刘亦菲和刘诗诗这样的大美人居然还有这样的黑照?罪魁祸首是牙?

刘亦菲怎么最近一截一个黑图,是碰上颜值水逆期了吗?!
图片
土味海报被群嘲(电影评分还不行),各种剧照流出暴露五官低洼区。
图片
还有早期妆面照也惊倒一片有一说一,这妆国内女艺人谁化了能好看。
图片
连高颅顶也被质疑到飞起
图片
不过,刘亦菲会在视频里憋笑也很正常,因为不憋就是海量露龈笑黑图伺候!!!
图片
从刘亦菲可知,大美女和笑起来美丽并不关联。皮完就溜,上美照保命!
图片
刘诗诗也是,产后拍的封面都很美,这气质,坐镇各大奢侈品珠宝大使让人心服口服滴。
图片
但一演戏,就,绷不住了。
图片
大笑起来又双叒叕是黑照集合
图片
(拼图自带嘿嘿嘿音效~可爱憨憨!)
为啥像刘诗诗和刘亦菲这种美人一大笑就经历颜值滑铁卢?那要普通人怎么办?
好了好了,就知道你们要cue小羊!
图片
就再说说这最稀松平常又最难搞的事——如何笑得好看!
图片
怎么笑才好看
好看的笑一般是“嘴能包住牙”的。
比如这种嘴巴大的笑起来就很舒展好看。
图片
还有,元祖·公式化笑容代表十元
图片
以及新晋·公式化笑容代表,赵露思。
图片
笑起来嘴能包住牙,隐含的是全脸肌肉协调,嘴牙和谐,既没有龅牙,也不会嘴小,笑不开没有感染力。
图片
之前羊盘点过很多笑得好看的人,今天我们还是重点看下为什么有人笑得不好看,从中寻觅解决办法。
笑起来不好看的,一般分为以下5种情况。
1、首先是因为龅牙/牙大,嘴不能包住牙。
不笑时静态看可高冷,娴静...笑起来就有点破功惹。
图片
笑起来就很容易显得满脸都是牙。
图片
但是没有颌面、牙齿问题的人也会笑得不好看,这就要说到第二个原因了。
2、笑不开,显得“嘴包不住牙”。
要笑得好看,主要是靠嘴角向两侧伸展,上下唇的活动是次要
图片
如果嘴角撑不开,就会变成这种笑不开的样子,注意上唇的状态!
正常笑开时,上唇是贴近牙齿表面的,但笑不开的时候,上唇就会有轻微外翻的感觉。
图片
羊身边很多箍牙的姐们,摘掉牙套后也会有这种笑不开情况,嘴唇会是这种形态(猜测是箍牙时的异物感养成的习惯?)。
图片
3、笑得太开,显得“嘴包不住牙”。
如果上下唇动势太大,笑得太开,其余的表情肌也就很难不被带动。
碰到提上唇鼻翼肌力量大的,就会是这样子
图片
同时满足嘴小+牙大+提上唇鼻翼肌力量大,笑与不笑的反差更明显,就会是斋藤飞鸟这样子,牙是包不住惹
图片
4、肉紧张的压下巴笑法
笑起来下唇向下,下巴向后压,就连刘亦菲这种0分龅的门牙都会显得突出来,而且还挤出很多奇奇怪怪的皱纹!
图片
(脸崩掉,笑得哪会好看!)
即使不露齿,口周肌肉紧张,压下巴的笑法也是超级暴露缺陷的。
而开头说到刘诗诗呢,也是一个问题,压下巴笑成了憨憨。
图片
但她还有救,可以只露上排牙齿就能矜持回来~
图片
当然,刘亦菲把笑容收敛控制后,看着也好很多。下巴不后缩了,肉不挤兑了,牙也不出来了
图片
但是,她的“嘴包不住牙”还有一个原因,是刘诗诗没有的,也就是第5点
5、牙龈露得太多。
门牙上方的牙龈露的多,到虎牙又正常了,牙齿就总有种“呼之欲出”的感觉,影响美感,看图能懂吧(解决办法后面会说)?
图片
(所以,泥萌还要把笑得不好看甩锅给牙齿大或者龅牙吗?)
划重点:要想笑得好看,龅牙的安排箍牙。
不龅牙的,笑的时候嘴巴尽量横向发力,撑开嘴角。避免上翻唇部,压/后缩下巴。
图片
(还有露八颗牙,露上牙不露下牙,笑眼这种元素都是老生常谈惹~)
那么还有露龈笑要怎么矫正呢?继续往下看!
图片
图片
原因及矫正方法
羊把露龈笑的原因分了5种,还附有对应的矫正方法,请根据自己的情况取用~
第一种:肌肉紧张。
准确的说,是上唇上部的肌肉紧张,但细分关联到很多肌肉,所以露龈笑也会有很多类型(如下图,没想到吧)。
肌肉过于紧张的话,就会把上唇带动着往上,牙龈就露出来辽。
图片
(前段型看到了几位盆友的影子!)
解决方案:肉毒素。
通过肉毒素放松提上唇肌、提上唇鼻翼肌、降鼻中隔肌…最终实现下降上唇,矫正露龈笑。
图片
具体是哪块肌肉在作祟,还是那句话,找专业医生看好再打!
不过,羊觉得保留一点牙龈露出也不是坏事。比如图中矫正前露太多,矫正后又有点笑不出诶...
图片
(上图矫正前,下图矫正后。)
第二种:牙龈过多。
牙龈过多意味着牙齿露出不足,如果露龈高度没超过牙齿的话,一般不会影响美感。
图片
(对于中间两位很明显:何穗和刘雯。)
像下图这样严重的,当然笑起来就不美惹,牙齿也会看起来很小。
图片
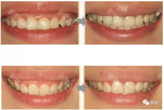
解决方案:激光切除多余牙龈
图片
第三种:人中过短。
解决方案:人中延长术。在鼻小柱、双侧鼻孔下缘处切口,进行肌肉方向重建和延长纵向,这样一来,人中就会得到相应的延长
图片
第四种:上唇组织过短。
上唇太短的话,即使牙龈正常,也难逃露出的厄运。而且严重的形态上会上唇外翻,也会影响美观!
解决方案:唇再定位手术。
分为口外法和口内法两种。
口外法采用双侧鼻翼蒂三角瓣法来增加上唇高度,但上唇鼻底部会留疤,羊比较不建议,主要说说口内法。
图片
(手术效果对比,图源网络。)
口内法就是在口内切口,松解离断上唇方肌或降鼻中隔肌,并适当延长系带部位的黏膜组织,使上唇松弛。
图片
(Attention!图最左的唇形就是明显需要做露龈笑矫正滴!)
第五种:颌面问题导致露龈笑。
第一种上颌骨前突,也就是传说中滴“骨性龅牙”,牙齿没问题,只是整个上颌骨位置错辽。
所以通过截断多余的上颌骨,再往回推,牙龈也就恢复到正确位置啦。
第二种上颌骨过长。长,辣就缩短它!同样是这种截骨、上移复位的手法。
图片
如果上面两种情况都撞上了,就非常有必要一起调整了!!
图片
(上颌上移5mm+后移1mm对比。)