肺结核与肺癌像“真假美猴王”,医生教你用CT片当照妖镜,找不同

今天继续给宅在家里的小伙伴们讲点简单CT片,等到某一天,你能通过一张片子分辨出肺结核和肺癌,没准会让身边人大赞不已,兴趣是最好的老师。
说起肺结核灶,很多医生也头疼,瞧着有分叶毛刺,按照肺癌动了手术,结果切下来是个陈旧性肺结核;还有的瞧着像肺结核,结果手术病理是肺癌,叫人后怕不已,幸好手术了。
没办法,很多医生把肺结核称作“妖”,结核杆菌与身体免疫力在肺脏大战三百回合之后,就像真假美猴王,会把战场搞出72种变化,有的像肺炎、有的像肺癌
图片
我们看几张CT图片,看看唐三藏遇上真假美猴王,紧箍咒是如何失效的
在我们这个星球上,大约1/4的人口潜伏有结核菌感染,其中大约3~5%的潜伏性感染者在其一生中会发展为活动性结核病。超过80%的为肺部病变,约20%的病人发生肺外结核(比如肠结核、骨结核、肾结核),但在免疫抑制人群比如艾滋病患者、长期营养不良的人中,超过50%的病例可发生肺外结核。
我们关注新闻,有时会看到某高校高三学生发生肺结核,之后感染身边的同学,就是高三学习压力大,睡眠不足免疫力下降,由潜伏性感染发病所致。有些结核灶酷似肺癌。
图片
病例来自山东肿瘤医院黄教授
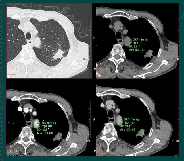
上面这位78岁老爷子,胸部CT发现左上肺团块影,形态不规则,边缘有毛刺和胸膜牵拉,没有钙化和空洞形成,病人经济条件还好,直接花几千块做了PET-CT,显示病灶内高浓聚(左下图黄白色区域),在多家医院诊断为肺癌,准备手术切除。
这个病例提醒我们,PET-CT(派克)对于判断某些病灶的良恶性并不具明显优势,不过它对评估肿瘤的分期很有价值,可以手术前排查有无全身播散。
相信只凭这些资料,任何医生都不敢排除肺癌。这时候该怎么办呢?
病人的儿子带着片子去找了黄教授会诊,黄教授建议先做个增强CT,看看病灶内有无血供。
1.陈旧性结核灶里面的血管会被结核杆菌破坏掉,增强扫描是不强化的(活动期可见强化,多为包膜样强化);
2.如果是肺癌,里面会有杂乱血管滋养癌细胞,增强CT多呈现轻中度不均匀强化,通过测量CT至可以明确。
图片
老爷子后来预约了增强CT,显示病灶没有强化,动脉期和静脉期病灶密度没有增加,说明高密度的造影剂随血液循环过来后,进不去病灶内部,里面没有血管,提示为陈旧性肺结核。
为求万全之策,又做了经皮肺穿刺,发现肺结核特有的干酪样坏死物,没有癌细胞,老人避免了手术创伤。嗯,也省了一笔钱。
这个病例告诉我们,当从形态特点上无法鉴别肺结核与肺癌时,增强CT有时会提供有价值线索。
除了增强CT之外,观察图像细节,也能发现不同之处
观察CT图片,细节为王,坏人做坏事,总会露出一些蛛丝马迹,我们要像高明的侦探一样,用放大镜找出这些细节做统一汇总,才能无限接近真相。肺结核的普通CT片,要重点观察两个部分:内部特点和外周变化。
(一)肺结核与肺癌的内部特点
重点观察钙化和空洞。
1.钙化的意义:
肺癌的生长周期比较短,很少发生营养不良性钙化,据统计,周围型肺癌只有约3%可见钙化(小细胞肺癌要高一些),即使发生钙化,通常密度也比较浅淡;而肺结核和其他一些良性病灶常见钙化。
所以专业医生总结:小于2厘米的肺结节,如果见到钙化,基本都是良性
我们举例说明:
图片
这是一位50岁男子,胸闷体检发现左肺尖小结节灶,形态不规则,边缘有胸膜牵拉,害怕是小肺癌,结果纵隔窗发现密度很高,随访3年无变化,考虑陈旧性肺结核灶。这种的就没必要手术和穿刺了。
2.空洞的意义:
肺癌和肺结核的空洞都不少见,它们都可以造成内部肺组织坏死、液化,经支气管排除后就会形成空洞
但肺结核杆菌及坏死物中含有较多脂质成分(干酪样坏死),这些脂肪坏死液化以后,可以与周围的钙离子发生皂化反应,形成脂肪酸盐(肥皂里主要是脂肪酸钠,结核干酪样坏死病灶里是脂肪酸钙),具有清洁功能。
图片
这种结核杆菌制造的小肥皂有亲脂端和亲水端,亲脂端可结合油脂,再通过亲水端清洗掉,这也是肥皂去污的原理。所以结核性空洞里常常比较干净,就像被肥皂水洗过一样,使空洞壁变得光滑。而且结核杆菌的破坏力很强,坏死常常很彻底。如下图,内壁光滑的空洞,确诊肺结核:
图片
而肺癌空洞通常不规则,癌细胞生长较快,有时会在空洞表面形成一些小突起,称作壁结节;或者造成空洞内面凹凸不平。如下图,癌性空洞:
图片
(二)肺结核与肺癌的周围变化
癌细胞早期一般不乱跑,细胞体量不够,小股部队出去的话很容易被免疫细胞灭掉,只能抱团猥琐发育等长到一定程度再说,所以早期肺癌周围肺组织是比较干净的,顶多在肿瘤边缘有一点小毛刺。
而肺结核则不然,它会繁殖,并且比癌细胞快很多倍,它适宜生长温度为37℃,正好是人体温度,增代时间大约为14-20小时。而且经气道吸入的结核菌原本就可以散布在多个角落,一起繁殖后代,造成病灶多发,所以我们看到结核球的周围经常有一些卫星灶,可以呈粟粒状、索条状、树芽征等多种表现,所以我们常说结核灶千变万化、无所不能。
下图是一位40多岁的男子,体检发现右肺肿块,周围有多发粟粒状、小斑片状影,提示结核球伴卫星灶,他比较紧张,选择手术切除,病例就是肺结核:
图片
万物都有规律,重视细节分析就能无限靠近答案!
当然了,某些不典型病灶单纯依赖肺部CT是不够的,要结合病人的症状、病程、化验检查,必要时还要支气管镜或者肺穿刺才能确诊。很多时候病理才是诊断的金标准。
不过对一些恶性征象很明显的病灶,近年来一些专家开始不推荐穿刺取病理了,直接手术更安全,因为有小部分患者会有癌细胞扩散的风险。对小病灶,不以手术为目的,有些专家不推荐穿刺了。但中晚期的即使不手术,有时候也要做,比如需要一定量的标本做基因检测,指导选择敏感的靶向药物,有些药太贵,不推荐盲吃。
图片
我是影像科豪大夫,分享小病例,传递正能量,欢迎关注!