竟然34%的孩子有腺样体肥大,保守还是手术?

腺样体肥大是大家熟悉的问题,患病率也是越来越高,研究发现,34%的儿童和青少年患有该病。
腺样体肥大最容易导致鼻塞,张口呼吸,孩子打鼾、睡眠影响等问题,严重会导致鼻-鼻窦炎反复,中耳炎、听力受损,有些家长还知道其可能导致孩子变丑。
出现这些问题,到底该保守用药治疗,还是立即手术呢?孩子腺样体能自己萎缩,那能等其自己好吗?手术就一定能好吗?切除会影响免疫力吗?会导致哮喘吗?
今天咱们简单说说:
一、什么是腺样体,有什么用呢?
腺样体也叫增殖体,是一些淋巴组织等组成的免疫器官,和扁桃体在本质上是一样的,因为其位于鼻咽部(下图红框),所以也叫为咽扁桃体。而咱们熟知的扁桃体位于上颚处,应该叫做颚扁桃体,只是最容易别发现,就简称为扁桃体了。
图片图片来自uptodate
鼻咽部具体就是鼻腔最后部和咽交界处,腺样体呈桔瓣状,如下图所示。
图片图片来自:https://emedicine.medscape.com/article/872216
上图中腺样体大约2cm宽,1cm高。
其实,如最上图所示,扁桃体有4组,能直接看到的就是腭扁桃体,这些扁桃体在咽部组成一个环,称为waldeyer 环(咽淋巴环)。
大家知道扁桃体是能产生淋巴细胞,淋巴细胞是能杀灭病原的(过程如果大家想看,可以看文章:哪些情况说明孩子是免疫力不足?孩子是免疫缺陷病吗?的第3条),所以,这个环就是防御最前线的兵营,负责消灭吸入和吞入的病原。
人是得一刻不停的呼吸的,嘴巴也经常张开,所以咽部是最先受到病原侵袭,也是受病原入侵最多的地方,这个环就非常重要了。
图片
从鼻子吸入的病原,主要就靠位于鼻咽的腺样体搞定了,这是腺样体的第一个功能,防御功能。
那肯定有第二个功能对吧?哈哈,是的,腺样体还能遮盖后鼻孔,通过黏附、 过滤等功能,将进入气道的空气变干净,达到对气道的保护作用。
那怎么实现这两个功能呢?看第二条。
二、腺样体为什么会肥大?
想实现上面的功能,腺样体得变得大一些,为啥呢?先说简单的,想遮盖后鼻孔,不得有点体积吗?不然一点点,你能挡住啥呢?所以得变大一些才行。
那防御时,为啥要变大些呢?青春期、成年人也要防御,为啥不大呢?考虑可能是因为虽然儿童的免疫系统的结构、功能都发育成熟,该生成的细胞、分泌抗体啥的都没问题。但是没有经历过各种病原的洗礼,各种细胞、抗体的质是不行的,得靠量取胜,所以,就得多生成些细胞在这里,就会变大。
图片
以上这种增大(不用管到底多大),不仅产生良好的保护功能,又不影响呼吸、导致啥不好的反应,可以称为生理性肥大,也就是正常的增大。腺样体生后逐渐增大,在6~7 岁时最大,当人体免疫功能逐渐成熟后,腺样体功能就不重要了,大部分人的腺样体会在 10 岁后逐渐萎缩,成人几乎看不到。
那在数据上,到底多大是正常的呢?好吧,在第六条讲。
但是事情不是这么简单,还有病理性的增大,也就是没有好处,只有坏处的增大了,就是大家熟悉的腺样体肥大。
三、什么是腺样体肥大?
简单说,腺样体肥大就是腺样体出现了肥大,并且出现影响生活的症状。腺样体肥大可由感染或非感染因素引起。
虽然咱们说腺样体是免疫器官,但是其本身也会被病原侵袭感染的,而感染后,就会出现发炎等问题,就像扁桃体炎一样。
图片
炎症时会肿大家都能有印象,这是炎性渗出和增生的结果,各种炎性细胞、因子在炎症处抗击病原,聚集起来就肿大了;另外,渗出液增多也会导致肿大,液体增多会稀释病原,有利于杀灭。
炎症过程中,好些细胞会变质、坏死,而为了修复这些地方,就会有细胞增生,增生也会导致肿胀。
如果仅有一次急性感染,那么腺样体肿大后,就逐渐恢复了,没啥大问题;但是如果长期反复的感染,那腺样体就会不停的肿大,出现过度的、持久的增生,就会阻塞鼻咽处,出现鼻塞、打鼾等症状,就称为腺样体肥大了。
图片图片来自:https://www.wikipedia.org/
而腺样体也伟大,处于第一防线,并且本身也坑坑洼洼的,容易将细菌病毒留在自己这里,牺牲自己,保护其他器官,使得感染经常反复。
感染原因里面,腺病毒,冠状病毒(普通的,不是这次的),柯萨奇病毒,巨细胞病毒,EB病毒,单纯疱疹病毒,副流感病毒和鼻病毒;α-,β-和γ-溶血性链球菌 ,流感嗜血杆菌,金黄色葡萄球菌,淋病奈瑟氏球菌,白喉棒状杆菌,衣原体和肺炎支原体等与其相关。
除了感染因素外,其他能刺激腺样体的因素也会导致其肥大,比如胃食管反流病,过敏性疾病,香烟刺激。如果找不到感染因素,要像这方面考虑下,尤其是过敏和长期暴露于香烟刺激。
四、腺样体肥大有什么危害?
这个可以理解为,一个进气的管子被阻塞了一部分之后出现的后果。这个管子,前通鼻腔,后通咽部。
最常见的表现就是鼻塞、打鼾、张口呼吸,这都是鼻腔的通道被阻塞后的结果,管腔变窄,气流通过时就会出现异常声响,就是打鼾声,鼻腔这个通路不通畅了,但是肺内空气不能缺,就只能走嘴巴,出现张口呼吸。
图片
长期鼻塞会出现嗅觉障碍;还可能会因为通气差、分泌物、病原潴留导致鼻-鼻窦炎,孩子会抱怨面部疼痛或涨感。长期的张口呼吸,会导致特殊的面容,具体见第五条。
腺样体肿大后,会压迫到下方的咽鼓管开口,导致咽鼓管阻塞或者病原通过咽鼓管进入中耳,而咽鼓管是保证中耳内压力正常的通道,阻塞后会导致听力减弱,耳痛,耳鸣,分泌型/化脓性中耳反复感染。
图片图片来自:https://www.fairview.org
还有些孩子,因为炎症导致鼻涕分泌增多,会有老是流鼻涕表现;腺样体肥大还会导致慢性咳嗽,因为腺样体处的炎性渗出物、鼻咽分泌物向后滴,刺激咽喉、气管导致咳嗽,这种称为上气道咳嗽综合征,晨起时明显;还会因为长期炎症介质刺激,产生刺激性干咳,严重出现喘息;患儿因为炎症,会出现口臭表现。
腺样体增大合并扁桃体增大,是阻塞性睡眠呼吸暂停的重要危险因素,这个病就是睡觉打鼾,睡着睡着,会出现呼吸暂停、咳嗽或者窒息等。夜间睡眠不安,会继发精神不佳、脾气暴躁、学习障碍等问题。
图片
五、真有腺样体面容这个问题吗?
是否因为腺样体肥大,导致慢性口呼吸,从而出现特殊的面容,这个问题存在争议。
理论上,口呼吸会导致面部狭长、硬腭高拱、下颌内缩这样的面容,如果是腺样体肥大的导致的,之前会称为「腺样体面容」。但是现在虽然很多资料也会写「腺样体面容」,但都会加以注明是可能导致或者说还不明确。
图片图片来自:Cummings Otolaryngology.3rd.2015.
口呼吸之所以导致这些面容表现,是因为口呼吸时,舌头会下降,不能紧贴上腭部并对其施加侧向压力(鼻呼吸时是可以的),这样上颚(硬腭)部位就会高拱,上牙弓就会变窄,这样面部就会狭长,同时口呼吸时,上下牙不会接触互相挤压,那恒磨牙会过度的生长,变得更长,导致下颌更向后,向下,这样就出现了脸更长、下颌内收表现。
但是以上说法还没有被完全证实,有的研究认为是这样,有些则不符合;另外多久的口呼吸能导致这个面容也不知道。所以,目前不是说只要有腺样体肥大就会出现特殊面容。
六、怎么检查明确腺样体是否肥大?
目前主要有两种检查方式,判断腺样体是否肥大。
1.鼻咽侧位片( X 线):
就是给孩子拍个侧脸的X线,能看到腺样体的大小以及占鼻咽腔宽度的比率,来评估腺样体肥大的程度。
图片图片来自 Pediatric Airway Disease Chapter 30, 1811-19
上图中,黑色箭头就是腺样体。
另外,检查时,让孩子下颌稍抬高,鼻吸气,避免哭闹,因为哭闹和吞咽时,软腭会上抬,导致鼻咽腔变窄,会显得腺样体更大。
这个检查的优点是非侵入检查,孩子不难受,数据客观,缺点是有一点放射性,但是完全不用担心对孩子有什么副作用,其辐射就像坐了次飞机受到的辐射一样
那怎么看腺样体大小呢?就是看腺样体把鼻咽管堵了多少,先看示意图图:
图片点击看大图
上图中A是腺样体的最大直径,N是鼻咽管的宽度,A/N就是腺样体占鼻咽管的比例。
A怎么测量呢?先找出腺样体最凸起的点,就是上图中的A'点,然后沿着枕骨斜坡做个切线B,A线就是A'点到B线的垂直距离。
N怎么测量呢?找到硬腭的后上缘为起点C',然后找到翼板跟后上缘D',之间的连线就是鼻咽管的宽度。
下面是实操图,下图的黄线是腺样体长度,黑线是鼻咽管的宽度。
图片Case courtesy of Dr Maulik S Patel, Radiopaedia.or
那多少是正常呢?其实这个只有个大体的数据,发明A/N的作者的数据如下,红框是A/N的值:
图片
能看到,到5岁左右时,比值最大,但也没有超过0.59,国内学者根据这个方法,研究了国内儿童的数据,最大不超过0.6,也就是60%,所以,目前认为小于60%就是正常的。
同时,国内目前多把0.61-0.7定义为中度肥大;大于0.7为病理性肥大。
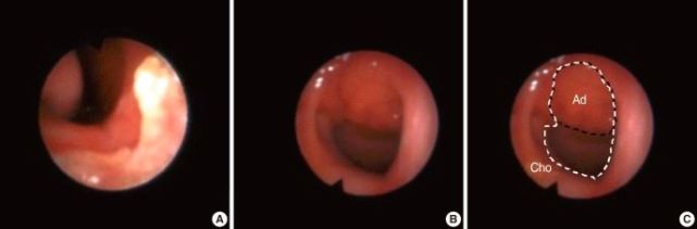
2.鼻咽镜检查:
将内窥镜经过鼻子进入,直接观察腺样体堵塞后鼻孔的程度。
图片
上图箭头处是腺样体,几乎阻塞了全部的后鼻孔
这种检查没有辐射,就是检查过程会有些不舒适(孩子能适应的),并且这个结果和医生的水平有关,诊断上主观性大,因为内镜深入的位置和角度不同,得出的结果会有不同。
图片
上图C中,Ad是腺样体,整个虚线包裹的范围是后鼻孔(Cho),用腺样体大小除以后鼻孔,就是阻塞的比值。
25%及以下:I度;26%-50%:II度;51%-75%:III度;76%-100%:IV度。通常把III度以上且伴有临床症状的,考虑诊断为腺样体病理性肥大
以上检查的结果,和手术后切除后看到的腺样体大小差不多,说明检查非常好了,但是准是准,却不能以这个作为手术的指标,哈哈,看到这里,是不是觉得上面白学了?那以什么决定是否做手术呢?看第八条。
、为什么说不要通过CT检查腺样体肥大?
因为第一,针对腺样体的检查,用x线和内镜完全够用了,即使要手术,这些检查提供的结果也完全够用了。
第二,儿童正处于快速发育中,细胞分裂快,对辐射更加敏感,进行头颅CT检查,可能会导致以后癌症几率增加。
图片
但是这个结论目前还没有明确。
有研究认为,在15岁之前进行过多次CT扫描的个体,被发现在第一次扫描后的十年中罹患白血病,脑肿瘤和其他癌症的风险增加。但是,单次CT扫描对癌症的终生风险很小,对儿童进行的每10,000例扫描中有大约有1例癌症。
但是在2018年的一篇系统综述认为,虽然目前的流行病调查确信头颅CT会导致孩子肿瘤增加,但是这个综述通过分析16个研究,最后得出的结论是,做头颅CT的0-18岁孩子中,新发脑瘤的相对风险值RR1.29(95%CI0.66-1.93),虽然这里的风险提高了1.29倍,但是CI值包含1,是没有统计学意义的。说人话就是不能说头颅CT提高了肿瘤风险
所以,是否头颅CT会增加癌症的风险,需要更多的研究。那有点风险,我们就不想让孩子承担,所以对于腺样体肥大这种没必要进行CT检查的,就不用了
提示一下,这里不是说禁止所有孩子使用CT检查,对于一些颅内病变的,需要手术治疗的,该检查还得检查。
八、肿大程度能决定切不切吗?什么时候需要切呢?
肿大的程度不代表临床症状的程度,严重程度不只和肥大的程度有关,所以,尽管检查能比较准确的估计腺样体大小,但是这个值对临床治疗上的指导不大。
有时认为,A/N大于70%要考虑手术切除,但是这个不能当做决定性标准,更重要的是结合临床症状。啥意思,就是即使腺样体没有这么大,但是孩子症状重,该切也得切。
那腺样体切除的标准有哪些呢?
这个目前没有统一的指南,2002年Laryngoscope杂志给了个标准,里面就两条,1是反复的慢性鼻窦炎或者腺样体炎,2是中耳炎。18年过去了,经过现在对各种研究的总结,目前推荐标准如下:
1.有阻塞性睡眠呼吸暂停表现,同时扁桃体增大的,进行腺样体-扁桃体联合切除。
2.患儿的腺样体肥大,伴随的中度鼻塞症状(张口呼吸、闭塞性鼻音或嗅觉障碍),已持续至少1年,并且保守治疗(比如使用6周鼻用糖皮质激素治疗,比如使用1月的抗生素)效果不佳。
图片图片来自:The So-called, “ADENOID FACIES”
这条里,如果鼻喷激素有效,可以持续使用半年,如果没问题了,就不用手术了。对于抗生素,国内各地做法不一,有使用2周看效果的,有根据是否感染使用的,有根据伴随的中耳炎或者鼻窦炎用药的,确实挺乱的,但是如果治疗了2-3月还没啥效果,那就切吧。
3.慢性鼻窦炎,反复发作,药物治疗不佳。
4.反复的急性中耳炎(化脓性)或慢性渗出性中耳炎患儿,伴有上几条表现,建议切除。
5.腺样体肥大症状明显,并且已经出现特殊面容的孩子,排除了口腔原因,建议进行手术,但是效果不能确定。
九、要不要和扁桃体一起切呢?
要不要切扁桃体,根据扁桃体切除指征来,有以下指征的,同时切除:
1.孩子2岁以上,扁桃体肥大,有阻塞性睡眠呼吸暂停,需要联合切除。
2.反复咽喉感染(咽炎、扁桃体炎):
在之前的1年内发作7 次或更多次。在之前的2年内,每年发作5次或更多次。在之前的3年内,每年发作3次或更多次。
这里的咽喉感染发作至少要包含以下一条:口温≥38.3°C,颈前淋巴结增大(>2cm)或有压痛,扁桃体有渗出物,A组β溶血性链球菌培养阳性。
图片
对于达不到以上发作次数标准的孩子,随着年龄长大,扁桃体有自行恢复正常的可能,对症处理就行,不用切除。但是如果是A组β溶血性链球菌感染,使用抗生素效果不佳,或者导致咽旁间隙感染或扁桃体周围脓肿,或者有风湿性心脏病史的,也建议切除。
十、腺样体切除有年龄限制吗?
切不切腺样体是根据症状,而不是根据年龄的,所以没有什么年龄限制,3岁以下也能切。目前,好多时候会在4岁以上切腺样体,怕过早切影响免疫功能,其实这个不是必要的,没啥大影响,在第十七条会写。
十一、怎么手术呢?
对于孩子而言,要全麻下进行切除术。现在多进行的是内镜低温等离子射频腺样体切除术,医生能在显示器上看到腺样体,操作精准简单,并且几乎不流血,手术很快,对孩子没啥影响,第二天就活碰乱跳的,效果非常棒。
具体手术过程我也不知道,不班门弄斧啦,略过喽。
十二、全麻是否有问题?
没问题,0-3岁小朋友,接受一次全麻,不会对其智力有影响,不会变笨的。所以,不要因为这个担心,就不给孩子做手术。
麻醉是个伟大的发明,该用就用啊!
十三、术后应该怎么护理呢?
这是个小手术,没有并发症的单纯的腺样体切除术,当天做完就能回家,当然不是所有医院都能这样,有些会呆个1-3天出院。
另外,小于2岁的孩子,有阻塞性睡眠呼吸暂停等疾病的孩子需要留院观察。
这个手术不影响饮食,孩子想吃啥就吃啥,大点孩子吃点冰淇淋也挺好,凉凉嗓子止疼。前两天你怕孩子受不了,给孩子吃点稀的也随你啦,不然你也不放心。
图片
术后当天,孩子咽部手术部位可能会有些分泌物,有些孩子打呼噜可能会更响一些,不用怕,过1天就好了。
回家后注意前2周,避免运动量太大的活动、激烈的运动就行了。
其他的护理就是对症处理了,比如孩子可能有疼痛(咽部等)感觉,那就可以使用泰诺林止痛。
前几天可能有发热表现,使用美林或者泰诺林退热就行,不需要使用抗生素。
十四、腺样体通常在10岁左右开始萎缩,那能等吗?
不行。
正常的腺样体是在10岁左右逐渐萎缩的,但是已经病理性肥大的,不断的受到刺激,可能会越来越大呢。
而这种肥大,会让孩子特不舒服,对孩子健康影响大,所以,必须切的时候就切,别老是抱有侥幸心理。
另外,如果达到了手术指征,也别老想用保守治疗的方法了,浪费时间、让孩子难受的几率,比能治疗好的几率大的多得多。
早切早轻松。
十五、切了后,一定能好吗?
这个谁也不敢打包票,但是只要诊断明确,如果没有其他相关疾病,效果是非常好,几乎是做一个好一个。做完当天或者第二天症状就没了或减轻了,好些家长说,孩子突然不打鼾了,睡眠舒服了,反而会不适应。
图片
资料提示,术后各症状的改善率为74%-87%,所以,这是个非常值得做的手术,孩子真的会一下子轻松了。
那没有好转的是因为什么呢?可能是导致孩子有打鼾、流涕、鼻塞的还有其他原因,比如孩子严重鼻窦炎的,鼻腔结构有异常的等等。
十六、还会再次手术吗?
之前因为不能在影像下进行刮除术,所以可能刮不干净,会导致残留的腺样体会再次增生肥大,可能需要再次手术。
但是现在手术条件好了,看着视频进行手术,会切除的很干净,极少数还会出现这个问题,很少要再次手术了
十七、切了后,免疫力是否受损?
这个目前很有意思,总体而言,会有一点损伤,但是无关紧要。哈哈,和目前其他文章说的不一样吧,不急,继续看。
2019年一个队列研究显示,给3岁以下儿童进行腺样体切除术(还可能联合扁桃体切除)后,术后1个月时,孩子们的免疫球蛋白A(IgA)会显著降低,但是仍在正在范围内,其他免疫指标无变化。
到术后3个月时,所有免疫指标(各种淋巴细胞和免疫球蛋白)和术前相比没有变化。并且在术后1月和3月,孩子们呼吸道感染性疾病风险没有增加。
图片
看到这里,其实感觉挺高兴的,因为腺样体虽然承担着小朋友的免疫防御方面的功能,但是摘除后,其他的免疫器官会发力,很快的把缺的功能补充上,不会让孩子感染,还是不错的。
但是,下面这个丹麦长达30年的,对120万儿童,至少研究到10岁,部分追踪到30岁的研究有些不同意见。
这个研究最后的结果是,进行腺样体切除的孩子,在以后的生活中,其发生上呼吸道疾病(不仅是感染)的风险是不切除的1.99倍(RR:1.99,95%CI 1.51-2.63),扁桃体切除的是2.72倍(RR:2.72; 95% CI, 1.54-4.80)。
进行腺样体和扁桃体联合切除术的孩子,患感染性疾病的风险增加17% (RR, 1.17; 95% CI, 1.10-1.25),但是因为这些感染性疾病太普遍了,绝对风险增加了2.14%,这个数值就看着很让人放心了。
所以,切除后,可能会稍微增加一点点感染性疾病的风险,对免疫力稍微有些损伤,但是完全不用放在心上,该切就切吧。
十八、切了后,容易导致哮喘吗?
网上有信息说,切了腺样体后,会导致哮喘的几率增加,这是真的吗?关于这个的研究,目前的结论不一。
有研究发现,切除了腺样体和扁桃体后,哮喘发作和症状得到了明显的控制,这些研究中,基本都是为了阻塞性睡眠呼吸暂停进行的腺样体和扁桃体切除
图片
但也有研究发现,腺样体切除后,哮喘的患病率反而会增高,土耳其的研究提示,哮喘患者中,早期接受了腺样体切除术和/或扁桃体切除术的更多,接受这些手术将哮喘的风险增加1.96倍,上面丹麦那个120万人的研究认为,进行腺样体切除术后患哮喘的风险是1.45倍(RR = 1.45;95%CI 1.33-1.57)。
总结下,目前可以认为,如果是孩子有阻塞性睡眠呼吸暂停、有哮喘,那切除后,哮喘症状会有好转,如果之前没有哮喘,那哮喘的患病率可能会提高。但大家记住,即使会是哮喘率升高,该切也得切。
十九、大家肯定会问的问题
大家肯定会问,保守治疗里面,除了使用抗生素、激素外,还有别的方法吗?中药或者推拿有没有效果?
别的方法我能回答,比如鼻涕多的要洗鼻涕,每天多洗几次,真正的用洗鼻器洗,不是自己用手接点水洗啊。其他药物就基本不需要了,比如促进鼻涕排除的药,比如减鼻充血药。
比如真的过敏的孩子,避开过敏原,花粉过敏的,春天做好预防,全年过敏的,注意室内尘螨等的清除,进行抗过敏治疗等。
哦,对了,还得强调,家里别有烟味!家长别抽烟!
第二个问题,确实不知道,因为不懂,所以我不会给孩子用,嗯,大家也别问我了。
over。
- 参考文献 -
[1].Arthur J Nowak.Oral habits and orofacial development in children.UPTODATE.2010.
[2].Pereira L.Prevalence of adenoid hypertrophy: A systematic review and meta-analysis.Sleep Med Rev. 2018 Apr;38:101-112. doi: 10.1016/j.smrv.2017.06.001. Epub 2017 Jun 14.
[3].Jan E Drutz.The pediatric physical examination: HEENT.UPTODATE.2019.
[4].Antonio Mario Bulfamante.Adenoidal Disease and Chronic Rhinosinusitis in Children—Is There a Link?J Clin Med. 2019 Oct; 8(10): 1528.
[5].曹成.腺样体肥大与变应性鼻炎的相关关系.临床耳鼻咽喉头颈外科杂志.2019.04.
[6].Computed Tomography (CT) Scans and Cancer.https://www.cancer.gov/
[7].Fujioka. Radiographic evaluation of adenoidal size in children: adenoidal-nasopharyngeal ratio. American Journal of Roentgenology, 133(3), 401–404. doi:10.2214/ajr.133.3.401
[8].Jack L Paradise.Tonsillectomy and/or adenoidectomy in children: Indications and contraindications.UPTODATE.2019.
[9].Anna H Messner.Tonsillectomy (with or without adenoidectomy) in children: Postoperative care and complications.UPTODATE.2019.
[10].邹明舜. 儿童增殖腺-鼻咽腔比率测定的临床价值 [J] . 中华放射学杂志,1997,31( 03 ): 190-192.
[11]John P. Sheppard.Risk of Brain Tumor Induction from Pediatric Head CT Procedures: A Systematic Literature Review.Brain Tumor Res Treat. 2018 Apr; 6(1): 1–7.
[12].Jan E Drutz.The pediatric physical examination: HEENT.UPTODATE.2019.
[13].Yuyan Yan.Short- and long-term impacts of adenoidectomy with/without tonsillectomy on immune function of young children
[14].Sean G. Byars.Association of Long-Term Risk of Respiratory, Allergic, and Infectious Diseases With Removal of Adenoids and Tonsils in Childhood.JAMA Otolaryngol Head Neck Surg. 2018 Jul; 144(7): 594–603.
[15].Bhattacharjee R.Association of adenotonsillectomy with asthma outcomes in children: a longitudinal database analysis.PLoS Med. 2014 Nov;11(11):e1001753. Epub 2014 Nov 4.
[16].Kohli N.Asthma outcomes after adenotonsillectomy: A systematic review.Int J Pediatr Otorhinolaryngol. 2016 Nov;90:107-112. doi: 10.1016/j.ijporl.2016.08.030. Epub 2016 Sep 2.
[17].Nalan Yurtsever.Is Adenoidectomy and/or Tonsillectomy a Risk Factor for Allergic Diseases and Asthma in Adulthood?Eurasian J Med. 2018 Oct; 50(3): 152–155.
[18].Darrow, D. H.Indications for Tonsillectomy and Adenoidectomy. The Laryngoscope, 112(S100), 6–10. doi:10.1002/lary.5541121404.