简单 3 点,轻松鉴别“细菌性肺炎”与“病毒性肺炎”!

图片
(点击名片可跳转至专家首页)
社区获得性肺炎(CAP)是临床常见疾病,可由细菌、病毒、支原体、衣原体等多种致病原引发。
目前国内多项流调结果显示肺炎支原体和肺炎链球菌是我国成人 CAP 重要的致病原。但随着病毒检测技术的发展与应用,呼吸道病毒有成人 CAP 病原学中的地位逐渐受到重视。几项多中心研究结果显示,我国成人 CAP 中病毒检出率为 15~34.9%,流感病毒占首位,其它病毒包括副流感病毒、鼻病毒、腺病毒、人偏肺病毒及呼吸道合胞病毒等。(病毒性肺炎可继发或合并细菌性肺炎,病毒检测阳性 CAP 患者中 5.8~65.7% 可合并细菌或非典型病原体感染。)
如为病毒性肺炎但仍按细菌性肺炎抗菌治疗,则会延误诊断,很可能导致不良结局,而且还可能滥用抗菌药物诱导耐药菌产生,并增加药物的不良反应风险。
所以今天我们就来聊一聊,细菌性肺炎与病毒性肺炎鉴别诊断的那些事。
快速鉴别,主要看这三点!
一看临床表现
总体来说细菌性 CAP 可表现为高热、畏寒、疲乏、脓痰与胸痛等,而病毒性肺炎可表现为发热、干咳(后进展为咳痰)、咽痛、肌痛与气短。一般为说,细菌性肺炎多有咳痰,而病毒性肺炎早期多为干咳,且全身症状相对较重,如头痛、肌痛等,但不绝对,仅凭症状体征很难鉴别细菌还是病毒导致的肺炎。
二看检验结果
血常规:细菌性 CAP 主要表现为白细胞、中性百分比升高,而病毒性肺炎多为白细胞、淋巴细胞绝对值下降,需要注意的是,重症金葡菌感染与 G-菌感染白细胞计数可下降。
病毒性肺炎,如流感肺炎、新冠肺炎等,往往有肝肾功能及心肌酶异常,而细菌性肺炎往往没有肝肾心累及,除非重症细菌性肺炎与军团菌肺炎。
三看影像学检查
典型性肺链肺炎表现为大叶性实变,而肺炎支原体肺炎则表现为特征性的影像学表现是支气管血管束增厚、小叶中央型结节、GGO 与实变。而病毒性肺炎常为间质性肺炎的表现,常见病毒性肺炎的影像学表现可参见下表。
表 1 常见病毒性肺炎的影像学表现
而新冠肺炎早期呈现多发小斑片影及间质改变,以肺外带明显,进而进展为双肺多发 GGO、浸润影,严重者可出现肺实变,胸腔积液少见。
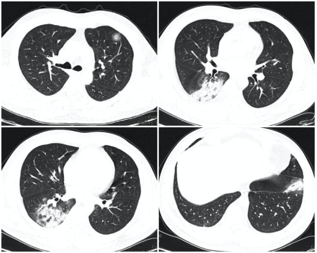
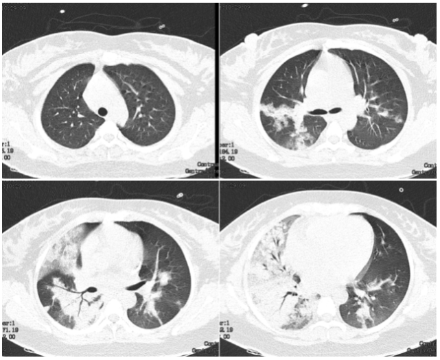
实际情况是各种病原体 CAP 的影像学表现有重叠,有很多不确定因素,大部分情况下只能缩小鉴别诊断范围,很难明确病原体(图 1、2)。
图片
图 1 孕妇 26 岁,咳嗽发热 6 天,确诊 H1N1 流感病毒性肺炎
图片
图 2 男性 37 岁,2020 年 1 月初武汉旅行归来,发热咳嗽 5 天,确诊为新冠肺炎
综上,可通过临床表现、实验室检查、影像学表现三方面初步判定可能病原体(如下表所示)。但是最终的确诊仍需要相应的病原学检测。
图片
表 2 判断肺炎可能的病原体
什么情况下需要病原学检测?
住院 CAP 诊断之初,通常需要安排病原学检查,具体项目应综合考虑患者的年龄、基础疾病、免疫状态、临床特点、病情严重程度及先期的抗感染治疗情况等。
当经验性抗感染疗效不佳需要进行调整时,合理的病原病原学检查尤其重要。CAP 特定临床情况下病原学检查项目的建议参见下表:
图片
表 3 CAP 特点情况下建议进行的病原学检查
目前还没有广谱的抗病毒药可能覆盖常见的呼吸道病毒,所以合理的安排呼吸道病毒筛查相当重要。CAP 常见病毒检测的主要检测方法有:
病毒分离培养是确诊呼吸道病毒感染的金标准,但需时较长、实验条件较高,不是临床查检测的常规项目。
核酸 PCR 敏感性特异性较高,是很多呼吸道病毒感染快速诊断的首选方法。
血清特异性病毒抗体检测(急性期及恢复期双份血清)则是回顾性诊断的主要手段。
病原结果出来前如何初步处理?
肺炎诊断之初,完善微生物学检测采样后,应及时早期抗感染治疗,抗菌治疗需要规范化,覆盖最常见的病原菌,如肺链、肺炎支原体等,同时也要个体化,如有结构性肺病者,应覆盖铜绿假胞菌,但如有以下情况要考虑病毒性肺炎的可能:
表现为干咳、高热、气短、呼吸困难,白细胞下降、肝肾功能、心肌酶谱异常等;
呼吸病毒(如流感)流行季节、聚集性发病、初始经验性治疗无效、重症肺炎、双肺多叶病灶与免疫缺陷患者;
但目前并无广谱抗病毒药物,如怀疑流感肺炎,可选用奥司他韦等,怀疑腺病毒肺炎可使用西多福韦,而呼吸道合胞病毒与新冠肺炎,目前尚无特效药物。
小结
1. 呼吸道病毒在 CAP 中起着重要作用,可以是原发性的,也可使患者易于继发肺链、金葡菌等细菌性肺炎;
2. 病毒性肺炎与细菌性肺炎均不乏重症,两者临床表现、血常规及影像学表现有一定差异,但不足以完全区分,仍需病原学检测确诊;
3. 早期认识 CAP 病原体有重要意义,可尽快从经验性抗感染治疗切换到目标性抗感染治疗,以提高疗效、减少药物不良反应、减少费用。
4. CAP 以下情况需要考虑呼吸道病毒筛查:群聚性发病、初始经验性治疗无效、重症 CAP、双肺多叶病灶与免疫缺陷患者;
5. 目前还没有广谱抗病毒药物,呼吸道合胞病毒、冠状病毒肺炎尚无特效药。
作者:李勇
编辑:飞腾
参考文献
1. 中华医学会呼吸病学分会. 中国成人社区获得性肺炎诊断与治疗指南 (2016 版) [J]. 中华结核和呼吸杂志, 2016.39(4):1-27.
2. Metlay JP, Waterer GW, Long AC, et al. Diagnosis and Treatment of Adults with Community-acquired Pneumonia An Official Clinical Practice Guideline of the American Thoracic Society and Infectious Diseases Society of America. Am J Respir Crit Care Med. 2019 Oct 1;200(7):e45-e67.
3. Jain S, Self WH, Wunderink RG, et al. Community-Acquired Pneumonia Requiring Hospitalization among U.S. Adults. N Engl J Med. 2015;373(5):415‐427.
4. 国家卫生健康委员会. 新型冠状病毒肺炎诊疗方案(试行第七版).
5. Kim EA, Lee KS, Primack SL, et al. Viral pneumonias in adults: radiologic and pathologic findings. Radiographics. 2002;22(Spec No):S137–49.