戒酒 6 年后突发肝功能异常?呕血、黑便、全身多脏器系统损害

本病例选自丁香园论坛,病例提供者为丁香园铁杆站友 @知易社医学漫画
患者:男,61 岁。
简要病史:患者 1 个月前无明显诱因下出现体力差、食欲差,渐出现尿黄,家人亦发现其目黄身黄。当地医院查肝功能异常,输液治疗后未见好转,近 5 天上述症状加重,遂入我科。发病以来无发热、腹痛,无皮肤瘙痒,大便颜色稍变浅。
既往史:无肝炎病史,无「高血压、糖尿病」史,自诉「冠心病」史 2 年,「肾病」史 1 年,「贫血」史 1 年,半年前因「脾大、脾破裂」行脾切除术,并输血,无服用肝损药物史,饮白酒 500 g/天,持续 10 年,现戒酒 6 年。无家族遗传病及传染病史。此次因「乏力纳差尿黄 1 个月,加重 5 d」。
体格检查:T 36.4 ℃,P 84 次/min,R 20 次/min,BP 110/70 mmHg。神志清楚,精神一般,稍憋喘,面色晦暗、皮肤巩膜轻度黄染,全身散在瘀斑、舌体稍大,绛红,无苔(图 1)。肝掌、蜘蛛痣(-),心肺(-),腹平软,见陈旧性手术瘢痕,肝肋下 3 cm,质韧,压痛可疑,脾肋下未及,墨菲氏征(-),移动性浊音(-),双下肢轻度可凹性水肿,NS (-)。
图片
图片
图片
(图 1 皮肤瘀斑瘀点及舌体图)
入院诊断:酒精性肝病?原发性胆汁性胆管炎?细菌性胆管炎?胆管系统肿瘤?
诊疗经过
入院后完善检查:
血常规 WBC 9.3×109 /L,Hb 113 g/L,PLT 628×109/L。尿常规:尿胆红素:3 +,尿蛋白 3 +,尿隐血 1 +,尿红细胞 112.3 个/μl。生物化学指标:ALT 132 U/L,AST 227 U/L,ALP 2064 U/L,GGT 3634 U/L,TBil 144.9 μmol/L,DBil 120.7 μmol/L,CREA 169 μmol/L,FER 521 ng/ml。铜蓝蛋白 0.263 g/L,IgG4 0.582 g/L,CA199 259.2 U/mL,AFP 4.7 ng/L,PIVKA 5461 mAu/mL。
病毒全套、EBDNA、CMVDNA、ANCA、自身免疫系列、自身免疫性肝病谱、甲状腺功能均无明显异常,K-F 环阴性。MRCP:胆囊结石伴胆囊炎表现,胆总管轻度扩张,壁稍强化(炎性改变?),脾切除术后改变,肝脏再生结节形成可能性大,双肾多发小囊肿征,少量腹水(图 2)。
图片
图片
图片
(图 2 MRCP 检查结果)
入院后基本排除病毒性肝炎、自身免疫性肝病、血色病、肝豆状核变性、甲状腺功能异常性肝损、药物性肝病。且未发现胆管占位,结合患者长期大量饮酒史,及酶学特点,故诊断考虑酒精性肝病。入院后予异甘草酸镁抗炎、还原型谷胱甘肽抗氧化治疗。
入院第 4 天患者无诱因下出现呕血数次伴黑便,予生长抑素、质子泵抑制剂、血凝酶等药物止血治疗,并予输血,但活动性出血未有效控制,因患者家属拒绝进一步行内镜下止血及 TIPS 等治疗,两天后患者仍有活动性出血,家属放弃治疗,自动出院。患者虽既往有长达 10 年的大量饮酒史,但目前已戒酒 6 年,那么患者肝酶升高原因是否真的能用酒精因素解释。患者 MRCP 结果显示肝脏形态大小尚可,唯一可寻的肝硬化迹象是肝内多发的再生结节及脾大,那么患者肝硬化真的存在吗,上消化道出血的原因是否真的是食管胃底静脉曲张破裂出血。带着诸多疑虑,笔者开始在本院病案系统中搜索该患者既往就诊经历。
既往就医(心内科)
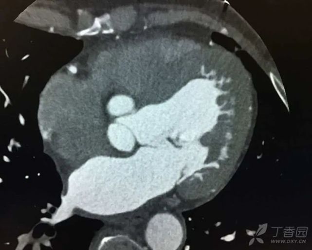
2012 年至 2015 年,患者 3 次因「活动后憋喘」入住我院心内科,诊断为:冠心病,慢性心功能不全(心功能II ~ II级)。住院期间查脑钠肽:9842 ~ 14835 pg/mL。心脏彩超结果显示:(1)室间隔、左室前壁运动幅度稍小;(2)左房增大,左室内径高界,二尖瓣少量返流;(3)主动脉稍增宽,主动脉瓣增厚伴少量返流;(4)左心功能测定:低界。冠脉 CTA:冠脉粥样硬化性改变,右冠远端、左冠前降支、对角支、回旋支轻度狭窄。心脏增大,左室为主(图3)。住院期间予地高辛、葛根素、螺内酯、氢氯噻嗪等对症治疗后。憋喘症状缓解,脑钠肽多可降至1000 pg/ml以下。
图片
图片
图片
(图 3 冠脉 CTA)
既往就医(血液科)
患者 2015 年 11 月因突发晕厥,意识丧失,大便失禁入当地医院,次日意识转清,当地查血红蛋白 62 g/L,考虑贫血,故转入我院血液科。住院期间感头晕乏力,并出现左侧肋骨压痛,左腰部疼痛。
住院期间完善检查结果显示:血常规:WBC 7.4 × 109/L,Hb 62 g/L,PLT 250 × 109/L。尿常规:尿蛋白 3 +,尿隐血 1 +。尿轻链:kap 47.9 mg/L,lam 92.8 mg/L,血轻链:kappa 1.97 g/L,lam 12.2 g/L。生物化学指标:GGT 75 U/L,BUN 18.63 mmol/L,Cr 339 μmol/L。免疫球蛋白:IgA 0.45 g/L,IgM 0.397 g/L。免疫固定电泳:IgG 弱阳性,L 阳性。血清蛋白电泳:Alpha1 5.1%,Alpha2 12.5%,M 蛋白:弱阳性。上腹部彩超:肝光点密集稍粗,胆囊壁毛糙,脾大(21.9 cm × 5.3 cm)。心脏彩超示:左室室壁运动不协调,左室心肌增厚,左房增大,二尖瓣少量返流,主动脉瓣增厚伴少量返流,左室舒张功能减退,微量心包积液,住院期间查头颅正侧位片:额部右侧头皮软组织内多发点状致密影(图 4),颅内未见异常。骨髓细胞学(2015 年 11 月 23 日):增生性贫血、浆细胞比例增高,诊断考虑:浆细胞病待排。2015 年 12 月 22 日再次行骨髓穿刺检查未见明显异常。予输血、促红素等对症治疗后,好转出院。
图片
图片
(图 4 头颅正侧位片)
既往就医(普外科)
2016 年 2 月患者因「腹胀腹痛 3 d」入住我院普外科。查上腹部 CT 示:脾大、脾破裂、腹腔积液、积血(图 5)。行脾切除术,术后恢复顺利,很快出院。住院期间首次发现肝酶升高:生物化学:ALT 22 U/L,AST 28 U/L,ALP 190 U/L,GGT 323 U/L,TBil 6.6 μmol/L,DBil 2.7 μmol/L,CREA:66 μmol/L。
图片
图片
(图 5 上腹部 CT 图)
既往就医(肾内科)
2016 年 6 月,患者因「腹胀、下肢浮肿 1 周」入住我院肾内科。尿常规:隐血:2 +,蛋白:3 +。凝血功能:正常。血常规:Hb 112 g/L。尿轻链:Kappa 76.3 mg/L,lam 326 mg/L。生物化学:ALT 115 U/L,AST 99 U/L,ALP 1278 U/L,GGT 3842 U/L,TBil 29.8 μmol/L,DBil 22.5 μmol/L,Cr 106 μmol/L,BUN 12.06 mmol/L。泌尿系彩超:左肾上级囊肿征,右肾结石表现。胃镜:轻度胃储留,慢性非萎缩性胃炎伴糜烂(图 6)。诊断:慢性肾功能不全。利尿对症治疗,下肢肿胀好转后出院。但此时患者的肝功能显示 ALP 及 GGT 已明显升高。
图片
(图 6 未见食管胃底静脉曲张胃镜检查结果)
病史梳理
2012 年首发憋喘、心功能不全、尿蛋白阳性等。
2015 年晕厥、贫血、肾功能不全、口腔、舌血大疱出血、脾大。
2016 年 2 月自发性脾破裂。
2016 年 6 月,肝功能不全,水肿,肾功能不全。
2016 年 8 月,肝功能异常,上消化道出血。此次因乏力纳差尿黄等不适入院。
因患者有长期大量饮酒史,AST/ALT > 1,并 GGT 升高明显,且有脾大,肝内结节,故首先考虑酒精性肝硬化,但很难解释戒酒 6 年后仍出现如此明显的肝细胞损伤。
另胆红素水平升高,结合胆红素升高为主结合 MRCP 结果,考虑存在胆管炎症,故予抗感染治疗,但效果不佳。且患者很快出现呕血黑便,自然首先想到的是肝硬化伴食管胃底静脉曲张破裂出血,予止血对症治疗,但效果差。
思考一:患者存在多系统损害,如果是你,你会考虑什么疾病?
思考二:还需要做什么检查?
一起参与病例讨论,与更多同行分享你的观点