补过的牙齿能用一辈子么?医生:你想多了

补牙,相信很多人就算没做过,也听说过。通俗来讲,就是把因种种原因造成的牙釉质损坏的蛀牙用仪器清理干净虫蛀的牙齿,并且用合适的材料进行填充,让牙齿恢复健康的一种方法。
有的人就说了,去口腔医院随便补一颗牙都要几百块,还是一般价位的,而且医生还会给我说,不保证补过的牙齿不会被虫蛀,更别提用一辈子了。
图片
于是,就会怀疑,是不是医生为了多收钱,才这样告诉我,让我以后一直去那里补牙。
那你可太冤枉医生了,小编在这里要为口腔医生们据理力争一次。也来做期小科普,补牙后的使用期到底与哪些因素有关
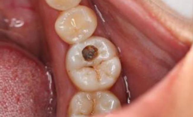
一般来说,材料是否易于脱落,主要看牙齿缺损的洞型。
如果龋齿面是规范的洞型,一般脱落率很低;
若为两牙邻面的复合洞型,则更容易脱落。
图片
建议平时尽量避开过硬、过粘的食物,坚持口腔卫生和邻间隙的清洁。同时,要注意做好牙齿的清洁工作,因为这些牙齿和材料交接的位置隐蔽而不易清洁,往往是继发龋坏产生的常见部位,继发龋坏是导致这些部位材料易于脱落的重要原因之一。
若为大洞,剩余牙体组织少,薄而短,那么材料脱落或者牙齿剩余组织断裂的可能性就更大。如果口腔条件可以的话,建议考虑给患牙做个金属冠,维护余留牙体组织和充填材料的稳固。
由此可见,补过的牙齿使用寿命,其实要看我们的后期维护的。保护的越好,相对来说使用寿命就越长。
补牙后要注意什么事项?
图片
1、24小时内避开该位置咬动,并且不能咬过硬食物,尤其门牙位置,脱落几率较高,另外补牙材料都有使用寿命,临床上银汞合金相对耐磨,只要牙洞植备好,维护好的话,用到10年都没问题,适合后牙修复。
2、如果补牙材料松动,甚至局部有掉落,要及时重新补,不然就会引发继发龋,还有补牙后可能会牙齿酸痛,这种是正常的,毕竟牙本质被破坏,不过一周会慢慢适应,恢复快些可以用抗过敏牙膏刷牙,含有硝酸钾成分可抑制神经传输。
3、定期复查。每半年拜访一次牙医,检查一下补过的牙齿是否有再次龋坏,若有,及时处理。
写到这里,相信小伙伴儿们大概也了解了。比较扎心的是,补牙想要一劳永逸那是不可能的,补上后材料经过长期咀嚼,可能会变形或者局部脱落,出现缝隙,具体能用几年,跟自身维护有关,像经常咬过硬食物,可能不到一年就会掉,龋坏程度太小,磨牙后补上也容易脱落。
而我们能做的就是在补牙后维持好口腔习惯,尽可能的延长补牙材料的使用寿命,定期到口腔门诊体检,遇到问题及时处理无疑是最优解。