2020年湖南省临床形态学检查室质评结果(第一次)

图片
尿沉渣涂片,未染色,400×镜下图。
肾小管上皮细胞
图片
尿沉渣涂片,未染色,400X镜下图。
透明管型
图片
尿沉渣涂片,未染色,400×镜下图。
红细胞/异常形态红细胞
图片
尿沉渣涂片,未染色,400×镜下图。
鳞状上皮细胞
图片
尿沉渣涂片,未染色,400×镜下图。
磷酸氨镁结晶(三联磷酸盐)
图片
尿沉渣涂片,未染色,400×镜下图。
此图有争议,无正确答案
图片
外周血涂片,瑞氏-吉姆萨染色,1000X镜下图。
嗜多色性红细胞/巨红细胞
图片
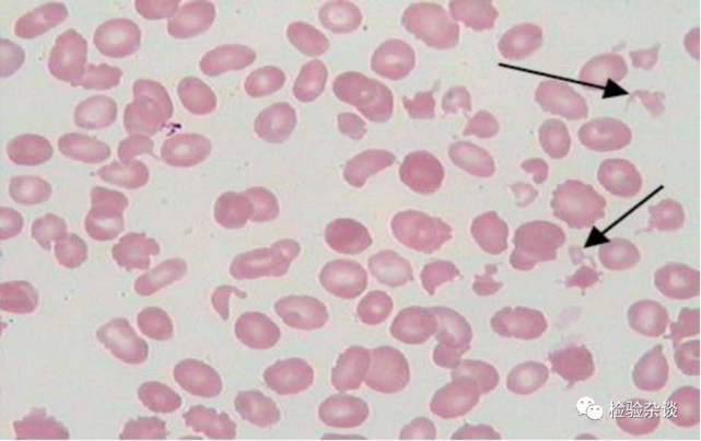
外周血涂片,瑞氏-吉姆萨染色,1000X镜下图。
裂片红细胞
图片
骨髓涂片,瑞氏-吉姆萨染色,1000X镜下图。
未成熟嗜酸性粒细胞
图片
骨髓涂片,瑞氏-吉姆萨染色, 1000×镜下图。
肥大细胞或组织嗜碱细胞
图片
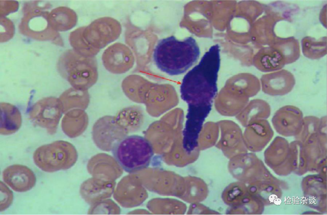
外周血涂片,瑞氏-吉姆萨染色,1000X镜下图。
中性中幼粒细胞
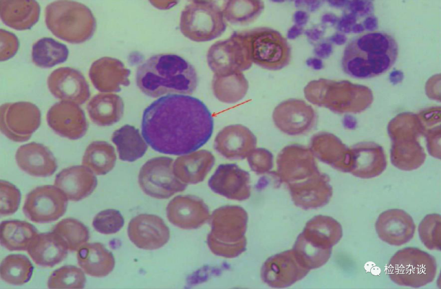
图片
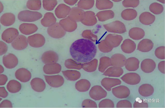
骨髓涂片,瑞氏-吉姆萨染色,1000X镜下图。
原粒细胞
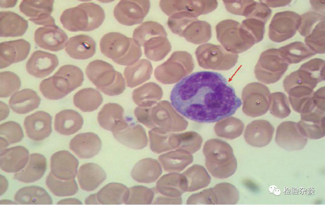
图片
外周血涂片,瑞氏-吉姆萨染色,1000X镜下图。
单核细胞
图片
箭头所指物(大小约为3mm)
蛲虫成虫
图片
粪沉渣涂片,未染色,400×镜下图。
肺吸虫(虫卵)
图片来源:湖南省临检中心
转载来源:检验杂谈
编辑:笪文武 审校:陈雪礼