见肿瘤大小约10 cm×9 cm×6 cm,位于肝十二指肠韧带后方,包膜完整,与周围组织分界清楚。超声刀沿肿瘤包膜边缘剥离后,顺利取出肿瘤。术后患者恢复良好。
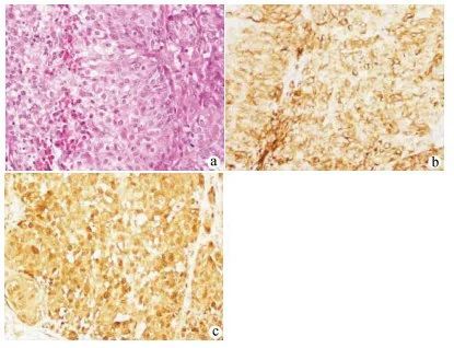
术后病理示(图2):肝门区恶性黑色素瘤,伴坏死,体积9 cm×5 cm×4 cm,大部分包膜,切面灰白色、实性、质略韧,结节样。周围淋巴结未见肿瘤转移,免疫组化:HMB45(+),S-100(+),CK-pan(-),GPC-3(-),Heppar1(-)。
图片
注:a,可见瘤细胞内、细胞间质噬色素细胞含有较多黑素(HE染色,×40);b,HMB45阳性(免疫组化,×20);c,S-100阳性(免疫组化,×20)。
图2 术后病理组织染色结果
图片
2讨论
作为皮肤上最为致命的肿瘤,恶性黑素瘤是由黑素细胞恶性转化引起的一种具有高发病率和病死率的恶性肿瘤,其较为少见,常具有病灶非对症性、边缘不规则等恶性疾病的特点,除最常见的皮肤外,恶性黑色素瘤还可发生于眼睛(脉络丛)、口腔、黏膜表面、食管、肺、肝脏等多个器官[1-2],并且有可能转移到任何器官。恶性黑色素瘤转移至消化系统多见于小肠、结肠、胃及直肠,术前确诊率极低,皮肤恶性黑色素瘤术后超过3年发现肝门区转移的病例国内外尚无报道。阳性淋巴结和出现晚期临床表现是反应预后较差的指标[3],根据美国统计的数据[4],恶性黑色素瘤患者一旦出现第一个远处转移,该肿瘤便会成为最具侵袭性和最具化学性的肿瘤之一:90%~95%的患者存活不超过3年,本例患者恶性黑色素瘤术后存活18年,腹腔转移术后10个月复查腹部CT无复发,实属罕见。
黑素瘤的发病机制是由遗传因素控制的。在形成和发展过程中,信号通路如PI3K,CDK4/6-p16,但主要是MAPK(RAS-RAF-MEK-ERK)在黑色素瘤的形成和发展过程中起着重要作用。黑素瘤的定义突变包括BRAF、KIT和NRAS致癌基因的表达,以及PTEN、p53和p16INK4a等肿瘤抑制基因的丢失[5]。有研究[6]表明,miRNA-367通过调节磷酸酶和张力蛋白同系物的表达来增强皮肤恶性黑色素瘤的扩散和侵入;另有研究[7]表明,不同的整合蛋白是导致人类恶性黑素瘤的血管生成和器官特异性转移的原因。
对皮肤恶性黑色素瘤的临床诊断可遵循ABCDE原则[8-9],即不对称,不规则的边界,不止一个或不均匀的颜色分布,或者一个大的(>6 mm)直径,痣的进化与发展。病理诊断为诊断的金标准,对黑色素瘤的病理诊断通常依赖于细胞内黑色素的识别,这可以在50%~70%的病例中得到证实[10]。非典型病变具有挑战性,鉴别诊断应包括淋巴瘤、肉瘤、分化较差的癌、小细胞癌、神经鞘瘤、血浆瘤、嗅神经母细胞瘤以及皮肤黑色素瘤的转移性病变[11]。当病变不能诊断为黑色素瘤,沃尔夫冈韦耶斯建议推迟活检,除非伴随有恶性肿瘤的特征,目的是减少诊断和生物的不确定性,从而将黑色素瘤过度诊断的可能性与相关的成本和发病率降到最低[12]。免疫组化在对恶性黑色素瘤的形态学上不确定的病例做出明确诊断中起着重要的作用。Vimentin是鉴别诊断中最一致但最没价值的标记;S-100阳性是非特异的,但在大多数需要鉴别的其他肿瘤中是阴性的,其敏感度更高;HMB 45是比S-100蛋白质更具体的标记;Melan-A在约80%的黑色素瘤中是阳性的;MiTF在超过90%的黑色素瘤中是阳性的。NSE、CD117、CD99、单克隆体、多克隆CEA和CK的免疫活性也偶有报道[13]。
黑色素瘤好发于老年人群,约50%原发病灶为足底,大多与创伤与慢性刺激相关[14],同时老年黑色素瘤分类特殊,治疗耐受性较差、肿瘤分期晚,因老年人基础身体素质差、肿瘤并发症多、预后差。对于早期可切除的黑色素瘤完全切除手术是典型的治疗方法[15]。本文总结了2003年—2019年国内报道的恶性黑色素瘤伴有腹腔转移的14例罕见病例,其中9例患者采取转移灶切除方式。Liu等[16]报道鼻咽恶性黑色素瘤转移至胆囊1例,给予患者行胆囊切除术,术后辅以化疗治疗,2年后出现肺部、骨等全身转移,并由此得出结论早期对于胆囊转移性恶性黑色素瘤采用手术切除方式可以显著提高患者1年生存率。根据Marone等[17]报道,术后辅助化疗对于提高已经远处转移患者的5年生存率无明显影响,进一步肯定了手术对于治疗恶性黑色素瘤远处转移的疗效。胰腺转移性恶性黑素瘤罕见,早期治疗方式以手术为主,是延长患者生存期唯一方式[18]。恶性黑色素瘤转移至胰腺国内外共报道3例[18-20],均行手术切除,术后患者恢复良好。Cheng等[21]认为肝转移性恶性黑色素瘤,若病变局限于肝脏无其他脏器转移,建议行肝部分切除,中位生存期明显优于行化疗患者。Huang等[22]报道肾上腺转移性恶性黑色素瘤3例,认为肾上腺黑色素瘤转移患者治疗应以氮烯唑胺化疗、放疗、辅助免疫治疗等非手术治疗手段为主,患者5年生存率可达5%~15%[23-24],若病变局限于肾上腺或有少数孤立病灶,手术可完整切除,为肾上腺转移黑色素瘤最佳手术适应证,可显著改善患者预后,术后平均生存期可达20.7~25.7个月;若存在出血风险,则考虑行姑息手术,患者预后较差。恶性黑色素瘤转移至消化道,若病变局限仍以手术方式为主。Xiang等[25]认为胃转移性恶性黑色素瘤罕见,呈浸润性生长,放疗、化疗及免疫治疗效果较差,行手术治疗为主要治疗方式。Song等[26]认为转移性肛管直肠恶性黑色素瘤治疗方式仍以手术为主,手术方式包括为局部广泛切除和经腹会阴部手术,可以显著提高患者生存率。5例患者黑色素瘤腹腔广泛转移,行化疗治疗,效果差,患者生存期均小于6个月。
本例患者右足拇指受伤后原发皮肤恶性黑色素瘤,给与及时切除后规律化疗2年,无明显不适,术后18年出现腹腔转移,病变局限于肝门区,国内尚无报道,本例患者积极手术治疗,病变完整切除,术后10个月患者身体状况良好,随访至今患者无复发,实属罕见,肯定了手术对于治疗病变局限腹腔转移恶性黑色素瘤具有的重要临床意义。除手术外,BRAF作为一种重要的肿瘤癌基因在黑色素瘤中促进了靶向治疗的发展[27],在老年患者中BRAF基因、C-KIT基因突变是老年人黑色素瘤常见的突变方式,现阶段对于无法切除或晚期BRAF突变型恶性黑色素瘤多采用BRAF和MEK抑制剂的联合治疗方式,针对C-KIT基因突变应用伊马替尼可以显著提高患者的生存率。免疫治疗主要包括易普利姆玛、派姆单抗等单克隆抗体[28-29]。
综上,对于恶性黑色素瘤远处转移的患者,若仍存在手术机会,应优先考虑手术切除治疗。对于无法行手术切除的恶性黑色素瘤远处转移的患者,可选择化疗、放射治疗、免疫治疗以及靶向治疗。
参考文献:
[1]YUNCE M, SELINGER S, KRIMSKY W, et al. Primary malignant melanoma of the lung: A case report of a rare tumor and review of the literature[J]. J Community Hosp Intern Med Perspect, 2018, 8(1): 29-31.
[2]KOZOVSKA Z, GABRISOVA V, KUCEROVA L. Malignant melanoma: Diagnosis, treatment and cancer stem cells[J]. Neoplasma, 2016, 63(4): 510-517.
[3]MANOLIDIS S, DONALD PJ. Malignant mucosal melanoma of the head and neck: Review of the literature and report of 14 patients[J]. Cancer, 1997, 80(8): 1373-1386.
[4]MERIC JB, RIXE O, KHAYAT D. Metastatic malignant melanoma[J]. Drugs Today (Barc), 2003, 39(Suppl C): 17-38.
[5]MORAN B, SIVAL R, PERRY AS, et al. Epigenetics of malignant melanoma[J]. Semin Cancer Biol, 2018, 8(51): 80-88.
[6]LONG J, LUO J, YIN X. miR-367 enhances the proliferation and invasion of cutaneous malignant melanoma by regulating phosphatase and tensin homolog expression[J]. Mol Med Rep, 2018, 17(5): 6526-6532.
[7]HUANG R, ROFSTAD EK. Integrins as therapeutic targets in the organ-specific metastasis of human malignant melanoma[J]. J Exp Clin Cancer Res, 2018, 37(1): 92.
[8]THOMAS L, TRANCHAND P, BERARD F, et al. Semiological value of ABCDE criteria in the diagnosis of cutaneous pigmented tumors[J]. Dermatology, 1998, 197(1): 11-17.
[9]KNACKSTEDT T, KNACKSTEDT RW, COUTO R, et al. Malignant melanoma: Diagnostic and management update[J]. Plast Reconstr Surg, 2018, 142(2): 202e-216e.
[10]BATSAKIS JG, REGEZI JA, SOLOMON AR, et al. The pathology of head and neck tumors: Mucosal melanomas, part 13[J]. Head Neck Surg, 1982, 4(5): 404-418.
[11]THOMPSON LD, WIENEKE JA, MIETTINEN M. Sinonasal tract and nasopharyngeal melanomas: A clinicopathologic study of 115 cases with a proposed staging system[J]. Am J Surg Pathol, 2003, 27(5): 594-611.
[12]MARGHOOB AA, MARCHETTI M, HALPERN AC, et al. Comment on: Screening for malignant melanoma-a critical assessment in historical perspective[J]. Dermatol Pract Concept, 2018, 8(2): 73-74.
[13]BEN-IZHAK O, STARK P, LEVY R, et al. Epithelial markers in malignant melanoma. A study of primary lesions and their metastases[J]. Am J Dermatopathol, 1994, 16(3): 241-246.
[14]BUCHANAN DJ, SCHLAERTH J, KUROSAKI T. Primary vaginal melanoma: Thirteen-year disease-free survival after wide local excision and review of recent literature[J]. Am J Obstet Gynecol, 1998, 178(6): 1177-1184.
[15]LATTERI S, TEODORO M, MALAGUARNERA M, et al. Abdominal perineal resection or wilde local excision in primary anorectal malignant melanoma. Case report and review[J]. Ann Med Surg (Lond), 2017, 19: 74-77.
[16]LIU J, ZHOU F, ZHANG L, et al. A case report: Nasopharyngeal malignant melanoma metastasized to gallbladder in [J]. J Clin Exp Pathol, 2015, (2): 230-231.(in Chinese)
刘静, 周峰, 张柳, 等. 鼻咽恶性黑色素瘤转移至胆囊1例[J]. 临床与实验病理学杂志, 2015,(2): 230-231.
[17]MARONE U, CARA C, LOSITO S, et al. Laparoscopic cholecystectomy for melanoma metastatic to the gallbladder: Is it an adequate surgical procedure? Report of a case and review of the literature[J]. World J Surg Oncol, 2007, 5: 141.
[18]LIN ZC, HAN MR. A case report of metastatic malignant melanoma of the pancreas[J]. Chin J Pancreatol, 2016, 16(1): 32. (in Chinese)
林志川, 韩明瑞. 胰腺转移性恶性黑色素瘤一例[J]. 中华胰腺病杂志, 2016, 16(1): 32.
[19]CHEN XL, GUO ZK, YANG ZH. Duodenal and pancreatic metastases of malignant melanoma: A case report [J]. Chin Gen Pract, 2013, 16(14): 1683-1684. (in Chinese)
陈曦岚, 郭兆坤, 杨振华. 恶性黑色素瘤十二指肠及胰腺转移一例并文献复习[J]. 中国全科医学, 2013, 16(14): 1683-1684.
[20]NIKFARJAM M, EVANS P, CHRISTOPHI C. Pancreatic resection for metastatic melanoma[J]. HPB (Oxford), 2003, 5(3): 174-179.
[21]CHENG XJ, XU LB, GENG XP. Surgical resection of hepatic metastatic malignant melanoma: A case report [J]. J Hepatobiliary Surg, 2004, 12(6): 479. (in Chinese)
程学俭, 许伦兵, 耿小平. 肝脏转移性恶性黑色素瘤手术切除1例报告[J]. 肝胆外科杂志, 2004, 12(6): 479.
[22]HUANG ZM, LI HZ, XIAO H, et al. Melanoma adrenal metastasis: Report of 3 cases and literature review[J]. Natl Med J China, 2010, 90(16): 1123-1125. (in Chinese)
黄钟明, 李汉忠, 肖河, 等. 恶性黑色素瘤肾上腺转移三例[J]. 中华医学杂志, 2010, 90(16): 1123-1125.
[23]HAIGH PI, ESSNER R, WARDLAW JC, et al. Long-term survival after complete resection of melanoma metastatic to the adrenal gland[J]. Ann Surg Oncol, 1999, 6(7): 633-639.
[24]MITTENDORF EA, LIM SJ, SCHACHERER CW, et al. Melanoma adrenal metastasis: Natural history and surgical management[J]. Am J Surg, 2008, 195(3): 363-368; discussion 368-369.
[25]XIANG Y, ZHANG W, QIN XL, et al. Primary fundus malignant melanoma with gastrointestinal peritoneal metastasis a case report[J]. Shaanxi Med J, 2006, 35(11): 1568-1568. (in Chinese)
相祎, 张伟, 秦小玲, 等. 原发性胃底恶性黑色素瘤并消化道腹腔转移1例[J]. 陕西医学杂志, 2006, 35(11): 1568-1568.
[26]SONG SX, ZHOU Y, CHEN P, et al. Anorectal malignant melanoma with posterior rectal lymph node metastasis: A case report [J]. Inter Natl J Surg, 2014, 41(10): 712-713. (in Chinese)
宋树祥, 周宇, 陈平, 等. 肛管直肠恶性黑色素瘤伴直肠后方淋巴结转移一例[J]. 国际外科学杂志, 2014, 41(10): 712-713.
[27]POPESCU A, HAIDAR A, ANGHEL RM. Treating malignant melanoma when a rare BRAF V600M mutation is present: Case report and literature review[J]. Rom J Intern Med, 2018, 56(2): 122-126.
[28]GUO J, SI L, KONG Y, et al. Phase II, open-label, single-arm trial of imatinib mesylate in patients with metastatic melanoma harboring c-Kit mutation or amplification[J]. J Clin Oncol, 2011, 29(21): 2904-2909.
[29]ATKINSON V. Recent advances in malignant melanoma[J]. Intern Med J, 2017, 47(10): 1114-1121.
引证本文