患者无特异性症状,双肺斑片状实变的原因是?丨以影识病

患者男,80岁,无特异性症状。
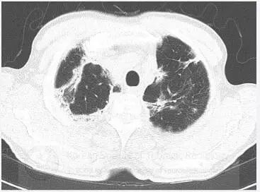
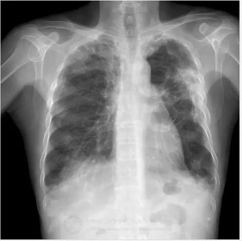
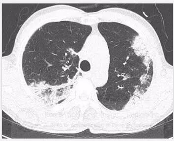
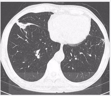
初始胸片显示双肺斑片状或外周实变,以及磨玻璃影。胸部CT显示双肺多灶性、斑片状实变,伴中央空气支气管征,以及外周磨玻璃影。病变在外周、上叶多见。
?
图片
图片
图片
图片
图片
鉴别诊断:包括慢性嗜酸粒细胞性肺炎、隐源机化性肺炎和Churg-Strauss综合征。
诊断:慢性嗜酸粒细胞性肺炎
右下叶行VATS楔形切除术。病理结果显示急性和慢性炎症,间质和肺泡内嗜酸粒细胞浸润,以及有纤维化。
使用糖皮质激素治疗,3个月后病灶几乎消失。
简评
慢性嗜酸粒细胞性肺炎是一种肺部嗜酸性粒细胞浸润的疾病,病程一般2~6个月或更长,病因未明。
肺间质、肺泡和细支气管内有白细胞浸润,主要为成熟嗜酸性粒细胞,少量组织细胞、核淋巴细胞。
患者多见于中青年女性,常表现为发热、体重减轻和盗汗。
胸片常显示不呈段或叶性分布的周围片状阴影,常为双侧分布。CT显示典型的不呈段性气腔实变,以外周受累为主。不常见表现包括磨玻璃影、结节和网格影。
糖皮质治疗后48小时内症状和X线表现可迅速消失,因停药较易复发,故全疗程需在一年以上。
参考:Adam Bernheim, Theresa McLoud. A Review of Clinical and Imaging Findings in Eosinophilic Lung Diseases. AJR 2017; 208:1002