超详细胸片读片入门攻略,看完不信你还学不会!

解读胸部平片,是每一个临床医生的基础技能。
本文是由丁香园资深版主华夏览雄带来的超详细入门攻略,简单五步带你轻松搞定读片问题。
1. 看胸片是否符合诊断要求
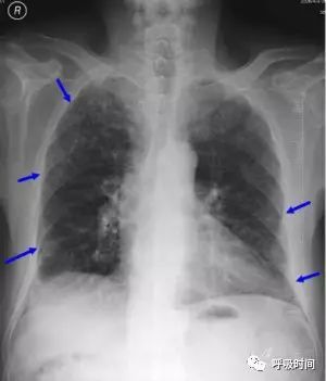
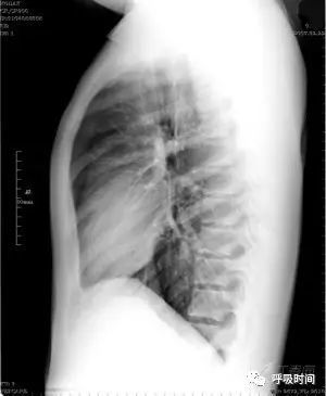
一般讲,下颈部、双侧肋膈角纳入片内;两侧胸廓对称,黑化度、对比度适中,胸 1-4 椎体隐约可见(图 1,现在的数字化摄影如 CR、DR,往往曝光过度,所以,有时会隐约可见脊柱影)。无佩饰衣物等干扰。
图片
图片
图 1 为胸部正侧位片
双肺(血管)纹理清晰(至胸膜下 3 cm / 限于肺野中内带);肺门结构不大、清晰。心影大小形态无异常,纵隔无偏移。双侧肋膈角锐利,胸廓对称
2. 认识组织、器官的正常表现
图片
图片
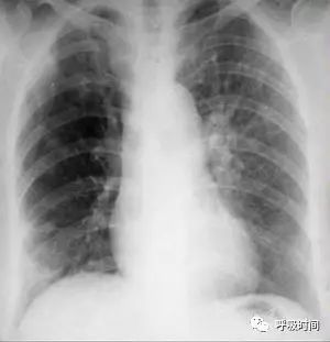
图 2 胸部正位片:1 气管;2 肺尖部;3 主动脉结
认识了正常,方能发现何为异常。例如对肺纹理的观察,大多都把注意力集中在是否增重,结合临床诊断支气管炎;其实,非常重要的一个用途,是对肺栓塞的判断。
众所周知,肺纹理主要由肺动脉分支组成,故又称为血管纹理。某处亚段以上肺动脉分支发生栓塞时,超急性期即可见到局部肺纹理(肺动脉分支)的缺失区(图 3);局部肺野密度减低。
图片
图片
图 3 胸部正位片:右肺栓塞。片示右中肺野血管纹理减少,密度减低(黄箭头);红箭所示为正常肺纹理。
图片
图片
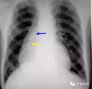
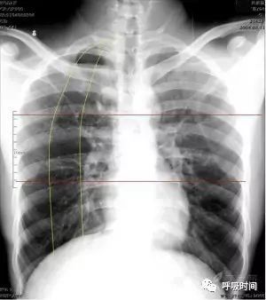
将一侧肺野平均划分为上、中、下肺野——红线;内、中、外带——黄线
3. 对病变做出解剖定位、定量
1. 定位因为肺叶、肺段相互之间有重叠,所以仅有正位片时,除肺尖部病变可定位在上叶外,其他部位则以病变位于哪部分肺野的内中外带来做定位表述(图 4)。
图片
图片
图 4 将一侧肺野平均划分为上、中、下肺野——红线;内、中、外带——黄线
2. 定量:对气胸时肺压缩程度的判断,有学者研究,当肺压缩边缘位于肺野外带(胸腔/肺野外 1/3)时,肺压缩约为 50%,至中带时则肺压缩约为 75%。
4. 认识各类异常的影像表现
1. 渗出性病变与实变
描述语:云絮状 / 片絮状 / 絮状影、灶大片实变灶。
相对应的病变:肺炎、浸润型肺结核、肺水肿等(见图 5-图 8)。
图片
图 5 肺(渗出性)实变影---右肺上叶大叶肺炎。右肺上野见大片实变影,上缘模糊,下缘平直、清晰(提示病变为水平裂所限)
图片
图片
图 6 肺渗出性病变影——肺下叶支气管肺炎
图片
图 7 肺渗出性病变影——右肺上叶肺炎
图片
图 8 肺渗出性病变影(蓝箭头)并胸腔积液(红箭头)——病毒性肺炎
2. 纤维化病变
描述语:索条状、网状影或斑片状影、灶。
相对应的病变:陈旧性肺结核、纤维空洞型肺结核、间质性肺炎、肺间质纤维化、尘肺、放射性肺炎等(见图 9 ~ 图 11)。
图片
图片
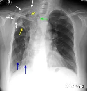
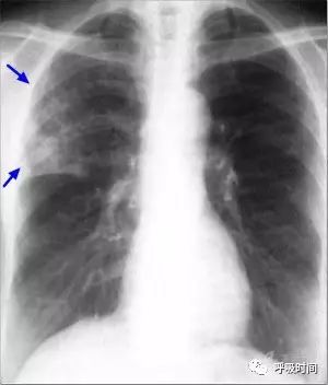
图 9 肺纤维化病变影——陈旧性肺结核。右肺上叶可见条索状影及斑片状影(黄箭头);右肺门上移,下肺纹理呈垂柳状(蓝箭头,提示上叶体积缩小);气管右移、弯曲(绿箭头,提示上叶体积缩小);右侧胸廓顶部胸膜增厚(白箭头,即肺尖帽征)
图片
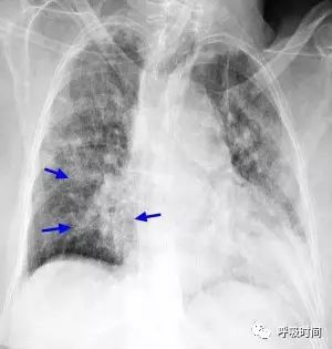
图 10 肺纤维化病变影---陈旧性肺结核。右肺上叶可见条索状影(蓝箭头)
图片
图 11 肺纤维化病变影——弥漫性特发性肺间质纤维化。双肺胸膜下可见网状影及条索影(蓝箭头)
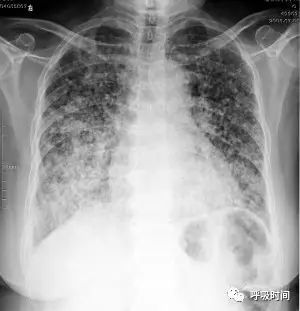
3. 粟粒/结节/团块阴影
描述语及定义:粟粒——直径<2 mm;结节——直径 3 mm~30 mm 称之为结节影;病灶直径>30 mm,称之为团块,>50 mm 为巨大团块。
相对应的病变:粟粒影-急性血行播散性肺结核、肺转移瘤、浸润性肺癌、肺泡微石症等;结节影-结核球、肉芽肿类病变、肿瘤等;团块影-肿瘤等(见图 12 ~ 图 16)。
图片
图 12 粟粒影——急性血行播散性肺结核并右侧胸腔少量积液。双肺弥漫分布的粟粒影,呈典型的三均:大小均匀、分布均匀、密度均匀。右侧肋膈角变钝(蓝箭头)
图片
图 13 粟粒结节影——浸润性肺腺癌(细支气管肺泡癌)。双肺弥漫分布的粟粒结节影,特点:大小不一,中下肺野明显
图片
图 14 病灶直径<30 mm,结节影——手术病理:结核球
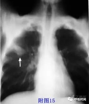
图片
图 15 结节影——手术病理为肺腺癌
图片
图 16 病灶直径>30 mm,团块影——手术病理为肺腺癌
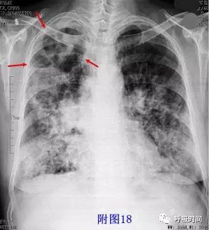
4. 空洞性病变
薄壁空洞——厚度<3 mm;厚壁空洞——厚度>3 mm;无壁空洞。
相对应的病变:肺脓肿、肺结核、肺癌、转移瘤、肉芽肿性血管炎(韦格肉芽肿)等(见图 17 ~ 图 20);无壁空洞鉴于干酪性肺结核。
图片
图 17 肺脓肿:右肺中叶空洞,内可见气液平
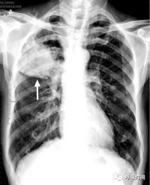
图片
图 18 肺结核:右肺上叶多发空洞,内可见气液平;可见肺尖帽征
图片
图 19 肺转移瘤:双肺弥漫分布多个圆形薄壁空洞
图片
图 20 右肺下叶鳞癌:右肺下叶厚壁空洞影,内可见较大气液平(蓝箭头);肺门侧可见壁结节(红箭头)
5. 分清真伪-辨别各种伪影
分清真伪-辨别机器伪影、饰物伪影、生理伪影、运动伪影等。不要把假象误认为病变(见图 21 ~ 图 23)。
图片
图 21:女,40 岁,咳嗽发热 3d 前来就诊。
原诊断:左上肺结核(白箭头)并淋巴结肿大(黄箭头)。
审报告发现,左上肺阴影向外上软组织内延伸,且肺门部结节为(头绳上的)纽扣
图片
图 22 男 45 岁,发烧胸痛 3 天,T 39℃
原描述:片示下肺野钙化;考虑胸膜钙化。
仔细观察,实际为衣物上的漆字:第三---口普查
图片
图片
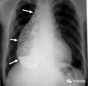
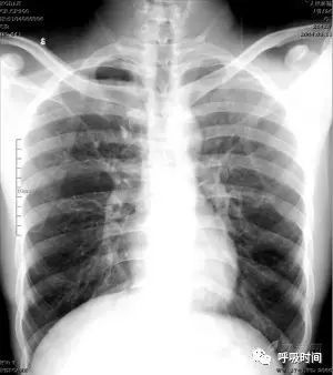
图 23 申请单提供的病情资料:男,44 岁,胸痛 2 天
原诊断:心脏增大。审报告发现,透过增大的「心影」可以看到右侧肺门(蓝箭)及下肺动脉影(黄箭)。
询问病史,患者为食管癌术后。服钡后清楚显示,为胸腔胃(白箭)导致假性心脏增大。
需要强调的是,在分析影像资料即读片时,应注意培养良好的观察习惯和正确的诊断思维方式。
观察时要按一定顺序全面细致地的进行,以避免不必要的误诊和漏诊。分析病变时,应注意观察病变的位置、分布、数目、形状、边缘、密度、邻近器官组织的改变、器官功能的改变等。
同时要注意参考其它影像学检查资料和既往的影像学资料,然后,综合、全面、系统的推理归纳,做出结论。
编辑:飞腾