CT室内,女子忽然大叫:“我的睫毛飞走了!”医生一看直冒冷汗

图片
图片
“啊呀!我的眉毛...啊!不对,我的睫毛怎么飞走了!”正在做核磁共振的张女士(化名)突然叫喊起来。
这可把浙江杭州临安区第三人民医院CT室的医生吓坏了。医生靠近一看,机架上粘着一个像是黑色毛毛虫一样的物体,正是张女士的假睫毛。
可是,常规的假睫毛都是塑料的,应该不至于会被磁体吸引,那为什么张女士的假睫毛会被吸走呢?
原来张女士是一位爱美人士,她当天用的是一种新型的美妆神器——磁睫毛。
什么是磁睫毛?
图片
磁睫毛,顾名思义就是带磁性的假睫毛,用磁铁嫁接睫毛固定在眼睑上, 是现在新的妆容方式,美丽又便捷。可大家知道,在磁共振检查时是禁止带入具有磁性物品的,磁睫毛自然也在禁带名单中。
核磁共振检查是个大磁场。它运转时产生的极强磁场可能将任何有磁性的物品吸引到机器上。若是在扫描过程中一不小心磁睫毛被“ 吸”走了,心爱的睫毛不仅没有了,还可能被灼伤,万一伤到了眼睛,那就得不偿失了。
图片
所以,爱美的朋友们一定要注意喽!在做MRI检查时,记得摘下磁性睫毛哦。若是将来某天,你需要去医院做核磁共振,医生把你的假睫毛“拽”了下来,请一定不要奇怪,医生这是在为你的安全着想。
图片
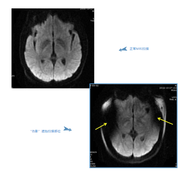
此外,染发剂、化妆品中含有的重金属盐也有可能附着在身体上。在 MRI 检查时,这些物质会对图像造成干扰,成为伪影,甚至还会干扰医生对病变的诊断。
还有一些案例则可能引发意外伤害事故。2016年,上海肺科医院就发生过核磁共振设备吸住轮椅的事故。患者家属把轮椅推进检查室,连人带车被吸了进去。
那么,做核磁共振的时候到底需要注意什么呢?
这四个“禁忌”,千万别碰!
NO.1
体内装有心脏起搏器,除外起搏器为新型 MRI 兼容性产品的情况。
NO.2
体内植入电子耳蜗、磁性金属药物灌注泵、 神经刺激器等电子装置。
NO.3
妊娠 3 个月内。
NO.4
眼眶内有磁性金属异物。
下列情况,慎重权衡利弊!
NO.1
体内有弱磁性置入物(如心脏金属瓣膜、血管金属支架、血管夹、螺旋圈、滤器、 封堵物等)时,一般建议在相关术后 6~8 周再进行检查, 且最好采用 1.5T 以下场强设备。
NO.2
体内有金属弹片、金属人工关节、假肢、假体、固定钢板等时,视金属置入物距扫描区域(磁场中心)的距离, 在确保人身安全的前提下慎重选择, 且建议采用 1.5T 以下场强设备。
NO.3
体内有骨关节固定钢钉、骨螺丝、固定假牙、避孕环等时,考虑产生的金属伪影 是否影响检查目标。
NO.4
可短时去除生命监护设备(磁性金属类、电子类)的危重患者。
NO.5
癫痫发作、神经刺激症、幽闭恐怖症患者。
NO.6
高热患者。
NO.7
妊娠 3 个月及以上。
NO.8
体内有金属或电子装置植入物者, 建议参照产品说明书上的 MRI 安全提示。
来源:健康杭州(ID:hzswsjwx)、临安区卫健局
点亮“在看”,让更多人看到