结肠息肉冷切除术

投稿发送至DDP@high-med.com
应聘全职及兼职编辑,发送简历至
chenlf@high-med.com
一、冷钳息肉切除术
1.用标准活检钳进行冷钳息肉切除术(Cold forceps polypectomy,CFP)是切除微小(≤5mm)结直肠息肉最常用的方法。然而,据报道息肉切除不完整性比例相当高。
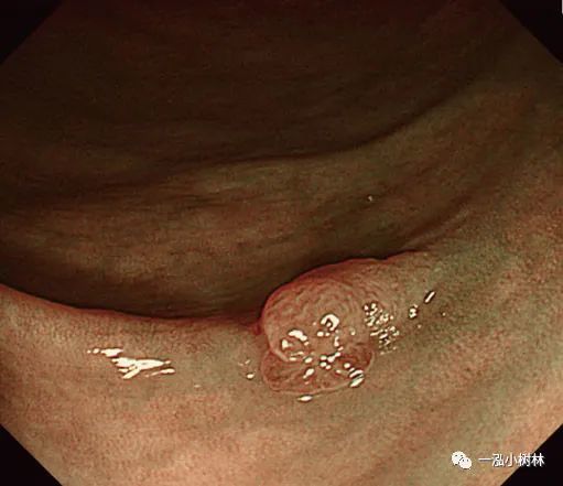
例1 标准活检钳冷钳息肉切除术示例
图片
图1a 乙状结肠0-IIa型小腺瘤,大小2mm
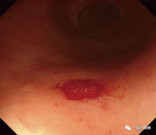
图片
图1b 冷钳息肉摘除术后黏膜出血
图片
图1c 小息肉切除瘢痕,5年后腺瘤复发
图片
图1d NBI观察
图片
图1e 注射生理盐水下息肉切除术治疗复发性肿瘤
图片
图1f 注射生理盐水下息肉切除术治疗复发性肿瘤
2.最近的一项随机研究表明,大小为1~3mm的息肉是冷钳息肉切除术的最佳适应证;可以经1或2次连续活检完全切除。
例2 小息肉的冷钳息肉切除术示例
图片
图2a 横结肠3mm大小0-IIa型息肉
图片
图2b 病灶活检钳咬除
图片
图2c 病变是完全被活检钳所钳除
图片
图2d 在同一部位未发现肿瘤残留
3.中央带尖刺的活检钳可以有效地防止标本滑脱;大的或特大容量的活检钳,一次咬入较大的组织,比标准容量的活检钳大,也有助于有效地切除小息肉。
图片
图3a 大活检钳示例
图片
图3b 降结肠4mm大小0-II型息肉
图片
图 3b 打开大活检钳,然后抓住息肉
图片
图3d 大活检钳钳取息肉
图片
图 3e 钳取息肉后创面
4.对于服用抗血小板或抗凝药物的患者用冷钳小息肉切除术通常是安全的。
总结
一项研究纳入42例患者60枚息肉行冷钳息肉切除术,结果57枚息肉完整切除,无息肉切除及术后并发症发生,小息肉完全切除率为86%,对于直径在5mm左右的小息肉完全切除率为91.7%。
为了保证息肉被完全切除以及防止并发症发生,通过以下三种方法进行改进。
1.注射液加入靛胭脂,有助于识别息肉及残存的组织,有利于病灶被完全切除;
2.尽可能地把病灶周围1~2mm正常的黏膜包括在内,从而完整钳除息肉;
3.为防止出血,混合液可加入肾上腺素。
总之,冷钳息肉切除术是一种安全、完全切除率高的一项技术,特别适合直径在1~3mm的小息肉。
二、冷圈套息肉切除术
1.冷圈套息肉切除术(Cold snare polypectomy,CSP)是一种安全、有效的内镜下切除小息肉(小于10mm大小)的方法,但这一技术是理想的适应证是4~6mm大小的无蒂息肉。CSP与电切法相比,不存在潜在的穿孔风险。大小在10~13mm的圆形隆起息肉完全适合CSP。
图片
图4a 小无蒂息肉的冷圈套息肉切除术
图片
图4b 直肠5mm大小Is型无蒂腺瘤
图片
图4c 同一病变的NBI图像
图片
图片
图4e 圈套病灶包括周围1-2mm正常黏膜
图片
图4f 切除标本保留在息肉切除部位
图片
图4 g息肉摘除术后创面
2.最近的一项随机研究表明,在内镜下对小息肉的治疗中,CSP技术优于冷钳息肉切除术,并且在完整性和操作时间方面均优于冷钳息肉切除术。
3.将息肉边缘正常黏膜包括在内,用圈套器夹住并机械横切。切取的速度要快,因为慢的横切会造成黏膜下组织大量的损伤和随后不必要的出血。
4.下一个重要步骤是将息肉切除部位的标本通过结肠镜钳道吸入。切除息肉后,应将结肠镜头指向切除部位,随后吸引。
5.CSP技术可能导致息肉切除失败和黏膜出血。在最近的随机试验中,息肉的切除率是93.2%~96.0%。在不服用抗血小板药物或抗凝剂的患者中,大多数黏膜出血是自行停止的,没有明显出血的危险。
例5 小息肉冷圈套切除术
图片
图5a 横结肠处4mm大小0-IIa型腺瘤
图片
图5b 在病灶上方圈套
图片
图5c 圈套包括病灶周围1-2mm正常黏膜
图片
图5d 对病变进行机械性横切
图片
图5e 对病变进行机械性横切
图片
图5f 息肉取出后出血
图片
图5g 黏膜出血止血
图片
图5h 可见息肉边缘正常黏膜的标本
总之,CSP是一种安全有效的切除结肠息肉的方法,特别适合4~6mm大小的无蒂息肉。
三、治疗选择
根据息肉直径和肉眼型采用不同的摘除方法。
图片
与Hot Polypectomy相比,冷切除操作简单、并发症少,是切除结肠小息肉切实、安全的手术方法。进行冷切除时,在摘除后必须使用充分的清洗和NBI等图像强调内镜确认有无残留。
参考文献:
【1】Lee CK, Shim JJ, Jang JY. Cold snare polypectomy vs. Cold forceps polypectomy using double-biopsy technique for removal of iminutive colorectal polyps: a prospective randomized study. Am J Gastroenterol. 2013;108:1593–600.
【2】Sam A. O’Connor ,Trevor N. Brooklyn , Paul D. Dunckley .High complete resection rate for pre-lift and cold biopsy of diminutive colorectal polyps. Endoscopy International Open 2018; 06: E173–E178..
【3】结肠息肉冷切术操作方法与技术,Gastroenterol Endosc 2015;57:2370-8。
作者:com0707 来源:一泓小树林