王思聪超美前任的张予曦最新合照好可怕!她到底哪里填错了?

王思聪前任里长相口碑最好的应该就是张予曦,五官混血精致还成功进圈,演过的几部电视剧动态静态的状态也比较好。
可偶然间看到她的一组合照,这个姑娘全面部的感觉怎么很怪?额头和面中都太过饱满,和合照的宋轶等人比起来,很违和。
图片
其实她轮廓的不自然感并非第一次显露,在没有精修的情况下,她原生的额头应该是比较低平的,好在有一定高度的眉弓在,适当的调整下就能有混血感。
图片
只是她的额头确实填的太满,有垫高感后也显的整个额头浮了起来,基础的骨骼分割点线条都没有,比如合照里其他人都有的额结节点和颞线。而且她全脸的饱满与肿胀感并非只填了额头,氧叔更倾向于她进行了全脸的填充。
图片
填了假,不填憋,怎么样才能做到有审美和恰到好处的填充?下面,我们来讲讲填充的审美点。
图片
填充审美
2020年了还有人不知道全脸盲目填充会让脸假的像个面具吗?填充到底要注意什么?额头填充:额头会填的奇怪归根到底还是额部的饱满是骨相饱满,并非脂肪型堆积饱满。
由于额部又是骨性结构很突出的部位,额节结点和颞骨颞线的表现点都十分清晰。一旦填充时,量过多直接覆盖了骨性结构的表现点,自然会像寿星公一般。
图片
且额头与眉骨和下面部还有一些审美上的高低差关系,额头填太多,眉骨眉弓却又平又底,整个额头也会怪异的突出一块,没有自然的承上启下感。额头填充的审美不该是盲目全填,而是以少量的脂肪填充凹陷区域,保留骨性结构,以达到饱满自然的美感。
图片
面部填充则要遵从面部ogee曲线。ogee曲线是面部斜位45度的切线,从上到下是脸颊结合部、颧突、颧骨下凹陷、咬合平面、下颌下颌缘。这条线从侧面看是一条有起伏的类似于s型的曲线。
图片
ogee线呈s型的人面部会更女人甜美,ogee线呈现轻微的直线型的人面部气质会成熟且有点苦相严肃。ogee线呈现轻微圆弧状的人面部气质会更幼态可爱。
图片
很多人说这条线是衡量苹果肌怎么填好看的标准线,但这条线的作用并非如此。这条线上五个点的高低差位置,会在很大程度上影响我们面部的美观度。如果填充太多,就会破坏这条线的高低差关系,正面视觉上也就很奇怪。
图片
自然的苹果肌与眼眶下缘,从正面看是有一个凹陷处的,也就会脸颊的结合部区域。正常人的这个区域不笑时也有明显的分界感,笑的时候轻微凹陷,眼睛与苹果肌呈现一个和谐的高低差。
图片
苹果肌或者眼眶下缘填充过度,就会导致脸颊结合区消失,ogee曲线的起点就被破坏了,苹果肌和眼睛连在一起,中庭立马变长,肿胀感强还显老。
图片
还有大家熟知的鼻基底填充,填的太过会导致嘴巴闭不上,视觉上很怪异;填的太浅,一笑就会僵硬或被发现。有医生也说当假体贴骨放在鼻翼两侧才是正确的鼻基底垫法,可以改善面凹、嘴突。如果想通过垫鼻基底来改善法令纹等问题,效果其实达不到大家想要的那种程度。
图片
其实说到底,面部的凹陷大多数情况下皮肉松弛只是表象,更深层次的原因还是骨相的问题。从骨相上去判断自己需要做什么,盲目填充治标不治本,比如有的凹陷是咬合问题的,可以通过正畸或正颌来改善凹陷。
近来面中的凹陷问题好像很多,下面我们细分的讲一讲,面中凹陷怎么填?
图片
面中凹陷怎么办?
面中凹陷的原因有很多,第一种是天生骨相发育不完全,眼眶骨下缘发育不完全,年龄很小时正面泪沟就很明显,45度侧脸的凹陷也比较明显。
图片
第二种则是人类的正常衰老,随着年龄增长,眼眶骨会往下和往后吸收,也就是我们说的骨侵蚀。框住眼睛的骨架没有了,眼睑失去支撑,眼睑往下垂。
图片
常见的面中凹陷都是以填充方法为主,眼下凹陷相对不严重地可面诊做眶隔肌释放来增加饱满感。直接性用玻尿酸或脂肪来填眼下会间接的出现,填充后眼位变高,中庭变长,人显老的问题。
图片
传统的面中填充方式不能完全运用在所有面中凹陷的情况里,因为被泪沟问题困扰的人里面还有一种是不完全伴随眼袋膨出的反向泪沟(常见的泪沟是上凸下凹)。可能是原本就存在眼袋的下眼睑因为足量去脂而凹陷,或者因为面部填充后衬托的下眼睑凹陷。睑—颊过渡中出现上凹下凸的台阶。关于反向泪沟的研究和案例都来自徐苗医生。
图片
这种反向泪沟导致的面中凹陷要怎么办?反向泪沟的纠正比传统泪沟更复杂些,不能直接注射凹陷处平添出一个人造眼袋,也不能单纯的做眶隔肌释放来达到效果。综合下来,用面中部的脂肪,提升固定到眼眶下缘后与眶脂肪衔接融合,以达到中面部提升的需求。
图片
面中的凹陷与眼眶下缘状态密不可分,那么什么样的人适合做眼眶下缘填充?眼眶下缘的填充在国内似乎呼声很少,氧叔看论文研究后发现这确实是一个相对比较复杂的手术,比单纯的填充注射鼻基底等要难很多。
图片
图源博主@脸小肉肉垮
首先,生来眼睛很大且伴随着严重的下三白和眼睑下垂的人适合。有的人的眼睛是暴露不完全,这类眼睛是太过于暴露,甚至有点漏眼的感觉。填眶下缘后,下眼睑的位置往上移,眼位变高。正面眼睛更有神,侧面面中的凹陷感也减弱,
图片
鼻基底比较高但眼眶下缘比较凹陷的人,面部的高低关系是一种相对关系。鼻基底或者鼻翼基底过高其他的骨相没有跟上的话,也会显得面中凹陷。当面中-苹果肌-鼻基底-鼻下点这条轮廓线里,眼眶下缘比较饱满,且鼻基底位于前方,整个面中的饱满感就出来了,也不再需要垫鼻翼基底。
图片
同时,短脸+中庭短的人,如果眼眶下缘凹陷,也很适合填。还记得填了眼眶下缘会抬高眼睛的位置吗,眼睛位置抬高,视觉上会加长中庭的长度,让短脸和中庭短的人的比例更舒展。
图片
那么垫眼眶下缘的材料都有哪些?填充类型我们不说了,主要介绍一些更前沿的材料。
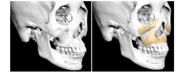
骨水泥3D打印PMMA。目前人工关节的固定的技术存在生物固定和骨水泥固定两大类,其中临床上作为固定假体的骨水泥主要是(PMMA)甲基丙烯酸甲酯,其具有填充骨与假体间隙并具有聚合反应而自发凝固的特性。骨水泥3D打印pmma骨水泥,主要特征为贴合度高,可取出。
图片
图源博主@美圆圈圈圈圈
人工骨medpor,曼特波medpor从1984年开始就已经获得美国FDA批准使用,类似于人的骨松质、质地较硬、有弹性韧性、抗感染性强。固定方式为打钉,用于填面中的话,比较考验医生的技术。
Peek 3D打印人工骨。PEEK(聚醚醚酮 ),是一种与人体骨骼性能十分接近的生物惰性材料。临床应用在骨科创伤脊柱外科应用已有20余年,应用修复外伤性颅骨缺损,重建颅骨外形已有10余年,材料与人体组织有良好的相容性,无排异无异物感。
图片
3D人工骨打印技术不光在整形医美的领域应用颇广,在日常的骨科创伤疾病也有广泛的应用。我们审美在进步,医学科技也在进步,也许多年之后人人都可以通过3D打印技术创造出自己想要的一种骨相,自己为自己定制一张脸。