一文总结:蜂窝肺,你了解多少?│临床必备

在病理学中,蜂窝肺是指肺组织形成密集瘢痕,出现小不一的囊肿表现。在显微镜下,可见气腔扩大,周围出现增生性或细支气管上皮纤维化。这些改变是非特异的,并在许多终末期间质性肺病中可见。 因蜂窝的出现与不良的预后有关,所以识别蜂窝改变尤为重要。
医脉通编译整理,未经授权请勿转载。
流行病学
据美国的研究估计,间质性肺疾病(ILD)每年总发病率约为30/10万,其中以男性为主,老年人患病率更高。 被诊断出患有ILD的患者,终末期蜂窝状的出现很大程度上取决于潜在疾病进展。
病因学
ILD也称弥漫性实质性肺疾病,是一种广泛的分类,主要包括引起肺实质弥漫性改变的非肿瘤性和炎症性肺疾病。
尽管包括各种各样的肺炎类型,但在临床实践中发现的大多为特发性肺纤维化(IPF),慢性过敏性肺炎(HP),胶原血管病(CVD)相关的ILD和结节病。特发性普通型间质性肺炎(UIP)是最常见的特发性间质性肺炎,与不良预后和最终的蜂窝改变有关。此外,非特异性间质性肺炎(NSIP)虽不常见,但可能与蜂窝状改变有关。CVD包括系统性红斑狼疮,类风湿关节炎,进行性系统性硬化症(弥漫性硬皮病),干燥综合征(Sjögren syndrome) 和皮肌炎/多发性肌炎。
肺癌患者细支气管增殖似乎与IPF有关,细支气管异常增殖发生在肺蜂窝组织改变的小气道中。
潜在的疾病可在一定程度上影像蜂窝位置。但是,大多数ILD患者,变化始于胸膜下,且下叶和所有肺叶的下部最为严重(见图1)。
图片
图1 CT显示,双肺下叶早期蜂窝状改变
因分布呈多样性,当进行手术活检(楔形切除)诊断时,至少在两个肺叶取样。对单个肺叶进行组织活检不是最佳选择,经支气管活检通常不能做出充分诊断。
临床特征和影像学
ILD的特征与临床、放射学和病理学相关。临床上,患者通常会出现维持数月至数年的进行性呼吸困难或干咳。其他症状可能包括咯血、喘息和胸痛。但是,仅在影像学上怀疑为ILD的无症状患者中偶尔也会出现ILD。继发于特发性UIP的蜂窝肺患者中,大多数患者的年龄超过50岁,并且症状超过6个月。CVD患者通常有风湿病体征和症状,尽管肺部疾病偶尔是CVD患者的首要表现。任何ILD患者都应该考虑CVD的可能性,尤其在年轻女性中,CVD更为常见。
高分辨率CT扫描是诊断ILD的重要工具。ILD的CT表现基本包括网状(小叶间隔增厚),结节(气腔性和间质结节),囊状(支气管扩张或蜂窝状囊肿)和不透明影改变(磨玻璃不透明或马赛克征)。
在进行病理活检时,病理学家必须检查患者病史和影像学表现。对于病理学家来说,通过充分的临床信息以完全排除ILD的所有继发原因是很罕见的。
病理表现
1. 整体表现
在特发性UIP患者,肺通常很小,并且胸膜有鹅卵石样收缩表现(见图2)。切开处,肺部坚硬,有纤维化和蜂窝状改变,这些变化在胸膜下和所有肺叶下部更为明显,是肺下叶中最明显的改变(见图3)。
图片
图2 末期肺胸膜表面显示出坚固的“鹅卵石”外观。
图片
图3 切面显示明显的胸膜下纤维化。
图片
图4 UIP典型的肺部表现。两个肺叶纤维化,蜂窝状改变主要分布在下部。
图片
图5 严重UIP病例,整个肺都发生纤维化并伴有蜂窝状改变。
图片
图6 终末期肺疾病,体积缩小且纤维化。
气道周围的纤维实质组织可收缩,引起肉眼可见的支气管扩张。在特发性非特异性间质性肺炎(NSIP)中,除严重纤维化区域外,纤维化分布更均匀,蜂窝状改变并不明显。继发于药物、胶原血管疾病和慢性过敏性肺炎的间质性肺疾病的总体表现可能与特发性UIP或NSIP难以鉴别,因此需要组织学和临床病史进行诊断。终末期肺结节病也可完全类似于特发性UIP。但是,上叶纤维化和蜂窝状更明显,而肺门或纵隔淋巴结肿大有利于肺结节病的诊断。
免疫组化表现
免疫组织化学对于评估蜂窝肺没有作用。
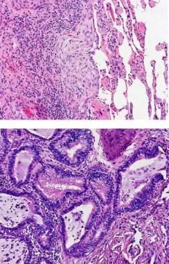
UIP的特征是由特发性UIP或潜在疾病引起的肺损伤。UIP的主要发现是间质纤维化具有异质性表现的慢性炎症(小叶周围纤维化明显,突然过渡到正常的肺组织[见图7])。
图片
图7 UIP组织化学证实胸膜下和间质纤维化异质性。
图片
图8 上图:UIP患者的空间异质性的典型组织学表现,从蜂窝状改变(左)突然转变到正常肺(右)。下图:NSIP患者纤维化表现空间上分布均匀。
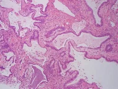
时间上的不同表现为,较新的纤维化区显示出水肿和更明显的间质性淋巴炎症,较早出现的区域纤维化密集分布和少量的炎症细胞。密集分布的纤维组织和蜂窝状改变通常位于胸膜下实质,尤其是下叶。残余的气腔可能显示鳞状上皮化生,细支气管化生或细支气管化,常充满粘蛋白,偶尔充满中性粒细胞。
图片
图9 上图:纤维化病灶(x200)。下图:蜂窝改变伴气腔支气管化(x200)。
图片
图10 细支气管型上皮和周围纤维化所衬成的扩张气腔,与微观蜂窝改变一致。
分子/基因研究
当前,分子和基因检测未常规用于ILD的诊断。但是,少数遗传性ILD与基因缺陷有关。遗传性ILD可细分为影响多器官的全身性疾病和主要影响肺部的疾病。
ILD全身性疾病包括以下内容:
先天性角化不良
I型神经纤维瘤病
结节性硬化症(淋巴管平滑肌瘤病)
Birt-Hogg-Dube综合征
高免疫球蛋白E(IgE)综合征
Hermansky-Pudlak综合征
I型高雪氏病
B型尼曼-匹克病
赖氨酸尿蛋白不耐受
ILD原发性肺疾病包括:
表面活性物质代谢障碍
表面活性物质代谢紊乱
家族性肺纤维化
肺泡微结石症
预后因素
因不同的基础病因,间质性肺疾病的预后不同,但是当出现蜂窝状改变时,预后较差。在被诊断出患有UIP后,大多数未进行肺移植的患者会在3年内死亡。
治疗
蜂窝肺病因仍有待进一步治疗。但是,依然有缓解疾病进展的新方法。根据疾病的病因(例如,针对CVD相疾病的免疫抑制剂或特发性肺纤维化[IPF]的抗纤维化药物),免疫抑制剂或抗纤维化药物可能是合适的。
在IPF的治疗中,尼达尼布和吡非尼酮可以有助于缓解疾病的进展。随着病情的进展可以进行单肺或双肺移植,患者的中位生存期为4.7年,可以生存获益并且提高生活质量。
医脉通编译整理自:
HoneycombLung Pathology –medscape- Sep 20, 2017