汇总:病毒性肺炎的影像学表现

病毒是呼吸道感染最常见的原因。急性呼吸道感染中,病毒感染占90%,而病毒感染则以上呼吸道为主,有普通感冒、咽炎、喉-气管-支气管炎、细支气管炎、婴儿疱疹性咽峡炎以及流行性胸痛等。引起肺炎的病毒不多见,其中以流行性感冒病毒为常见,其他为副流感病毒、巨细胞病毒、腺病毒、鼻病毒、冠状病毒和某些肠道病毒,如柯萨奇、埃可病毒等,以及单纯疱疹、水痘-带状疱疹、风疹、麻疹等病毒。婴幼儿还常由呼吸道合胞病毒感染产生肺炎。近年来由于免疫抑制药物广泛应用于肿瘤、器官移植,以及艾滋病的发病人数逐年增多等,单纯疱疹病毒、水痘-带状疱疹病毒、巨细胞病毒等,都可引起严重的肺炎。
病毒性肺炎的影像学表现多种多样,与其他非病毒性感染和炎症性疾病的影像学表现有重叠。然而,识别潜在的病毒病原体并不总是容易。根据影像学模式识别病毒病原体有许多指标,这些指标与病毒感染的发病机制有关。同一病毒家族中的病毒在肺炎发病机制上具有相似性,其影像学表现具有明显的特征。虽然仅凭影像学特征无法确诊,但对病毒性肺炎模式的认识有助于鉴别病毒性病原体,从而减少抗生素的使用
图片
COVID-19肺炎CT表现
病毒是急性呼吸道感染的最常见原因,下呼吸道感染的病原体因患者年龄和免疫力而异。病毒性肺炎的CT表现多种多样,可能受宿主的免疫状态和病毒病原体的病理生理学基础的影响。此外,与细菌共感染也很常见。
图片
图1 儿童和成人的下呼吸道病毒感染
注:CMV=巨细胞病毒,HPIV=人副流感病毒,HMPV=人偏肺病毒,HSV=单纯疱疹病毒,RSV=呼吸道合胞病毒。
Koo H J , Lim S , Choe J , et al. Radiographic and CT Features of Viral Pneumonia[J]. Radiographics, 2018, 38(3):719-739.
已经描述了多种呼吸道病毒病原体的临床和CT表现,如流感、人副流感病毒(HPIV)、呼吸道合胞病毒(RSV)、鼻病毒和腺病毒。
呼吸道合胞病毒呈以气道为中心的疾病模式,伴有“树芽状”阴影和支气管壁增厚腺病毒表现为多灶性实变或磨玻璃影(GGO),与其他病毒感染或细菌感染相比,腺病毒性肺炎患者中GGO更常见。在细菌感染的患者中,弥漫性气腔型更常见。
根据肺炎的影像学表现,可以建议在感染早期鉴别诊断病原体。诊断测试包括放射学检查和血液或血清学检测,可以帮助确定肺炎的原因,将减少抗生素的使用,并可能改善临床进程。此外,快速诊断可导致潜在传播的早期控制,从而降低整体治疗成本。
病毒性肺炎的发病机制
病毒性肺炎的CT表现与肺部病毒感染的发病机制有关。虽然并非所有病例都显示典型的影像学特征,但大多数病毒性肺炎模式在病毒科的基础上表现出相似性。
病毒通常表现为多灶斑片状强化伴GGO,小叶中心结节伴支气管壁增厚。
流感病毒扩散侵入呼吸道上皮,导致坏死性支气管炎和弥漫性肺泡损伤,表现为实变。
腺病毒影响终末细支气管,引起细支气管炎,可能伴有坏死性支气管肺炎。
单纯疱疹病毒(HSV)在气道和肺泡中都有细胞病变作用,表现为多灶节段或亚节段GGO和不占优势的病灶区实变影。
巨细胞病毒(CMV)表现为急性间质性肺炎,伴有弥漫性肺泡水肿和纤维蛋白渗出物。
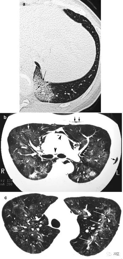
图片
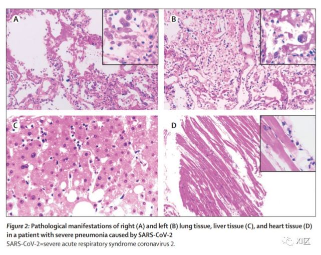
图2 新冠肺炎的组织学检查
Zhe Xu, Lei Shi, Yijin Wang, et al. Pathological findings of COVID-19 associated with acute respiratory distress syndrome. Lancet February 18, 2020. DOI:https://doi.org/10.1016/S2213-2600(20)30076-X
最近发表的COVID-19新型冠状病毒肺炎的组织学检查显示肺部出现弥漫性肺泡损伤,和细胞纤维粘液样渗出物。右肺出现明显肺细胞脱屑和透明膜形成,表明急性呼吸窘迫综合征(ARDS)的产生,左肺出现肺水肿和透明膜形成,显示早期ARDS病理特征。在双肺中出现主要由淋巴细胞构成的间质单核炎性浸润。在肺泡内空间,出现多核合成细胞,表明细胞出现病毒感染引起的细胞病理变化。COVID-19的病理学特征与SARS和MERS冠状病毒感染的病理学特征非常相似。
图片
图3 病毒性肺炎的发病机制和CT表现
注:ARF =急性肾功能衰竭,C =常见,F =频繁,HCPS =汉坦病毒心肺综合征,HFRS =肾综合征出血热,LAP =淋巴结病,SFTS =血小板减少综合征严重发热,UC =不常见,V =可变 。肺部受累面积百分比:+ = 10%–25%,++ = 25%–50%,+++ = 50%–75,++++ =大于75%。
*主要传播途径列在首位。
†尚无确诊的博卡病毒性肺炎或腮腺炎累及肺部CT表现。
Koo H J , Lim S , Choe J , et al. Radiographic and CT Features of Viral Pneumonia[J]. Radiographics, 2018, 38(3):719-739.
图片
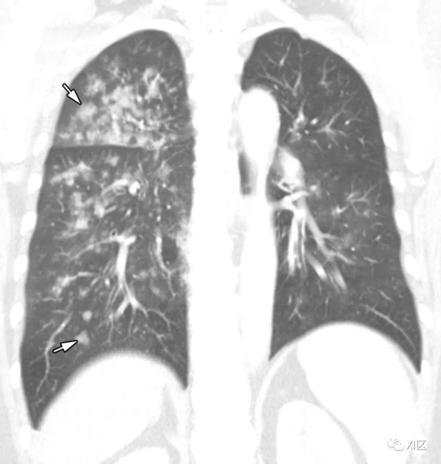
图4 水痘-带状疱疹病毒引起的肺炎显示多灶性1-10毫米清晰或不清楚的结节状阴影(箭),两肺周围有晕或斑片状GGO(箭头)。
图片
图5 由巨细胞病毒引起的肺炎表现为弥漫性不明确的斑片状GGO,两肺小叶间隔增厚(箭头)。
图片
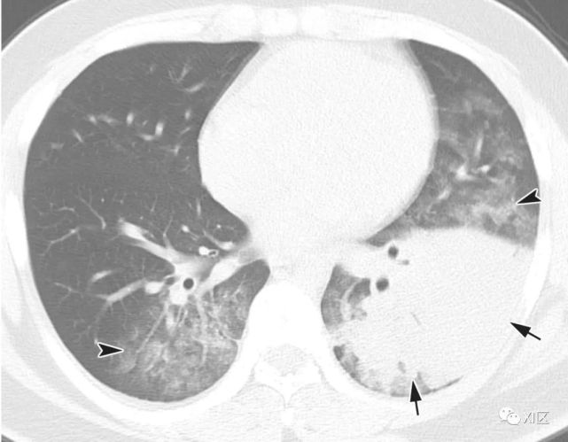
图6 由HMPV引起的肺炎在两肺的支气管血管束上显示多个不明确的结节(箭)或GGO(箭头)。这些发现与HPIV肺炎相似,属于同一病毒科。
图片
图7 甲型流感病毒引起的肺炎表现为沿支气管血管束的多个不规则的实变区(箭)和弥漫性GGO(箭头),两肺小叶间隔增厚。
图片
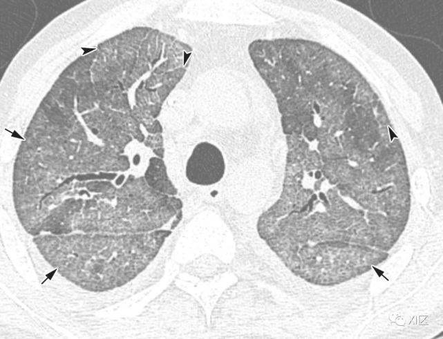
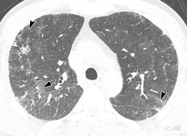
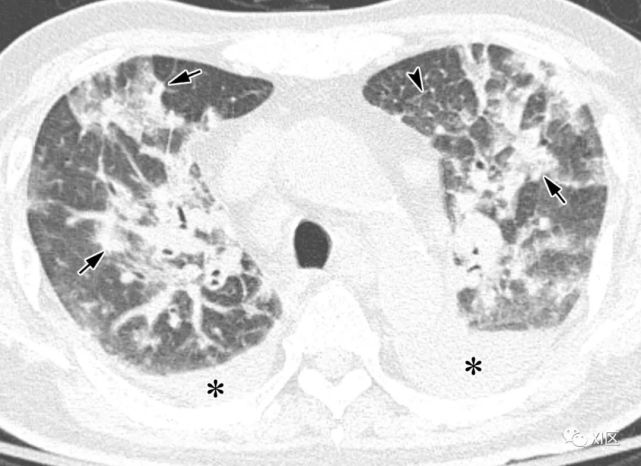
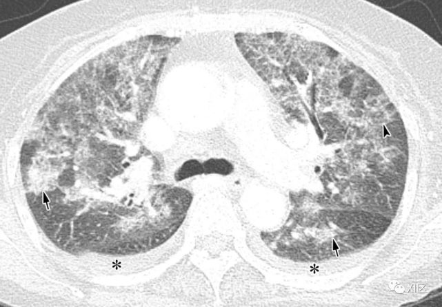
图7 由鼻病毒引起的肺炎显示多个边界不清的GGO斑片状区域(箭),两肺小叶间隔增厚(箭头)。
图示为典型的病毒性肺炎的CT表现。
Koo H J , Lim S , Choe J , et al. Radiographic and CT Features of Viral Pneumonia[J]. Radiographics, 2018, 38(3):719-739.
腺病毒科(Adenoviridae)
1.人腺病毒(Human Adenovirus)
腺病毒是一种双链DNA病毒,有50多种血清型,占儿童呼吸道感染的5%-10%。它能引起呼吸道上皮细胞溶解并影响末端细支气管。有咽炎、喉气管支气管炎、细支气管炎或支气管肺炎的患者。在大多数免疫功能正常的患者中,腺病毒肺炎轻微,与上呼吸道症状有关,并在2周内解决。单核细胞减少、多叶浸润和胸腔积液与免疫功能正常成人的呼吸衰竭有关。
腺病毒性肺炎表现为双侧多灶性GGO伴斑片状实变影,并可能显示类似细菌性肺炎的支气管肺炎征象(肺叶或节段性分布)。过度充气和肺叶不张在婴儿和儿童常见。腺病毒的长期后遗症,包括支气管扩张、闭塞性细支气管炎和单侧透明肺综合征(Swyer-James-Macleod)。
图片
图片
图片
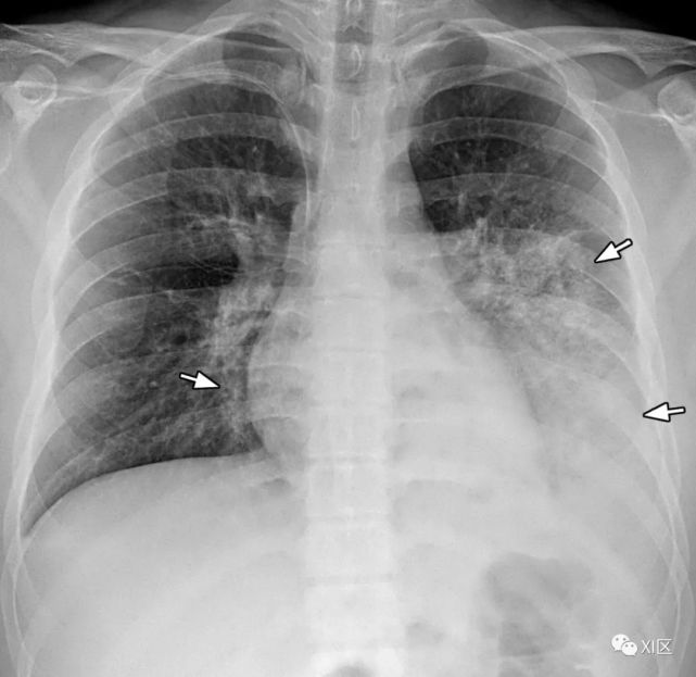
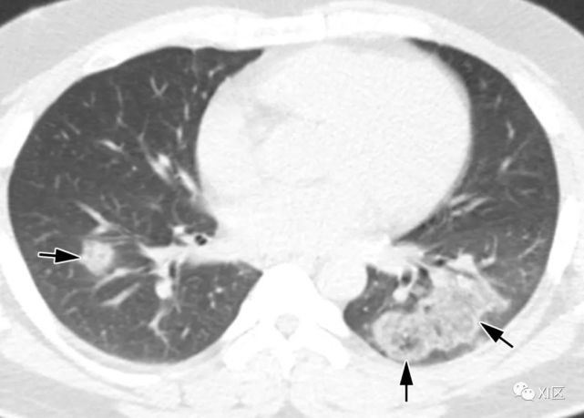
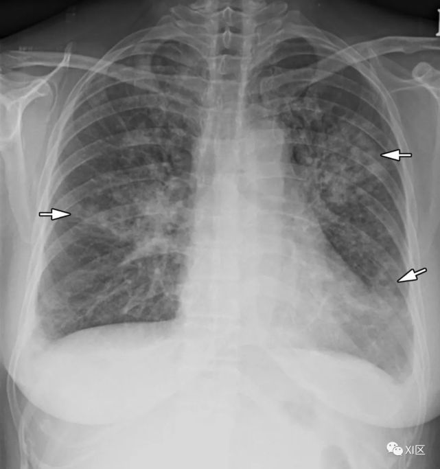
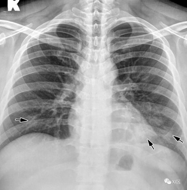
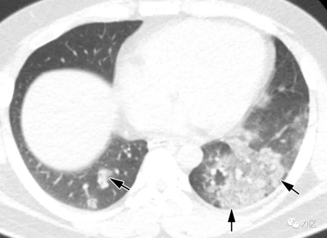
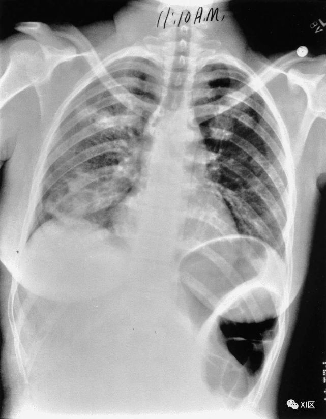
图8 20岁男子因腺病毒感染引起肺炎,伴有发热、咳嗽和呼吸困难。
(上) 最初的胸片显示左中下肺和右下肺区有不明确的斑片状实变和GGO(箭头)。同一天在叶间支气管水平(中)和肺下静脉水平(下)上获得的轴位胸部CT图像(厚度为5mm)显示不明确的斑片状GGO(箭头)和大叶实变(箭)。
Koo H J , Lim S , Choe J , et al. Radiographic and CT Features of Viral Pneumonia[J]. Radiographics, 2018, 38(3):719-739.
疱疹病毒科(Herpesviridae)
人类疱疹病毒是一种大的DNA病毒,可以引起原发性(急性)或非原发性(慢性或潜伏性)感染。疱疹病毒科在急性感染消退后仍能潜伏在组织中,并能被内外触发物激活。
1. 单纯疱疹病毒肺炎(HSV Pneumonia)
HSV肺炎主要由HSV 1型引起,很少由HSV 2型引起。HSV 1型肺炎在健康人中是罕见的,通常是局限性的,且耐受性良好;然而,在免疫功能低下的患者或其气道因插管、雾化吸入或慢性吸烟而受到创伤的个人中观察到它。
单纯疱疹病毒肺炎在胸片上通常表现为斑片状双侧实变和GGO,呈小叶、节段或亚节段分布。网状影也可能存在。CT主要表现为多灶节段或亚节段GGO和不占优势的病灶区实变影。胸腔积液常见。是否存在小结节或更大的中央小叶结节是有争议的。然而,结节的存在可能是由于病毒性肺炎本身, 多发性出血结节, 或共存真菌性肺炎。免疫功能正常和免疫功能低下患者的CT表现无明显差异。
图片
图片
图片
图9 72岁多发性骨髓瘤患者单纯疱疹病毒肺炎。
(上) 最初的胸片显示两肺弥漫性网格影(箭头)。在隆突(中)和左下肺静脉水平(下)的轴位薄层(1mm准直)CT图像显示两肺弥漫性间质和小叶间隔增厚(箭头)与斑片状GGO(箭)。发现少量双侧胸腔积液。
Koo H J , Lim S , Choe J , et al. Radiographic and CT Features of Viral Pneumonia[J]. Radiographics, 2018, 38(3):719-739.
2. 水痘病毒(CMV)(α疱疹病毒亚科)
水痘带状疱疹病毒感染(即水痘)通常是儿童的自限性良性疾病。但是,传播的水痘带状疱疹病毒感染可能导致9%–50%的死亡率,而肺炎是最常见和最严重的并发症。
水痘-带状疱疹病毒性肺炎的胸部影像学表现包括多个5-10-mm的不明确结节,这些结节可能融合。肺门淋巴结病和胸腔积液是不常见的,但也可能存在。皮损改善后,小结节一般在一周内消失,但可能持续数周。
图片
图片
图片
图10 53岁的男性因水痘带状疱疹病毒(α疱疹病毒亚科)感染引起的肺炎,在患此病之前5个月进行了肝移植。(上)最初的胸部X线片显示两个肺中都有多灶性网状海绵状浸润(箭头)。在同一天获得的薄层(准直1mm)轴位CT图像(中)和冠状位重建CT图像(5 mm)(下)显示多灶性不明确的小区域结节影( 箭头)在两个肺中均带有GGO晕征。
Koo H J , Lim S , Choe J , et al. Radiographic and CT Features of Viral Pneumonia[J]. Radiographics, 2018, 38(3):719-739.
3.巨细胞病毒(CMV)(β疱疹病毒亚科)
CMV是常见的人类病原体,通常在免疫功能正常的患者中引起无症状感染或轻度流感样症状。但是,由于潜伏病毒的重新激活或输注了CMV血清反应阳性的骨髓或血液制品,它可能在免疫受损的患者中引起危及生命的肺部感染。移植和长期糖皮质激素治疗是重要的危险因素。
主要的影像学表现为双侧不对称GGO、小的边界不清楚的中央小叶结节,含气腔隙实变。也观察到增厚的小叶间隔。然而,相对于非艾滋病患者,肿块和肿块样浸润在AIDS患者中更常见。
图片
图片
图片
图11 28岁男性白血病患者骨髓移植后移植物抗宿主疾病,诊断为CMV病毒性肺炎。
(上) 最初的胸片显示两肺弥漫性GGO(箭头)。在同一天,在较低的气管水平(中)和叶间区水平(下)上获得的轴位薄层(1mm)CT图像显示两个不明确的GGO结节、小叶间隔增厚(箭头)和弥漫性GGO(箭),双侧胸腔积液(下图中)的数量较少。
Koo H J , Lim S , Choe J , et al. Radiographic and CT Features of Viral Pneumonia[J]. Radiographics, 2018, 38(3):719-739.
4. EB病毒(Epstein-Barr Virus;γ疱疹病毒亚科)
也称为人类疱疹病毒4型(HHV-4),EB病毒感染B淋巴细胞和咽上皮细胞。它是通过人与人之间的直接接触在易感个体和那些无症状的EB病毒感染者之间传播的。
最常见的放射学异常是纵隔淋巴结病,很少见到间质浸润和广泛的GGO。脾肿大是常见的。与EB病毒感染相关的淋巴增生性疾病有多种类型,例如淋巴瘤样肉芽肿病,淋巴瘤和移植后的淋巴增生性疾病。
图片
图12 27岁女性,出现疲劳、低烧、贫血和偶尔盗汗。脾切除术后,她出现发烧和干咳。胸片显示右肺下叶有肺浸润。EBV血清学检查阳性。
Marzouk K , Corate L , Saleh S , et al. Epstein-Barr-virus-induced interstitial lung disease[J]. Current Opinion in Pulmonary Medicine, 2005, 11(5):456-460.
细小病毒科(Parvoviridae)
博卡病毒(Bocavirus)是单链DNA病毒,是细小病毒科的成员,于2005年首次从儿童的鼻咽抽吸物样本中分离出来。该病毒通常在怀疑患有呼吸道感染的儿童的鼻咽抽吸物中检测到,常见于多种病毒合并感染。
在下面的案例中,人类博卡病毒的感染胸部X线表现为弥漫性双侧斑片状实变影和GGO,CT上表现为沿着支气管血管束分布的斑片状实变影伴小叶间隔增厚。
图片
图片
图片
图13 63岁的男子,原发性中枢神经系统淋巴瘤化疗后合并发热,诊断为人博卡病毒肺炎
(上)胸部X线片显示两肺均弥漫性不规则斑块状实变(箭)和GGO。在同一天获得的轴位薄层(1mm)胸部CT图像显示,沿着支气管血管束和肺部周边区域出现不规则的斑块状实变(箭),支气管壁增厚,小叶间隔增厚 (箭头),伴有少量双侧胸腔积液(*)。
Koo H J , Lim S , Choe J , et al. Radiographic and CT Features of Viral Pneumonia[J]. Radiographics, 2018, 38(3):719-739.
副粘病毒科(Paramyxoviridae)
1. 人乳头瘤病毒(HPIV)
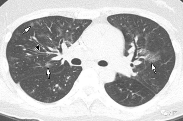
HPIV是单链RNA病毒,是副粘病毒科的成员。HPIV由四种血清型组成,这些血清型通过与呼吸道的纤毛上皮结合而引起呼吸道疾病。HPIV感染的表现是多种多样的,包括中耳炎,结膜炎,咽炎,腮腺炎,支气管炎和肺炎
HPIV肺炎CT表现为多灶性斑片实变影伴GGO,使区分病毒与细菌性肺炎更加困难,约四分之一的患者表现为中央小叶结节伴支气管壁增厚。
图片
图片
图片
图片
图14 一位22岁女性感染前1个月因急性淋巴细胞白血病接受单倍体相合骨髓移植治疗,有发热,诊断为 HPIV病毒性肺炎。
在主支气管水平(上)和叶间区水平(中上)的初始轴位胸部CT图像显示沿支气管血管束和轻度支气管壁增厚(箭头)的多灶性不明确结节性GGO病变(箭)。中性粒细胞减少持续存在。(中下,下)随访10天后获得的轴位胸部CT图像显示病变的范围和强度增加,并沿支气管血管束增加不规则的实变结节(箭)。尽管进行了重症监护,该患者仍然死亡。
Koo H J , Lim S , Choe J , et al. Radiographic and CT Features of Viral Pneumonia[J]. Radiographics, 2018, 38(3):719-739.
麻疹病毒(Measles virus)
麻疹病毒是儿童感染的一个原因。在开发麻疹疫苗之前,许多麻疹患者出现发热、黄斑丘疹、咳嗽、鼻炎或结膜炎。
典型的麻疹肺炎表现为支气管周围结节浸润和网状结节性浸润,小叶间隔增厚;随访CT图像可见纤维化。
图片
图15 27岁男性,HIV患者,高热三天。没有麻疹和免疫史。诊断为麻疹病毒肺炎。入院第11天的胸部CT图像显示双侧异常,包括小叶间隔增厚(肺尖部;B,箭)、支气管壁厚、多发大小不等的结节(分叉部;C,箭)、胸膜增厚(基底部;D,箭),以及弥漫性毛玻璃影,而第8天的胸片显示左肺出现毛玻璃影(A)。麻疹相关性肺炎的明确诊断基于三项发现:(1)体检发现;(2)微生物测试结果;和(3)典型的CT表现。
Takahashi T , Iwamoto A . Measles Pneumonia: Instructive Images by Chest Computed Tomography[J]. Journal of Experimental & Clinical Medicine, 2014, 6(2):72-73.
肺病毒科(Pneumoviridae)
1. 呼吸道合胞病毒(RSV)
人类呼吸道合胞病毒感染导致所有年龄组的毛细支气管炎、肺炎和哮喘;婴儿、幼儿和免疫功能低下的宿主很可能出现严重呼吸道感染。
CT可为病毒性肺炎病原体的鉴别提供线索,尤其是RSV和腺病毒感染。RSV表现为以气道为中心的分布,有树芽征和支气管壁增厚区,有或没有沿支气管血管束分布的实变影。
图片
图片
图片
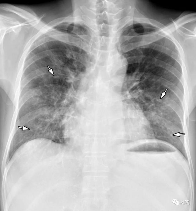
图16 58岁女性急性髓系白血病伴有发热,并发呼吸道合胞病毒肺炎。
(上) 初诊胸片显示双肺多发不规则结节状支气管周围气隙或GGO(箭头),少量双侧胸腔积液。在同一天在较低的气管水平(中)和叶间区水平(下)上获得的轴位胸部CT图像显示多个不规则的结节影和树芽征,沿支气管血管束斑片状实变,支气管壁轻度增厚。
Koo H J , Lim S , Choe J , et al. Radiographic and CT Features of Viral Pneumonia[J]. Radiographics, 2018, 38(3):719-739.
2. 人类偏肺病毒(HMPV)
HMPV于2001年首次发现,病毒结构与RSV相似,可引起上下呼吸道感染。HMPV肺炎占免疫功能正常成人社区获得性肺炎的4%,在冬季流行。免疫功能正常的患者通常在没有死亡风险的情况下康复。
HMPV肺炎的X线表现为多叶浸润。免疫功能正常的HMPV肺炎患者的CT表现尚未见报道;然而,血液恶性肿瘤患者中发现双侧界限不清的小叶中心结节、分支小叶中心结节和GGO。胸腔积液并不常见。
图片
图片
图片
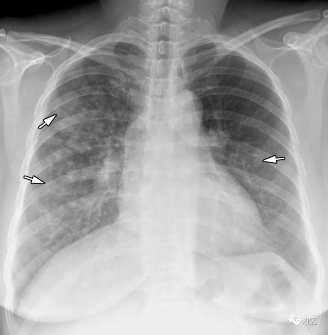
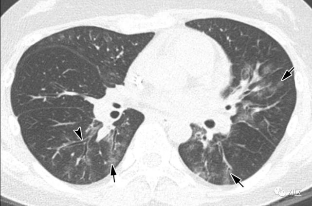
图17 50岁女性,因HMPV引起的肺炎,表现为发烧、咳嗽和咳痰。
(上) 胸片显示右肺多结节性气腔影(箭头)。在同一天获得的薄层(1mm)轴位(中)和冠状位(下)重建(5mm)的胸部CT图像显示沿支气管血管束的多个不明确的中心小叶结节(箭)或GGO(箭头),两肺轻度支气管壁增厚,尤其是右肺。
Koo H J , Lim S , Choe J , et al. Radiographic and CT Features of Viral Pneumonia[J]. Radiographics, 2018, 38(3):719-739.
布尼亚病毒科(Bunyaviridae)
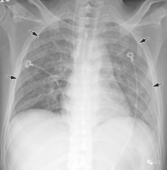
1. 严重发热伴血小板减少综合征病毒(Severe Fever with Thrombocytopenia Syndrome Virus)
最初的胸片可能是正常的,但几天后,双肺浸润显示肺水肿。胸腔积液很常见。
图片
图18 64岁女性,在七月份出现疲劳、呼吸困难和喘息。因慢性阻塞性肺疾病接受了六天的治疗,但她因精神错乱和腹泻转诊入院。入院诊断,严重发热伴血小板减少综合征。胸部CT显示磨玻璃影,提示非心源性肺水肿或病毒性肺炎。这是第一例以呼吸困难和喘息开始的严重发热伴血小板减少综合征。
入院时胸部影像学表现。(a) 胸片显示双侧上肺野对称性浅磨玻璃影(GGOs)。胸部CT扫描也显示(b)双侧上肺野的GGOs和(c)肺气肿改变(箭头)和(d)支气管扩张(箭头)。
Shun Yamashita, Naoko E Katsuki, Masaki Tago, et al. Dyspnea and Wheezing as the Earliest Manifestations of Severe Fever with Thrombocytopenia Syndrome: The First Case Report. Intern Med. 2019 Sep 15; 58(18): 2731–2735.
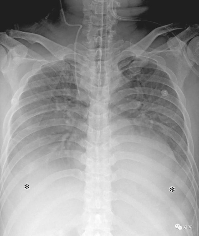
2. 汉坦病毒(Hantavirus)
汉坦病毒心肺综合征特征性累及肺,表现为非心源性水肿引起的呼吸窘迫。经过17-42天的潜伏期后,临床阶段开始于前驱期,并继续到呼吸衰竭和恢复期。临床症状包括干咳和呼吸困难。放射学表现最初通常是正常的,或包含最小的间质水肿。胸腔积液很常见。肺间质性水肿可能很严重,尽管通常是短暂的。一些病历表现为,48小时内迅速发展双肺含气腔隙性实变和暴发性呼吸恶化。这些肺部表现偶尔继发于肾功能衰竭。
图片
图19 52岁男性,汉坦病毒感染,因发烧及急性肾功能衰竭就诊。最初的胸部CT表现正常(未显示)。患者在就诊后1天,突然血压下降,胸片显示肺水肿和双侧胸腔积液(*)。汉坦病毒抗体检测结果为阳性,滴度提高到1:512。进行了强化治疗,病人康复。
Koo H J , Lim S , Choe J , et al. Radiographic and CT Features of Viral Pneumonia[J]. Radiographics, 2018, 38(3):719-739.
正粘病毒科(Orthomyxoviridae)
甲、乙、丙型流感病毒(Influenza A, B, and C)
流感病毒属于正粘病毒科。它们是单链RNA病毒,根据内膜和核蛋白抗原分为三类(甲、乙、丙)。在这三组中,甲型和偶尔乙型微生物引起流感病毒肺炎。流感病毒是引起季节性上呼吸道感染的重要病原体,包括气管和主支气管感染,可引起周期性、地方性和大流行性感染。
流感病毒在呼吸道上皮细胞中复制,在接种到鼻咽后约48小时复制达到峰值。早期常表现为气管支气管炎和中性粒细胞性支气管肺炎。气道壁充血,可见单核细胞浸润和上皮细胞变性。晚期肺实质改变表现为典型的弥漫性肺泡损伤,伴有肺泡内水肿和出血。
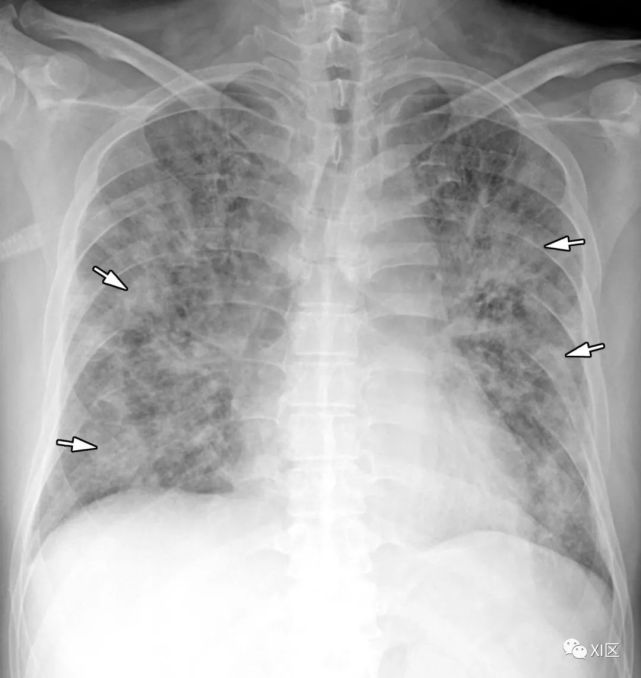
流感肺炎患者的影像学表现为双侧网状结节样阴影区伴或不伴局灶性实变,通常位于下叶。定义不清的斑片状或结节性实变区,迅速融合,表现为弥漫性肺泡损伤或重叠感染,常见于3周内消失继发性细菌性肺炎可发生,尤其是肺炎链球菌感染具有重要的相互作用,可能存在共感染或继发感染。在退热一段时间、白细胞计数增加和放射学异常改变后出现继发性发热时,可怀疑合并细菌感染。小叶实变对细菌性合并感染的诊断尤其有帮助。革兰氏染色、痰培养或支气管肺泡灌洗也是确诊疑似合并感染的有效方法。
图片
图片
图片
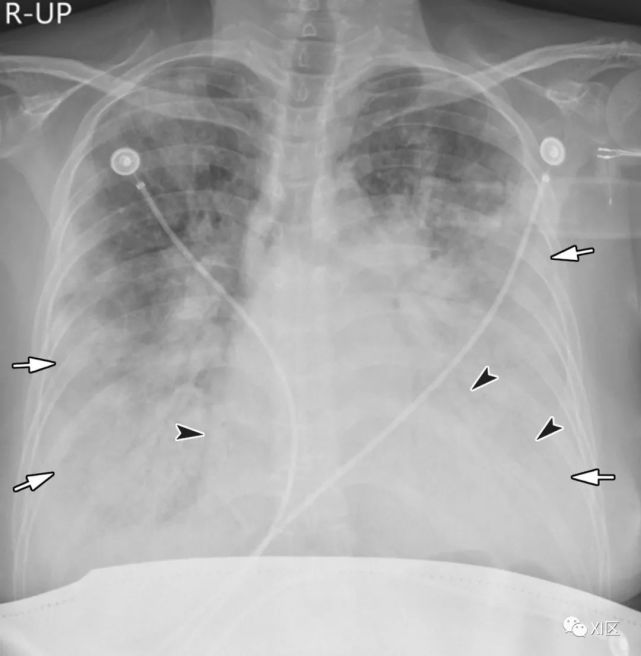
图20 38岁孕妇因甲型流感病毒引致的肺炎,怀孕29周零5天,出现咳嗽及呼吸困难。(上) 最初的胸片显示两肺广泛的斑片状实变(箭),空气支气管征(箭头),特别是在中下肺区。患者进行紧急剖宫产后,对急性呼吸窘迫综合征进行了插管和体外膜充氧。(中) 3周后胸片显示不规则实变强度降低(箭)。(下)在同一天的轴位CT图像显示沿支气管血管束的不规则实变(箭头),弥漫性GGO伴肺小叶间隔增厚(箭头)。对患者进行逆转录聚合酶链反应(RT-PCR)痰、血培养及支气管肺泡灌洗,寻找混合感染的证据。然而,没有证据表明有混合感染。
Koo H J , Lim S , Choe J , et al. Radiographic and CT Features of Viral Pneumonia[J]. Radiographics, 2018, 38(3):719-739.
禽流感是由甲型流感的H5N1亚型引起的,甲型流感(H5N1)的总体病死率高达60%,并且在香港已经爆发。禽流感最常见的影像学发现是多灶实变。报告的CT检查结果包括局灶性,多灶性或弥散性GGO和实变区域。小叶中心结节、假空泡、气囊肿形成和淋巴结病变也常见。在疾病过程中,还会出现胸腔积液和空洞现象。患者通常表现为快速进行性肺炎,导致急性呼吸窘迫综合征。
图片
图21 H1N1病毒肺炎HRCT表现。(上)两肺上叶的实变和磨玻璃影。(下)下叶有实变和磨玻璃影,病变周围分布。
Brandao A V , Souza R R , Menna B M , et al. Influenza A (H1N1) pneumonia: HRCT findings[J]. Jornal Brasileiro de Pneumologia, 2013, 39(3):323-329.
冠状病毒科(Coronaviridae)
人类冠状病毒被认为是引起小儿,老年和免疫功能低下患者感染的重要病原体,包括上,下呼吸道感染(肺炎和细支气管炎),甚至是急性呼吸窘迫综合征。
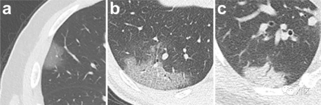
1. SARS冠状病毒(SARS Coronavirus)
2002年至2003年期间,在广东首次发现了全球爆发的SARS冠状病毒。确认感染的病例超过8000例,其中21%发生在医护人员中。
SARS的放射学特征与其他社区获得性肺炎相似。最初的胸片是正常的,但很快显示出多病灶含气腔隙实变影,主要是在肺下部。在大多数患者中,外周肺受累常见。单病灶受累较多灶或双侧受累更常见。CT图像主要表现为GGO合并实变影,两周后出现网状结构影。空洞、淋巴结肿大或胸腔积液不常见。
图片
图22(a) 28岁女性SARS患者入院时胸部HRCT表现为左肺基底部磨玻璃影,小叶间隔平滑增厚(箭头)。(b) 39岁男性SARS患者入院后2周HRCT表现为不规则网格状影,叠加在磨玻璃影(白色箭头)、纵隔气肿(黑色箭头)和外科肺气肿(黑色箭头)上。(c) 入院5周后获得的(b)中所示同一患者的HRCT显示,两个上肺叶的持续网格状影(白色箭头)与支气管扩张(白色箭头)相关。
Gaik OOI, Ma DAQING. SARS: radiological features[J]. Respirology, 2010, 8(s1):S15-S19.
2. MERS冠状病毒(MERS Coronavirus)
MERS冠状病毒是β冠状病毒的新成员,与SARS和其他地方性人类β冠状病毒(例如OC43,HKU1)不同。2012年9月在沙特阿拉伯利雅得发现了第一例。
临床症状类似于其他下呼吸道疾病,包括发烧,咳嗽,呼吸困难和肺炎。感染可能迅速发展为急性呼吸窘迫综合征,多器官衰竭和死亡。与SARS相比,MERS更快地发展为呼吸衰竭,并引起急性肾脏损伤。
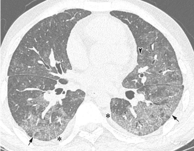
MERS肺炎CT上表现为胸膜下和基底部含气腔隙病变,伴有广泛的GGO和实变影。空洞并不常见。对于与MERS冠状病毒患者有密切接触史的患者,出现淋巴细胞减少合并外周GGO的早期胸部影像学表现,需怀疑可能是MERS冠状病毒感染。与恢复正常者相比,胸腔积液和气胸在死亡患者中更多见。恢复后,这些异常表现明显改善,但纤维化变化仍存在。
图片
图片
图片
图片
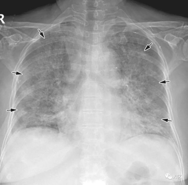
图23 27岁男性,出现咳嗽和咳痰,诊断为MERS冠状病毒引起的肺炎。(上)最初的胸片显示,在下肺的两个区域,特别是在左心后区域,结节影(箭)区域增加。同一天在右下肺静脉水平(中上)以及右心房和下腔静脉交界处(中下)的冠状位重建图像(3mm) 椎体水平的图像(下)显示了两下肺叶的多发斑块状和结节样实变和GGO(箭头)。
Koo H J , Lim S , Choe J ,et al. Radiographic and CT Features of Viral Pneumonia[J]. Radiographics, 2018, 38(3):719-739.
3. COVID-19新型冠状病毒
2019年12月以来,湖北省武汉市部分医院陆续发现了多例有华南海鲜市场暴露史的不明原因肺炎病例,现已证实为2019新型冠状病毒感染引起的急性呼吸道传染病。2020年2月11日,世界卫生组织总干事谭德塞在瑞士日内瓦宣布,将新型冠状病毒感染的肺炎命名为"COVID-19"。随后,国际病毒分类学委员会宣布这种病毒的英文名为"SARS-CoV-2"。
图片
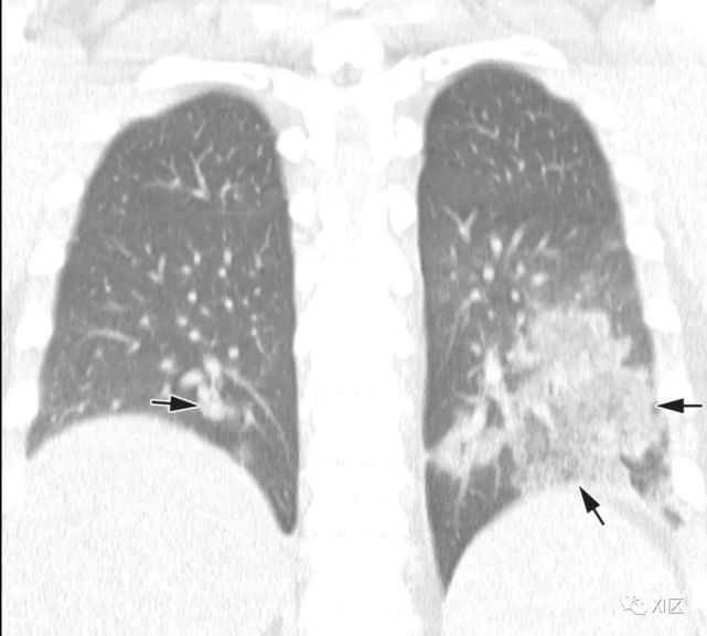
图24 COVID-19型肺炎的胸部CT表现(a) GGO;(b)疯狂铺路模式(GGO伴小叶间和小叶内间隔增厚);(c)实变。所有图像都具有相同的窗位-600HU和窗宽1600HU。
Feng Pan, Tianhe Ye, Peng Sun, et al. Time Course of Lung Changes On Chest CT During Recovery From 2019 Novel Coronavirus (COVID-19) Pneumonia. Radiology. Published Online: Feb, 13, 2020. https://doi.org/10.1148/radiol.2020200370
图片
图25 47岁女性COVID-19肺炎患者持续发热(38.8°C)3天的典型CT表现演变。(a) 在第3天时,在右下叶显示一个小的胸膜下GGO合并部分实变区;(b)第7天,GGO扩大区合并部分实变的小叶间和小叶内间隔增厚(疯狂铺路模式);(c)第11天,初始GGO的部分实变,新的胸膜下实变区;(d)第20天,观察到残留GGO和实质条带的持续吸收。所有图像都具有相同的窗位-600HU和窗宽1600HU。
Feng Pan, Tianhe Ye, Peng Sun, et al. Time Course of Lung Changes On Chest CT During Recovery From 2019 Novel Coronavirus (COVID-19) Pneumonia. Radiology. Published Online:Feb, 13, 2020. https://doi.org/10.1148/radiol.2020200370
(微)小核糖核酸病毒科(Picornaviridae)
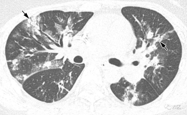
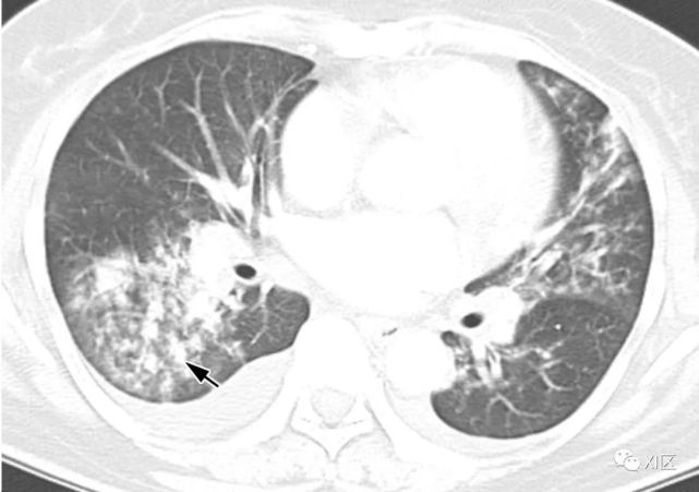
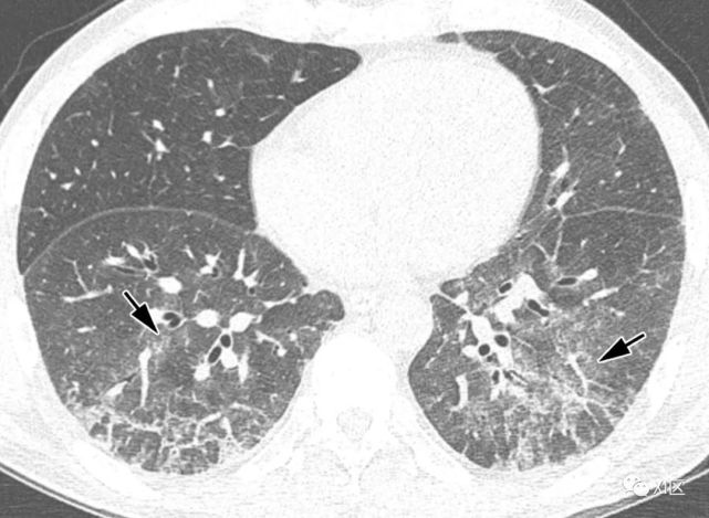
1. 鼻病毒A,B和C(Rhinovirus A, B, and C)
人类鼻病毒是呼吸道感染的主要病原体,在18%–26%的小儿患者和2%–17%的成年患者中有社区获得性感染性肺炎。鼻病毒是四季普通感冒的主要原因,但在春季和秋季更常见。在人鼻病毒A(18.6%),人鼻病毒B(21.4%)和人鼻病毒C(20.0%)之间,重症肺炎的发生率没有差异,院内死亡率也无显着差异。细菌合并感染并不常见(18.5%),且少于流感。
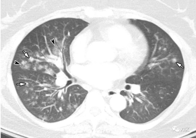
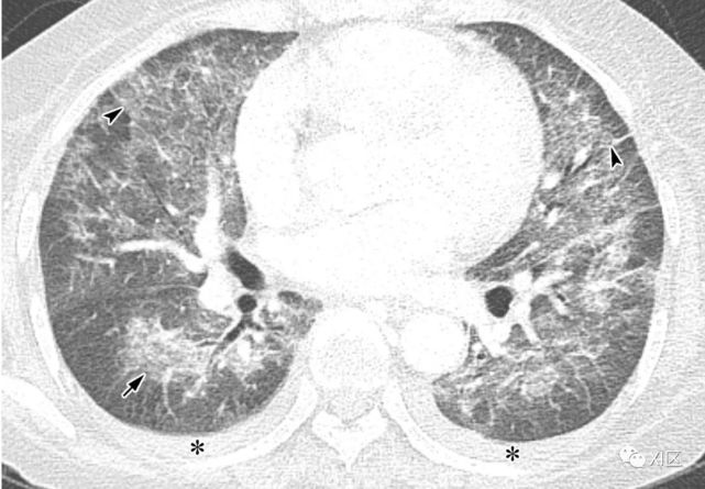
在需要进入重症监护室的重症肺炎患者中,人鼻病毒是最常见的病毒病原体。在重度鼻病毒性肺炎患者中,注意到双侧斑片状实变伴多灶性GGO和小叶间隔增厚
图片
图片
图片
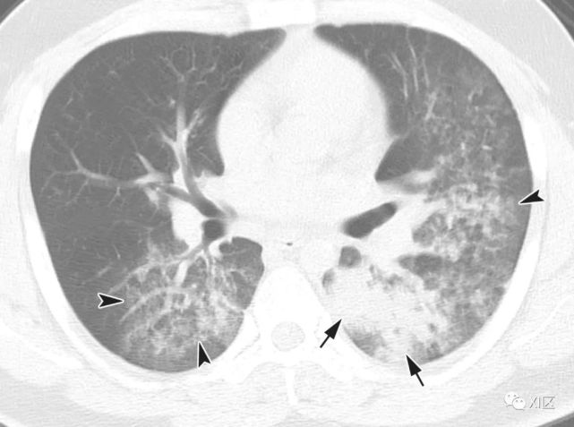
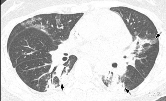
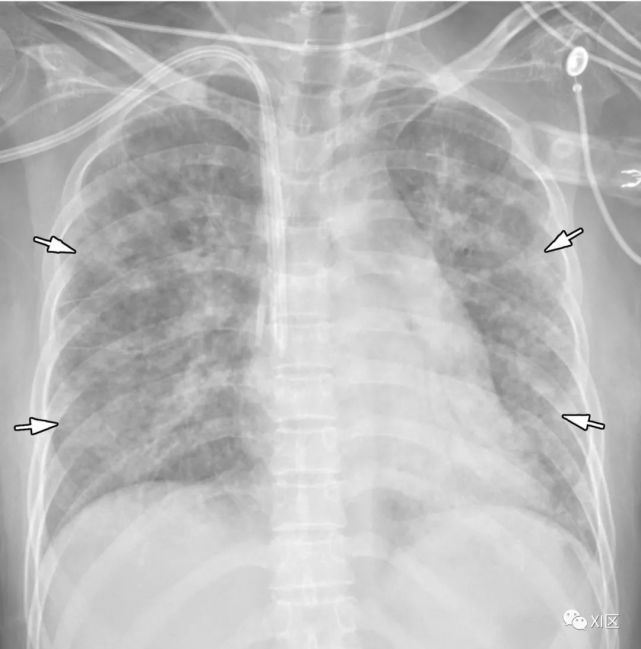
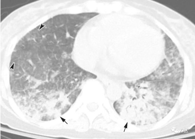
图26 51岁的急性髓细胞性白血病患者,因鼻病毒引起的肺炎,在骨髓移植后3个月出现呼吸困难。
(a)最初的胸部X线照片显示两个肺部均出现不规则的,不明确的斑片状不透明性增加(箭头)。 (b,c)同一天在较低气管水平(b)和两个较低肺叶基底节段(c)上获得的轴向CT图像显示不透明区域不透明,小叶间隔增厚(箭头)和不明确的斑块状GGO( 箭头)。
51岁急性髓系白血病患者,骨髓移植后3个月出现呼吸困难,因鼻病毒引起肺炎。(上) 最初的胸片显示两肺不规则的模糊斑片状不透明度增加(箭头)。在同一天的较低气管水平(中)和两肺下叶基底段(下)轴位向CT图像显示两肺不规则的不透明度增加区域,肺小叶间隔增厚(箭头)和不明确的斑状GGO(箭头)。
Koo H J , Lim S , Choe J , et al. Radiographic and CT Features of Viral Pneumonia[J]. Radiographics, 2018, 38(3):719-739.
本文主要编译自:Koo H J , Lim S , Choe J , et al. Radiographic and CT Features of Viral Pneumonia. Radiographics, 2018, 38(3):719-739.