AI 测温、无人机喊话、机器人防疫,科技抗疫超硬核!

图片
作者丨小LV
本文经授权转载自猎云网(ID:ilieyun)
随着各地各单位陆续复工,疫情防控阻击战也迎来关键时期。今天传来的好消息是,湖北之外的新增病例8连降。
据统计,2月3日以来,相关数据一路下降,从890、731、707、696、558、509、444、381,直至2月11日的377,降幅近60%。在前线,除了医护人员在日夜奋战外,各个科技公司派出的“奇兵”也在24小时工作中。
在高速路口、主干道路,无人机通过喊话系统和红外测温系统进行交通疏导、大范围排查,配合陆地指挥人员高效完成工作;在高铁站等交通枢纽,AI测温系统正严阵以待,在保证人流密集通过时,筛查出体温异常人员,大大减轻手工测温的劳动强度;回到社区,人们可以通过远程问诊自查身体状况;在医院或隔离区,无人配送机器人承担起物资、食物运送的工作……
从交通疏导、社区防控到物流配送、疫情预测等领域,大数据、人工智能在这场抢占时间的“战役”中发挥出重要价值。
AI测温驻守闸口,即走即测快速筛查
对于新型冠状病毒肺炎,“发热”症状是筛查和判别感染人群的重要参考指标。春节过后,火车站、机场、地铁等场所则成为防控疫情输入的第一道重要关口。
在这些人流密集区域,为了解决传统体温检测人工成本大、测量效率低、预警响应慢等弊端,降低行人近距离接触被传染的风险,多家科技公司利用相关技术产品参与到疫情防控中来。
图片
2月2日,北京北部新的综合交通枢纽清河火车站,率先落地应用了百度AI多人体温快速检测解决方案。
这项技术基于人脸关键点检测及图像红外温度点阵温度分析算法,可以对一定面积内乘客的额头温度进行检测,即便是佩戴帽子和口罩也能够快速筛查。
1分钟内可以实现逾200人同时通过单通道,实现体温检测,乘客几乎不用停留,避免了人员拥挤。
此外,如旷视科技AI测温系统、商汤科技的“AI智慧防疫解决方案”、澎思科技“智能无感人体测温系统”、深醒科技“AI疫情应急大数据一体化智能测温预警解决方案”也陆续在地铁、火车站、机场等公共场所上线。
其中,旷视科技AI测温系统已经在海淀政务大厅和海淀区部分地铁站展开试点应用。系统对于戴口罩遮挡进行了专项模型优化,即使在口罩、帽子大面积遮挡人脸的情况下,系统也能快速筛查通行人群,温度识别误差在±0.3℃。
图片
旷视科技AI测温系统显示端
商汤AI智慧防疫解决方案,可快速在人群中自动检测到体温超过37.3°C的人员,产生声光、弹窗提醒,工作人员可进一步使用医用体温计做二次测量后,在智能管理系统中做复核确认。
这个模块的应用满足了疫情防控初步筛选疑似患者标准,提高行人体温筛查效率,并保障正常的通行速度。其非接触式的测温方式,还可降低交叉感染的风险。
图片
商汤AI智慧防疫解决方案的区域通行模块
在目前确诊及疑似患者中,部分人员刻意隐瞒行动轨迹,这将对疫情防控工作带来极大阻碍。作为步态识别领域AI创业公司,银河水滴近日对其步态识别互联系统“水滴慧眼”升级。
这套解决方案具备步态检索、步态比对功能,可以快速得出被检测人的行动轨迹。并且,还能与其他防控措施如前面提到的AI测温相结合。
图片
一旦确定体温异常,“水滴慧眼”可以快速对该人进行画像,展开行动轨迹追踪,为切断传播链争取宝贵时间。
足不出户,一键开启社区防控
为了应对线上针对新型冠状病毒感染肺炎的问答,方便居民及时应对疾病感染,阿里巴巴达摩院1月28号推出了一款“智能疫情机器人”,为浙江省新型肺炎公共服务与管理平台提供服务。
仅在上线第一天,其网上智能问诊服务对用户咨询的解决率就超过92%。
在该平台中,用户可以选择“主动申报与疫情线索提供”、“ 浙江省互联网医院新型肺炎通道”、“网上智能问诊与人工服务”等服务。
基于语音识别、自然语义理解等人工智能技术,机器人可以针对疫情问题、就医注意、防护措施予以解答。
对于正常用户、轻症用户来说,人工智能可以起到一定的答疑作用,避免医疗资源紧缺以及交叉感染的风险。
此外,一直专注于AI人工智能医疗的左手医生也针对此次疫情快速推出了 “肺炎筛查”、“预问诊”和“居家隔离指导”三项功能。
据了解,这三款产品都是在左手医生原有AI产品上的升级。例如,肺炎筛查是在左手医生智能导诊和自诊的基础上升级的产品。
在患者端,当用户出现发热、咳嗽、乏力、腹泻等疑似症状时,可登陆左手医生小程序,使用肺炎筛查进行判断。它会模拟医生问诊过程,最后给出相关结论以及诊疗建议和居家指导。
图片
登陆左手医生小程序,可使用肺炎筛查进行初步自我筛查
另外,这款产品还结合医院需求,迅速升级为医院版,作为医生线上接诊患者的前置模块,大大减轻了人力,快速提升了医生效率。
目前,国内有80多家医院包括华中科技大学同济医学院、武汉市中心医院、武汉市第一医院、宜昌市中心人民医院、南京鼓楼医院、贵州医科大学附属医院、成都市第三人民医院等微信公众号或小程序都上线了左手医生这款“肺炎筛查”功能。
在预问诊上,左手医生则是修改、补充了医院发热门诊科室的问诊逻辑,围绕是否是新冠状肺炎、严重程度等对患者展开询问,帮助医生提前采集患者病情,在特殊时期提升医院端端接诊效率。
图片
武汉市中心医院小程序上线了左手医生“肺炎筛查”功能
左手医生CEO张超告诉猎云网,此次疫情中,系统发现了大量疑似人员需要居家隔离,对于这一情况,左手医生面向医院端的产品中还升级了“专病管理”——在原本由AI助理辅助医生完成智能随访、患者自我管理的基础上,针对新冠状肺炎为大众提供14天的隔离指导。
隔离时期内,AI助理会采集患者信息,包括病情、体温、身体状况等信息,一方面上报给管理人员;另外,基于肺炎筛查功能分析居家隔离者的病情并给出相应的指导方案。居家人员也可以通过这个产品自行获得相关知识,并联系管理医生获得相应的服务。
图片
智能导诊帮助医生提前采集患者病情,提升医院端端接诊效率
“我们5号刚刚完成一个新场景的上线,就是利用AI技术帮助社区人员进行疫情防控工作。我们把新冠肺炎筛查、预问诊、居家隔离指导三个产品整合成一整套方案,面向社区人员进行赋能,帮助社区人员更好地了解所在辖区居民的健康状况,支持他们网格化、地毯式管理。”张超表示。
现阶段,“入网入格入家庭”是当前社区防控工作的重中之重,也是防止疫情扩散的重中之重。
以上海徐汇区的虹梅街道为例,其辖内有超20个居民小区数万居民,同时还密集分布着20多个园区共计超4000家企业。来自街道工作人员的反馈,目前街道每天至少需完成上千个电话的人员排查与信息采集量。
随着复工及返城人员流动,社区人员多、情况杂,仅通过居委会电话或挨家挨户走访,势必会给疫情防御工作带来挑战。
针对这一情况,云知声2月4日正式在虹梅街道率先上线了“疫情防控机器人”。
图片
云知声技术人员在调试智能防疫机器人产品
“疫情防控机器人”能够进行批量一对一电话呼叫,可定向发起拨入社区居民电话。通过多轮对话的方式,自动采集与确认居民疫情相关信息,包括个人身份信息、近期活动区域、接触人群、近期症状等,并自动生成反馈统计结果。对于重点防控对象还可实现自动标记,排查效率较人工提升数百倍。
截止目前,云知声“智能防疫机器人”已实现坐席90路并发,平均每通2.5分钟(包含用户振铃、失败重呼、线路异常等),一天打满10小时,呼叫量最高可达25800通。相比之下,人工每天八小时拨打电话的上限在200通左右。
系统已在北京海淀区西三旗街道、上海徐汇区、厦门湖里区金山街道、泉州安溪县、三明尤溪县等多个地区、街道上线提供服务,接通率最高超过90.28%。
AI影像系统智能诊断,3秒完成定量分析
当前,新型冠状病毒性肺炎的疫情防控难点之一就是医疗资源高度短缺,尤其是医疗诊断这部分,短时间内的爆发式就诊需求难以实现快速精准诊断和分诊。
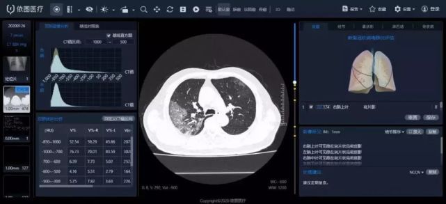
依图科技与上海市公共卫生临床中心(以下简称“公卫中心”)开发的新型冠状病毒性肺炎智能影像评价系统,近日在公卫中心上线。
图片
“新型冠状病毒性肺炎智能评价系统”界面
这套系统实现了对新型冠状病毒性肺炎CT影像的智能化诊断与定量评价,可以对局部性病灶、弥漫性病变、全肺受累的各类肺炎疾病严重程度进行分级,精确测算出疾病累计的肺炎负荷,有助于临床判断病情。
相比传统手工勾画ROI的5~6个小时,它只需要2~3秒就能完成定量分析,提升精准定量分析的效率。
目前,这套系统也已经驰援武汉协和、武汉大学人民医院、武汉大学中南医院、温附一等医院。依图方面表示,疫情结束前,还将对定点收治医院免费升级部署。
此外,深睿医疗的两套Dr.Wise肺部疾病智能解决方案(新冠肺炎增强版)系统及整套设备,也投入湖北省黄冈市中心医院新院区(大别山区域医疗中心)和荆州市第二人民医院季家台分院,帮助医生进行新型冠状病毒感染肺炎的影像诊断。
图片
工作人员正在调试Dr.Wise肺部疾病智能解决方案及整套设备
该系统是在原有的全肺AI辅助诊断系统的基础上,对新型肺炎的筛查功能进行了专门强化,可以针对各类原因导致的肺炎CT影像进行快速检测,也可帮助新冠肺炎的早期影像进行大规模病例筛查,及时发现潜在患者。
配送机器人“奔赴”隔离区,减少“人与人”接触频次
隔离病人和疑似患者人数持续增加,医护人员面临着体力和精神上的巨大挑战,加速消耗的医疗物资也纷纷告急。为了尽可能减少个体接触、降低交叉感染的可能性,配送机器人纷纷“出战”,成为此次疫情中的一群“奇兵”。
1月27日,猎豹移动将两台智能机器人送到了接诊压力巨大的北京大学首钢医院。其中一台智能服务机器人能够实现无人导诊,自动响应发热问诊、引领病人及初步诊疗,并可实现医生对病人的远程诊疗。
另一台智能递送机器人由自主导航模块及运输箱体组成,可根据医院需求分别执行递送化验单、药物等工作。
图片
猎户星空医疗服务机器人在北京大学首钢医院服务
此外,猎豹移动旗下猎户星空还向武汉火神山医院捐赠了智能递送服务机器人豹小递,它将根据医院需求分别执行递送化验单、药物等工作,减轻医务人员的工作量,避免医护人员在递送路上感染的可能。
截至目前,猎豹移动智能疫情防控机器人解决方案已驰援北京大学首钢医院、北京市海淀医院、武汉火神山医院、郑州版“小汤山”医院等。同时,针对人流密集场合的体温检测机器人也已推出。
1月29日,来自赛特智能的两台医院智能配送机器人“平平”“安安”在广东省人民医院感染内科上岗,据赛特智能联合创始人李睿向猎云网介绍,感染内科病房住的都是已经确诊或者高度疑似的新冠病毒肺炎患者。
在机器人未部署之前,由于隔离区污染程度过高,医护人员每进入一次都要消耗一整套已经十分紧缺的防护服物资,如果为了节省物资而减少进入的频次,就难以做到药物的按时送达和污物的及时清理,这些因素都会加重患者的病情发展。
图片
赛特智能配送机器人在广东省人民医院感染内科
在这里,智能机器人承担起送药、送餐进隔离区以及回收被服和医疗垃圾的工作。它们分工明确,通过控制中心智能调度即可实现自主开关门、自主搭乘电梯、自主避障、自主充电等功能,无需人员操作,极大地减少了医护人员进入隔离区的频次,起到较好的隔离保护作用。
李睿对猎云网表示,实际运行效果测算,每台机器人可替代三名配送员的工作量。此外,由于机器人内部有自动消毒净化功能,外壳材质也是用抗腐蚀的医疗材料制成,只需用酒精喷洒或消毒巾擦拭十几秒即可完成消毒。
图片
目前,赛特智能已捐赠出一批智能机器人,并由工程师组成先锋队“奔赴”武汉市汉口医院、武汉大学中南医院、以及即将建成的雷神山医院,辅助前线医护人员抗击疫情。
1月28日,擎朗智能在两天内为杭州市委党校8层重症隔离区部署了16台送餐机器人PEANUT,通过它们代替人工提供全自主免接触三餐配送服务。工作人员只要在三餐时间段将餐食放置在机器人的三层托盘上,就会自主配送到达指定的房间门口。
图片
擎朗智能技术工程师现场部署
擎朗智能CEO李通对猎云网表示,当到达被隔离人员住房门口时,机器人会自主追踪房间,通过声音提醒,取完餐之后,机器人会自主感应进而继续执行任务,无需按键操作,增加感染风险。
截至2月3日,擎朗智能又陆续向杭州、上海等地的隔离区集结数十台送餐机器人,专项用于疫情期间的三餐及水果、矿泉水、药品等生活必需品的免接触配送服务。据悉,杭州市委党校第一批被隔离人员目前已解除隔离回到家中,擎朗智能送餐机器人PEANUT又将奔赴复旦大学附属华东医院继续上岗。
此外,来自深圳的创业团队普渡科技,也陆续将其自主研发的送餐机器人投入到隔离医院或隔离酒店的运行当中,进行送餐、送药、送水或者相关物品。
原本送餐到达后,需要收件人员点击屏幕的完成才会返回原点。为了让患者尽量少接触机器人,收件人无需点击屏幕,停留半分钟后直接配送下一间房或者回到护士站,将传播的可能性再次降低。
图片
截止2月4日,普渡科技已将63台机器人产品部署在浙江的杭州、绍兴、湖州、宁波、温州,广东的深圳、广州,重庆,四川,湖南,江西,湖北的咸宁赤壁、黄冈、武汉等地区。
医院之外,京东物流智能配送机器人也在2月6日承载起京东物流武汉仁和站与武汉第九医院之间的物资配送工作。
图片
据京东物流X事业部相关负责人介绍,武汉第九医院是武汉市收治新型冠状病毒感染肺炎的定点医院,也是本次疫情核心区域的核心。因此,相隔仅600米的京东物流武汉仁和站就成了第九医院医疗物资运输的重要站点。
图片
接下来,为了实现智能配送常态化,京东物流还将从各地抽调配送机器人驰援武汉。
此外,疫情防控特殊时期,一清创新也在山东淄博派出了无人车,为部分地区居民配送蔬菜,保障居民生活所需。
据悉,一趟无人车最多能放下75个箱子,每个箱子承重20斤。从蔬菜中转站出发,工作人员把蔬菜放到无人车上之后,通过手机App下单,无人车就能通过自主避障和路径规划,完成点对点无人物流运输。目前,无人车平均每车全天候安全运营1万公里。
图片
一清创新的无人车适用于疫区场景下的非接触配送
接下来,一清创新还与深圳部分医院达成协议,将在医院封闭区域内承接物资配送任务,实现后勤仓库、病房、医生办公室以及垃圾站等场所的物资运输。
无人机空中巡检,大数据预判疫情“走向”
在后期督导和监测过程中,众多科技公司也根据自身的技术优势发挥智能化、大数据的价值。
在交通疏导部分,多旋翼无人机系统研发商科比特航空就通过自主研发的无人机在进城等重要交通枢纽地区,担任起“空中交警”。
图片
不仅能高空“喊话”,提醒车主提前做好入城相关信息登记,进行人车引导。还能进行群体测温,其体温测量的误差仅0.1摄氏度、人数统计准确率达98%。
科比特创始人卢致辉表示,从大年初一开始,团队经过7天的突击研发,完善了一套针对此次疫情的全新无人机解决方案。
具体过程中,通过无人机的高清摄像头进行城区大范围巡查,并通过图像实时识别,精确显示每个位置的人群数量,设定安全值。对于区域人群聚集,无人机自动靠近人群上空,采用高精度红外测温,对所有人进行在线测温。确定无发热异常后,再进行喊话驱离,督促人群散开。
图片
科比特无人机在空中实时检测行人热力图
与传统靠人力逐一排查相比,科比特的无人机解决方案能大量节约人力,缓解目前人员紧张且容易感染的情况,同时准确度更高。
据创始人卢致辉向猎云网介绍,通过科比特无人机在交通枢纽的空中引导,让原本道路的通行时间减少了4~5个小时,工作效率是人工的20倍。
图片
科比特无人机进行巡逻、防疫宣传
在乡镇地区,原本需要10辆车宣传督导,只需要一架无人机就能覆盖整个村镇,并且,对于车辆难以深入地区,也能进行较好的监测。
目前,这套“空中+地面”抗疫的无人机解决方案已成功在广东肇庆、汕头、佛山,江西赣州,浙江嘉兴、湖南长沙、上海、甘肃临夏州等地区开展作业,从年前日至2月8日,科比特航空共出动100多位小伙伴,200多台(套)作业设备。
另一方面,为了帮助人们更快、更好、更精确地了解疫情发展趋势、峰值时间、峰值数量等,辅助政府部门、医护工作者及广大社会群体对各项事务开展合理计划与安排,摄星智能通过持续对网络上涌现的各类历史数据进行爬取、汇总、分析、拟合,利用AI算法对经典传染病模型进行细化、调参、优化,设计出可实时更新的疫情峰值预测模型与查询软件。
并在2020年2月3日下午3点面向公众开放访问链接,提供最近一个月的肺炎疫情预测数据。
图片
以2020年2月10日疫情数据为例,摄星智能研发的新冠肺炎疫情预测软件前一天预测该时间的确诊人数为42814人,实际确诊人数为42638人,误差率仅为0.4%。后续,软件还将根据数据变化情况不断调整算法、优化模型,提供更加智能、精准的预测。
【End】