什么样的肩膀疼,要考虑是由肺癌诱发的?要做何检查?医生告诉您

肩痛,有可能是由肺癌导致的,您知道吗?
前两天看了一个同事的母亲,老人肩膀疼痛一年了,反复的做各种治,疗效果也不好,找到我的时候,了解完病情,第一时间建议的就是做一个肺部的ct,其实就是害怕是由于肺部的癌症导致的肩痛,还好我们没有在肺部发现问题,那么什么样的情况出现肩膀疼,我们要考虑癌症呢?
图片
先和大家说一下,看到这篇文章的时候呢,千万不要担心,大部分的肩关节疼痛都是由于肩关节本身的问题,比如肩关节的炎症、肩关节骨头的增生肩关节内肩袖的撕裂等导致的,另外还有一部分是由于颈椎神经的压迫导致的,因为癌症导致肩痛的病例是非常少的。
但我们不能因为这样的病例少,就忽视了这种可能性,作为医生来讲多想一点,才能避免漏诊、误诊,得益的还是患者,大家可以想一想,虽然对于个体来讲,肩痛由肺癌诱发的几率很低,但是放到大量的肩痛人群里面,这个数值可就不低了,是不是呢
通常情况下有这几种情况会因为癌症,尤其是肺癌导致肩关节的疼痛
肺上沟癌会导致肩痛
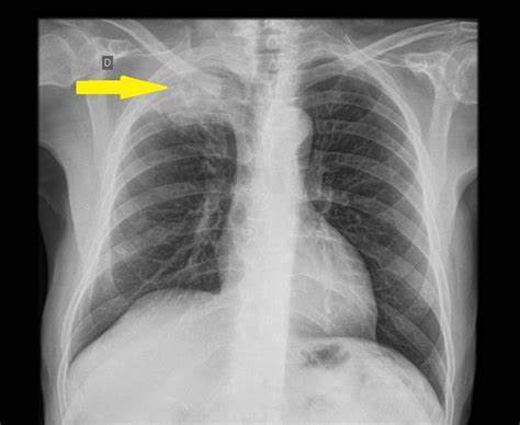
看我们同事母亲ct的时候,谢医生第一眼关注的就是这个位置,肺上沟!因为在这个位置有一种癌症叫做肺上沟癌,是肺癌的一种,会诱发患者出现肩痛,这个癌症的名称并不是由病理分型来确定的,而是由位置决定的,足见它的特殊性!
大家可以把肺上沟这个位置理解为肺部的顶点周边,在这个位置有非常复杂以及重要的结构存在,比如头臂静脉、锁骨下动脉、膈神经、臂丛神经和迷走神经等。
图片
当患者罹患这个位置肿瘤以后,肿瘤如果不是特别的大,这往往不会有任何的症状,甚至都没有肺癌患者常见的咳嗽、呼吸困难、咳痰等表现,症状可以说是非常的隐秘。但是随着肿瘤的生长变得越来越大,肿瘤有可能最终突破肺的表面,侵犯到前面所说的,在肺上沟这个位置非常重要的结构,当侵犯到闭孔神经、胸膜、筋膜、肋骨等结构,就会诱发患者出现尖锐的后背疼,患者的腋窝和肩胛骨的区域也有可能出现剧烈的疼痛,有可能会蔓延到头部、颈部或者是手臂。
图片
如果侵犯到同侧的交感神经节以后啊,患者还会表现出霍纳综合症,比如眼睑下垂,眼球内穴,瞳孔明显的缩小,有一些患者会表现出来同侧额部不能排汗。
图片
胸膜间皮瘤也会导致肩痛
提起胸膜间皮瘤,大家可能不是很熟悉,对这个胸膜到底是什么感觉我很陌生。大家可以把这个胸膜理解为在鸡蛋当中包裹着蛋黄、蛋清的那层膜,这个胸膜主要包裹的就是肺脏。严格意义上来说,胸膜是两层分为壁胸膜和脏胸膜,在这两层胸膜之间还有少许的浆液,起润滑作用,而且是负压的,对于呼吸运动有非常重要的作用。
发生在肺部胸膜的间皮瘤,就是胸膜间皮瘤。胸膜间皮瘤的患者主要表现出来的症状还是咳嗽和呼吸短促,有一些患者会有严重的胸腔积液,但是随着研究的深入,学者们发现有近14.3%的胸膜间皮瘤患者首发症状是肩痛
但是这个胸膜间皮瘤也有它的特点,那就是它主要的诱因是接触到一种物质石棉。有一项研究表明,从1980年到1990年,美国有近3000人因间皮瘤死亡,而80%的间皮瘤都是由于石棉暴露诱发的,谢医生是在矿区长大的,小时候矿区有很多的石棉瓦,那时候还不知道这东西这么霸道。
图片
癌症骨转移诱发肩痛
肺癌、乳腺癌以及前列腺癌是非常容易出现骨转移的三种肿瘤,骨转移好发在脊柱等部位,临床上出现剧烈脊柱疼痛的患者,谢医生一定会帮助其预约脊柱的核磁检查,就是担心存在骨转移,因为转移以后的脊柱疼痛,比其它疾病要痛很多!
说实话,骨科接触癌症患者不多,发生在肩关节的骨转移遇到的就更少,这么多年就遇到过一例,但遇到一次就很难忘。当时给予那个患者做了肩关节的核磁检查,发现有异常信号,但是谁也没有考虑到可能是骨转移,但是反复治疗患者都不缓解,后来给予取病理检查,明确为乳腺癌的骨转移。
大家了解完以上的知识呢,我们来好好的聊一聊,如果出现了肩痛,我们怎么才能发现是癌症导致的呢?
癌症诱发肩痛的一些特点,要引起注意!
癌症诱发的肩关节疼痛往往比较剧烈,持续时间长。由于癌症诱发的疼痛,往往是侵犯到了局部的神经或者是局部的组织,那么诱发的疼痛是比较持续的,有时候改变体位等动作根本得不到缓解。而由肩关节疾病等情况诱发的疼痛,往往可以随着体位的改变,或者是休息得到一定的缓解
比如肩关节撞击综合症的患者在甩动肩膀的时候,尤其在做上举肩膀的时候会诱发疼痛,疼痛可能会持续1~2天,但休息会缓解。
图片
癌症诱发的肩痛往往与活动并不相关,或者是相关性不大。比如肩关节撞击综合症,或者是肩袖撕裂患者会在某一个固定动作的时候诱发明显的疼痛,比如肩周炎的患者,由于肩关节出现了明显的粘连,在做旋转动作的时候会诱发明显的疼痛,比如梳头、比如提裤子的时候,会诱发明显的疼痛。
图片
由癌症诱发肩痛的患者,往往还有其他的症状。比如肺癌诱发明显肩痛的时候,说明肺部的肿瘤已经明显变大了,那么患者就会出现相应的咳嗽、低热、烦躁消瘦或者是呼吸困难等症状,严重的患者也有可能出现咳血等症状。另外当骨转移的患者诱发肩痛时,由于转移会发生在周身多个部位,患者还会有可能出现无力、呕吐、恶心等表现,这与癌症消耗,还有骨转移导致的大量骨溶解有关,因为会有大量的钙质进入到血液诱发患者出现高钙血症的症状。
如果由癌症诱发的肩关节疼痛,往往治疗效果不好。之所以出现这种情况,是由于症状不仅仅是由于炎症或者是粘连导致的,没有对因治疗,单纯的对症治疗,也仅仅能暂时的帮助患者减轻症状,比如口服一段时间镇痛药患者可能症状有缓解,但停药之后症状又会卷土重来,甚至有在更加加重的可能。如果经过反复治疗,患者都不缓解的情况,一定要高度可疑,是否存在着其他问题。
以上的这些鉴别特点,并不是绝对的,我们还需要结合症状进行一些检查,来明确是否存在着癌症。
肩关节疼痛的患者,做什么样的检查来排除癌症呢?
如果肩痛的时间不是特别长,而且症状也不是特别重,在就诊的时候做普通的肩关节x线片子就可以了,我们主要通过肩关节的x线片子可以看看是否有明显的肩关节撞击,是否有肩关节的骨关节炎,肩关节的关节间隙是否有了明显的狭窄,另外现在的x线清晰度是非常高的,如果存在着可疑的、比较大的骨肿瘤,通过x线也能稍微看出些端倪。虽然并不能确诊但是可以帮助我们做筛查
很多人觉得肩关节疼痛就是肩周炎,觉得拍片子是浪费钱或者是没有意义,其实不然,有筛查的意义在这里面,谢医生曾经遇到过一个肩痛的患者,肩关节活动范围非常正常,但是拍片发现他的肩关节是一个巨大的骨肿瘤,医疗没小事,谨慎点不为过
图片
●如果肩痛的时间比较久了,而且经过治疗效果不好,同时还存在着消瘦、无力等症状,建议要进一步的详细检查。最起码要给肩痛的患者进行肺部ct的检查,一定要排除是否存在肺癌,尤其是肺上沟癌。进行肩关节的核磁检查,也是可以明确是否存在肩关节局部肿瘤的,在核磁影像上可以非常好的判断肩关节的结构是否存在问题,同时是否存在软组织的改变以及是否存在肿瘤。
如果患者不仅肩痛明显,周身也存在着明显的疼痛,那么要进行骨扫描或者是pet ct检查,明确是否存在着骨转移。
图片
总结
由于癌症诱发肩关节疼痛的情况,相对来讲不是特别的多,多见于肺上沟癌、胸膜间皮瘤或者是骨转移,原发性的肩关节肿瘤相对来讲也不是特别的多。
作为患者和作为医生来讲都不能掉以轻心,作为患者来讲,千万不要简单的认为肩痛就是肩周炎,觉得肩膀疼了,在家甩胳膊就能甩好,而作为医生来讲,在给予患者治疗肩痛的初期进行肩关节的x线检查,这种最普及,费用最低的初级检查可以达到筛查的作用,避免可能存在的漏诊和误诊。
但由于癌症的隐秘性,有可能普通的x线检查并不能筛查出问题,那么在治疗的过程当中,如果患者的症状长时间的得不到缓解,甚至有越来越加重的趋势,同时伴有一些其他的症状,那么就要考虑是否存在肺癌、骨转移或者是肿瘤的可能,要于患者进行相应的检查。
对于患者来讲,如果在肩痛的过程当中,症状越来越重,也一定要到医院寻求专业医生的帮助,千万不要在家挺着,很有可能延误病情。
我是坚持用简单语言解释复杂疾病知识的谢新辉,码字不易,如果您赞同我的观点,请帮忙点个关注我点个赞吧,如果您或者是您的家人朋友也有这方面的困扰,请把这篇文章转发给需要的他们吧,谢谢了!
图片