新冠肺炎即将战胜,谈谈肺癌的防治,肺炎肺癌都要重视

51岁查出肺鳞癌,原因在老公身上
这是一个叫人费解的病例,中年女性,咳嗽、咳痰20多天,最近10天发现痰里有血,有时是血丝,有时是暗红色血块,心里很害怕,过来做了肺部CT:
图片
左上肺长了个东西,形态不规则,与背侧胸膜有牵连,肺门侧小气管堵塞,高度怀疑肺癌。
住院做了全身检查,没有发现远处转移,手术切除了左肺上叶,病理是肺鳞癌。女性最常见的是肺腺癌,不吸烟的女性,肺鳞癌很少见(大约仅占3%)。
她怎么会得肺鳞癌呢?
外科医生仔细询问生活史,帮我们找到了答案:长期吸入二手烟。
图片
她老公喜欢招人在家打麻将,经常熬通宵,期间会不断地抽烟提神。用她的话说,一地的烟头,一进屋子都呛人,墙上的腻子都被熏变色了,大夫您可帮我好好劝劝吧……
肺鳞癌是怎么发生的?
我们的支气管黏膜表面,覆盖着假复层柱状纤毛上皮细胞,细胞间还有能分泌黏液的杯状细胞,黏液会黏附住空气中的灰尘颗粒和病菌微粒,再由这些小纤毛像小毛刷一样往外摆动,就会形成痰液排出来,从而阻止脏东西进肺,保护肺部健康。
图片
我们从一些灰尘特别多的场所出来,或者大扫除过后,会吐一些发黑的痰液,就是这个道理。
当这些柱状纤毛上皮长期受到烟雾等不良刺激,就像是生长在毒气房里的小树苗,会病恹恹地发生倒伏、脱落,细胞老化,并逐渐发生鳞状上皮化生,就像小树林变成了沙漠,表面光秃秃的,慢慢就容易滋生癌细胞了。这个过程长短不一,一般要几十年(所以肺鳞癌患者年龄多>50岁),如下图:
图片图片来自上海王兆宇教授
肺鳞癌通常比腺癌转移晚,及时发现可以治愈!
这位女士手术后做了辅助化疗,已经7年了没有复发!能够顺利康复也有一部分老公的功劳,从查出肺癌之后,老公就把烟戒掉了,说是突然发现麻将可以不玩,烟可以不抽,老伴不能没有!
分享几个早、中期肺鳞癌手术治愈的病例
肺鳞癌约占所有肺癌的20-30%,与吸烟关系很密切(包括二手烟),患者发病年龄多在50岁以上,血行转移发生较晚,手术切除效果较好!
西医治疗肺鳞癌比较简单,就是早期发现完整切除,中期的话手术配合辅助放化疗,大部分效果不错!我们看几个最近的例子:
病例1,坏蛋很小,一锅端
都说“73、84,阎王不叫自己去”,但有时候孝心可以续命延寿。下面这位73岁老爷子,有点小咳嗽,孩子们逼着做体检,结果发现左侧肺鳞癌,已经手术切除好几年了:
图片
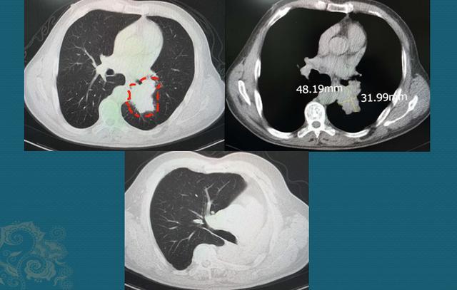
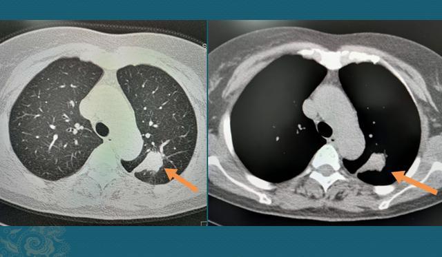
病例2,高难度的手术
这是一位64岁男病人,老烟民,牙齿都是焦黄的,反复咳嗽、痰多40天,胸闷10天,CT发现左侧中心型肺癌:
图片
下面的图是手术后3.5年复查,左肺全切,没有复发
中心型肺癌手术要慎重,需要术前充分评估,除了排查有无远处转移之外,还要重点观察对肺门血管、气管的侵袭范围,判断有无手术条件。
随着胸外科各种微创技术的进步,很多禁区也在不断突破!豪大夫最佩服的就是胸外科医生,因为肺癌发病率最高,而每一个小突破都能给成千上万的病带来新希望!这位病人做了左侧全肺切除,昨天回来复查,已经3年半了,没有复发。
人的很多器官都有强大的代偿能力,比如切除一侧肾脏、肺脏、切除一半胃、肝或者肠管都能活下去,活着就有希望!
图片
辟谣:发现肺癌不手术可不可以,老人肺癌长得慢?
很多人说老人的身体机能退化,就算长了癌症,癌细胞长得也很慢,开刀不如保守。
我们先不争论,看个病例,原本有手术根治机会的肺鳞癌:
图片
这是一位68岁男病人,2016年因为冠心病住院查出肺小结节,0.4cm的实性结节,建议定期复查。1年后发现肺结节增大,危险等级提升为高危肺结节,建议积极处置。
病人还是选择继续观察,2018年复查结节有轻微缩小、变形,并可见一个小囊泡,提示小气道有不完全性阻塞(肿瘤细胞沿小气道壁生长,造成管腔狭窄),建议积极处置。
病人还是选择观察。到了2019年,癌细胞繁殖出一定体量,开始露出尖锐的獠牙:
图片
从2018-2019的一年时间里,迅速长成分叶状肿块,并且与胸膜建立联系,沿着胸膜出现了小结节灶,穿刺病理是低分化肺鳞癌,已经错过了最佳手术机会……
癌症的生长速度不是匀速的,通常会有一个加速期,我们强调早期治疗就是要扼杀住这个加速期,规避癌细胞的爆发式播散。
有个现象叫人无奈:很多病人喜欢道听途说一些不成熟的观点,反而对医生的话将信将疑……
图片
最后补充一些大家感兴趣的知识点:早期肺鳞癌常见哪些CT表现?
肺鳞癌从病理上分三种:角化型、非角化型、基底细胞样肺鳞癌
从发病部位上分两种:中心型肺鳞癌(起源于肺段及肺段以上大支气管)周围型肺鳞癌(起源于肺段以下支气管)。二者只是发生位置不同,病理上没有区别,早期发现都可以治愈!
1.早期中心型肺癌
过去这段时间为了防控新冠肺炎,很多人待在家里连窗户都不敢开,生怕吹进来病毒微粒。这个不要担心,外界通风环境下,加上太阳光中紫外线照射,就算有病毒,也会在很短时间内失去活性。而人类肺脏是离不开新鲜空气的。
早期肺鳞癌会在气管表面隆起,造成管腔狭窄,远侧的肺组织空气不通畅就容易反复发生同一部位的肺炎。如下图这位56岁病人,胸痛1年,左下肺少量炎症,表现为点片状及粟粒状高密度影:
图片
这种同一部位反复发生的炎症,不要吃点消炎药了事,要高度警惕近端支气管的情况,可以通过薄层CT加图像重建多切面观察,必要时增强扫描看看气管壁有无比较小的新生物:
图片病例来自浙江舟山曹捍波教授
通过增强扫描发现近端气管内小肿瘤,手术证实为高分化肺鳞癌,已经手术治愈!当然了,引起支气管狭窄的原因比较多,有些是良性病变,比如气管支气管结核、良性肿瘤、真菌病等,不要因为花了钱最终没查出大问题而怪罪医生,医生对这种反复同一部位的肺炎要保持谨慎,不是滥开检查。
2.早期周围型肺鳞癌
这种的多表现为肺结节,具备恶性征象的大家都会看,比如有分叶、毛刺、偏心小空洞、小气管截断等,我们介绍两个不典型的:光滑小结节、硬结灶
少部分早期周围型肺鳞癌可以很光滑圆润,没有明显恶性征象,貌似良性肺结节;还有些貌似良性的肺纤维灶,定期复查是很好的鉴别方法:
图片病例来自浙江舟山曹捍波教授
这两位老爷子都是周围型肺鳞癌,左边这个很光滑,右边这个像硬结灶,随访观察都缓慢长大,排除了陈旧性良性病灶,果断手术切除,治愈了。这么小的肿瘤,早期生长速度都很慢,随访观察不会耽误治疗
希望上面的内容能为大家解惑!2020年了,经历过新冠病毒,放下各种小烦恼,健康生活最重要!
我是影像科豪大夫,分享小病例,传递正能量,欢迎关注!