难以鉴别支气管哮喘和心源性哮喘时,可以先用氨茶碱吗?

图片
(点击名片可跳转至专家首页)
这是一道古老而又经典的选择题,相信大部分医生都见过:
支气管哮喘简称哮喘,心源性哮喘是由于急性心衰和急性肺水肿等引起的发作性气喘其发作时的临床表现与支气管哮喘相似,故被称作心源性哮喘;但这个名词不是一个标准的诊断术语,更多是用于口头或者书面讨论用于鉴别诊断,一般不作为出院诊断和最后诊断)。临床上经常遇到胸闷气喘病人,短时间内分不清楚是哮喘还是急性肺水肿,对下一步的治疗决策造成了很大的困惑。
这道题广为流传的参考答案是「C. 氨茶碱」,理由是氨茶碱同时具有扩张支气管平滑肌和舒张血管的作用,对哮喘和急性左心衰都「有效」。
那么在临床实践中,真的可以这样做吗?要想解答这个问题,我们需要先来复习一下,哮喘和急性心衰各自的治疗方案。
哮喘与急性心衰的治疗
一般治疗:
哮喘:脱离过敏原,吸氧,仅机械通气时可使用镇静剂。
急性心衰:调整体位,呼吸困难明显者,应半卧位或端坐位,双腿下垂以减少回心血量。吸氧。使用吗啡镇静。
药物治疗:
急性心衰治疗前首先分型(表 1),然后进入治疗流程(图 1)。
(表 1 急性心力衰竭患者分型)
图片
(图 1 急性心力衰竭的治疗流程图)
哮喘急性发作管理流程可参见图 2:
图片
图 2 哮喘急性发作管理流程图
大家可以发现,哮喘急性发作与急性心衰的治疗药物完全不相同,基本没有重叠。所以严格意义上来讲,这道题是没有正确答案的。
我们不由得怀疑,「C. 氨茶碱」这个答案到底有没有依据?
过时的「神药」——氨茶碱
国人对氨茶碱是有感情的,不管是一些老医生还是一些老病人,感觉价廉「物美」,刻骨铭心观念无法改变。
但事实是目前氨茶碱在哮喘治疗中的地位已经很低了,并不是哮喘一线用药:
2017 年《重症哮喘诊断与处理中国专家共识》
该药(氨茶碱)在重症哮喘中的地位尚无研究报道。
2018 年《支气管哮喘急性发作评估及处理中国专家共识》
茶碱「治疗窗」窄,代谢存在较大的个体差异,可引起心律失常、血压下降,甚至死亡,有条件的情况下应监测血药浓度;
茶碱与β受体激动剂联合应用时易于出现心率增快和心律失常,应慎用并适当减少剂量。
GINA 2019
哮喘急性加重不应静脉使用氨茶碱与茶碱治疗,因其疗效与安全性较差,而 SABA 的疗效与安全性更高;
静脉使用氨茶碱有严重与潜在致死性的副作用风险,特别是对于那些正在服用茶碱缓释片的患者;
对于成人严重哮喘发作,与单用 SABA 相比,联用氨茶碱并不能改善结局。
(上下滑动可查看完整内容)
那么,氨茶碱可以用于心衰吗?恐怕也不太行:
内科学第 9 版:
第二章 心力衰竭 第三节 急性心力衰竭 治疗:
氨茶碱:解除支气管痉挛,并有一定的增强心肌收缩、扩张外周血管的作用。
2016 年中国药师协会《心力衰竭合理用药指南》:
支气管舒张剂一般应用氨茶碱,此类药物不宜用于冠心病如急性心肌梗死或不稳定型心绞痛所致的急性心力衰竭患者,不可用于伴心动过速或心律失常患者。
氨茶碱注射剂说明书是有心源性哮喘的适应症的:
图片
(来源:用药助手 APP)
美国氨茶碱注射剂说明书(Hospira 公司,2019 年 11 月修订):
适应症与用途:静脉注射用氨茶碱适用于哮喘及其它慢性肺疾病(如肺气肿与慢性支气管炎)症状急性加重并伴可逆性气流受阻时,作为选择性β2 受体激动剂与全身性激素使用时的辅助治疗。
国外氨茶碱注射制剂说明书并没有治疗心衰的适应症,而以「茶碱、氨茶碱、aminophylline 或 theophylline」作为关键词分别全文检索以下中欧美指南:
1. 中华医学会心血管病学分会心力衰竭学组、中国医师协会心力衰竭专业委员会《中国心力衰竭诊断和治疗指南 2018》
2. 欧洲心脏病学会《2016 ESC Guidelines for the diagnosis and treatment of acute and chronic heart failure》
3. 美国心脏病学会《2013 ACCF/AHA Guideline for the Management of Heart Failure》及其升级更新版《2017 ACC/AHA/HFSA Focused Update of the 2013 ACCF/AHA Guideline for the Management of Heart Failure》
完全没有提及氨茶碱或茶碱!说明书与教材就是有特色,希望有进一步的临床研究验证其强心功效。
(上下滑动可查看完整内容)
所以本题选择氨茶碱严格意义上并不合理。
那么激素是不是一个替代选项呢?哮喘急性发作时激素是一线用药,急性心衰使用激素并无指征。但心衰时全身性使用激素有可能加重水钠潴留,从而有加重心衰的风险,而吸入激素一般认为无此风险。
诊断不明时的先期治疗
回到开篇的那个选择题,哮喘急性发作或急性心衰一时无法界定,或者两者有重叠时,心电图、X 线及 BNP 等实验室检查已启动,有等待检查结果时应如何早期治疗?
一般治疗:
调整体位、吸氧没有问题(根据 BMJ 2018 年氧疗指南,脉氧
药物治疗:
如有淤血表现而灌注正常,可予试用利尿治疗,并监测尿量;
如有血压明显升高可使用血管扩张药治疗,如硝普钠等,但应严密监测血压,以防血压下降过快过低;
不宜盲目强心治疗,大部分急性心衰无需强心治疗,正性肌力药物仅适用于低血压(收缩压
SABA(如沙丁胺醇)吸入有增加心率作用,应在严密心电监护下使用;
哮喘患者全身性使用激素可迅速改善症状,虽有增加水钠潴留作用,但是在哮喘、心衰无法鉴别区分时短期内使用并无不可,吸入 ICS 则无此顾虑;
不建议常规使用氨茶碱,不推荐静脉推注氨茶碱,即使氨茶碱有所谓的强心作用,大多数急性心衰也没有必要强心治疗;
不应盲目「水化」大量补液,除非已排除急性心衰或明确为干冷型急性心衰(低灌注+,淤血-)。
当然,这些都是权宜之计而已。真要治好病,还是要做好鉴别诊断工作。
哮喘与急性心衰如何鉴别诊断
哮喘的典型症状为发作性伴哮鸣音的呼气性呼吸困难,可伴气促、胸闷与咳嗽。而急性心衰最常见的症状也是气喘呼吸困难,部分急性心衰病人甚至也可以有两肺哮鸣音。
因此两者极易混淆。需要注意的是,单纯根据气喘症状+两肺哮喘音不能确诊哮喘。
哮喘与急性心衰的鉴别要点主要如下:
(1)既往史:哮喘患者多有反复发作史,可幼年起病;而心衰患者多为老年人,多有高血压、冠心病史。
(2)症状体症:急性心衰查有粉红色泡沫痰,常伴血压升高,颈静脉充盈,心率增快,心尖部可闻奔马律,两肺可有广泛哮鸣音、湿罗音,常伴下肢浮肿。
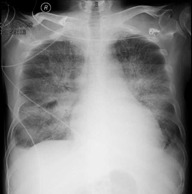
(3)X 线检查哮喘患者常无明显异常,而心衰患者可见心影增大,肺淤血症表现,典型者呈蝴蝶影(图 3)。
图片
图 3 全胸片示心影增大,典型「蝴蝶影」,双侧肋膈角钝模糊,提示心衰、急性肺水肿。
(4)心衰患者超声心动图(UCG)可有心脏结构和/或功能异常。
(5)利钠肽(NT-proBNP 或 BNP)明显升高则强烈指向急性心衰诊断,而正常可基本排除心衰。
(上下滑动可查看完整内容)
急性心衰的诊断流程可参见图 4。
图片
图 4 急性心力衰竭的诊断流程
而哮喘的诊断标准可参照 2012 年发布的《中华人民共和国卫生行业标准:支气管哮喘诊断》如下(图 5):
图片
图 5 哮喘的诊断标准(2012 年《中华人民共和国卫生行业标准:支气管哮喘诊断》)
小结
1. 支气管哮喘与心源性哮喘的症状体征有很多相似性,极易混淆,早期正确的诊断与鉴别诊断非常重要,具体诊断流程可分别参见图 4、图 5;
2. 确立诊断后治疗方案可分别参照表 1、图 1、图 2;
3. 如支气管哮喘与心源性哮喘一时无法区分,或两者并存,首先维持呼吸与循环功能,根据临床指征合理用药,仔细评估风险与获益,避免用药冲突加重病情,尽量避免使用镇静剂。
今日话题
氨茶碱这个药,你们科还在用吗?
编辑:飞腾
题图:站酷海洛
参考文献
1. 中华医学会, 中华医学会杂志社, 中华医学会全科医学分会, et al. 急性心力衰竭基层诊疗指南(实践版·2019)[J]. 中华全科医师杂志, 2019, 18(10):931-935.
2. 中华医学会, 中华医学会杂志社, 中华医学会全科医学分会, et al. 支气管哮喘基层诊疗指南(2018 年)[J]. 中华全科医师杂志, 2018, 17(10):751.
3. 葛均波, 徐永健, 王辰. 内科学 [M]. 第 9 版. 人民卫生出版社, 2018.
4. Siemieniuk RAC, Chu DK, Ha-Yeon KimL, et al. Oxygen therapy for acutely ill medical patients: a clinical practice guideline. BMJ , 2018, 363: k4169.
5. 中华医学会呼吸病学分会哮喘学组, 中国哮喘联盟. 重症哮喘诊断与处理中国专家共识 [J]. 中华结核和呼吸杂志, 2017, 40(11):813-829.
6. 中华医学会呼吸病学分会哮喘学组, 中国哮喘联盟. 支气管哮喘急性发作评估及处理中国专家共识 [J]. 临床医学研究与实践, ,2018,3(06):201.
7. Global Initiative for Asthma. GlobalStrategy for Asthma Management and Prevention, 2019. www.ginaasthma.org.
8. 中华医学会心血管病学分会心力衰竭学组, 中国医师协会心力衰竭专业委员会中华心血管病杂志编辑委员会. 中国心力衰竭诊断和治疗指南 2018[J]. 中华心血管病杂志, 2018, 46(10):760.
9. LABEL: AMINOPHYLLINE injection, solution. https://dailymed.nlm.nih.gov/dailymed/drugInfo.cfm?setid = 9a663ef3-881f-48bd-2689-3713b24545c2
10. Ponikowski P , Voors A A , Anker S D , et al. 2016 ESC Guidelines for the diagnosis and treatment of acute and chronic heart failure[J]. European Journal of Heart Failure, 2016, 18(8):891-975.
11. Yancy CW, Jessup M, Bozkurt B, et al. 2013 ACCF/AHA Guideline for the Management of Heart Failure: executive summary: a report of the American College of Cardiology Foundation/American Heart Association Task Forceon Practice Guidelines. Circulation 2013;128:1810-1852.
12. Yancy CW, Jessup M, Bozkurt B, et al. 2017 ACC/AHA/HFSA Focused Update of the 2013 ACCF/AHA Guideline for the Management of Heart Failure: A Report of the American College of Cardiology/American Heart Association Task Forceon Clinical Practice Guidelines and the Heart Failure Society of America. Circulation. 2017 Aug 8;136(6):e137-e161.