图文版:细菌对人类有什么作用?为什么要勤洗手、戴口罩?

最近一段时间,武汉肺炎成了全国人民关注的焦点。肺炎是怎么回事?细菌和病毒是如何感染人体的?反正春节在家里哪也去不了,不妨咱们多花几期节目来仔细讲讲这些问题。今天先来讲第一期:细菌。在第二期,我们再来讨论现在的新型冠状病毒。
点击视频,了解一下
1
细菌的发现
十七世纪的时候,荷兰市政厅有一个看门人列文虎克,因为工作非常清闲,就在业余时间磨制镜片做显微镜。他制作了许多可以放大两三百倍的显微镜,用来观察生活中各种稀奇古怪的东西。
图片
安东尼·菲利普斯·范·列文虎克
Antonie Philips van Leeuwenhoek
比如,列文虎克曾经观察了一个不刷牙的老人的牙垢,结果发现牙垢中有许许多多的“小动物”,后来人们才发现:列文虎克观察到的就是微生物——细菌。
图片
列文虎克的草图
Leeuwenhoek's first drawings of''animacules''
现在科学家们已经知道了:地球上的空气、水、土壤以及各种生物体内都布满了细菌,即便在喜马拉雅山上和马里亚纳海沟底部也能找到细菌的踪影,细菌几乎无处不在。地球上细菌的总数大约有5×10^30个,比地球上所有其它生物的细胞总和还要多。在1kg的土壤中,大约有4000万个细菌;在1mL的水中,也会有100万个细菌。
图片
科学家们在马里亚纳海沟中发现的细菌
数量庞大的细菌是从哪里来的呢?最初,人们认为细菌是无中生有的。比如把肉汤放置一段时间,肉汤就会变的浑浊,里面布满了细菌,所以细菌是从肉汤中产生的。不过这种说法在1864年被法国著名科学家巴斯德的实验推翻了。
图片
易·巴斯德
Louis Pasteur
巴斯德把一些肉汤装进瓶子里,并把玻璃瓶的瓶口弄得非常弯曲,像鹅的脖子一样,起名鹅颈瓶。然后让装有肉汤的鹅颈瓶在火上加热,杀灭肉汤中的细菌。随后,巴斯德把肉汤静置在房间中,整整一年的时间。一年后,当巴斯德再次观察瓶子时,瓶子中的肉汤依然澄清,这就表示肉汤并没有产生细菌。
图片
巴斯德解释说:这是因为弯曲的瓶口阻碍了空气的流动。空气中的细菌飘到瓶口之后,无法上升进入肉汤之中。既然空气中的细菌进不去,就没办法在肉汤中繁殖,所以肉汤依然是澄清的。
图片
作为对比,巴斯德将瓶口的鹅颈去掉,重新做了这个实验,仅仅过了一天,汤就变得浑浊了。这说明空气中的细菌落入了肉汤里,并在肉汤里大量繁殖。
巴斯德鹅颈瓶实验一下子让让他名扬天下,人类终于承认了细菌并不是无中生有的:必须有菌源,才会有大量的细菌繁殖。而菌源存在于我们生活环境的各个角落里。这个瓶子至今仍然摆放在法国的巴斯德博物馆。
图片
当然,作为微生物学之父,巴斯德的贡献可不仅限于此。他发明了狂犬病疫苗和炭疽疫苗,他还并且发明了巴氏杀菌法——一种能够杀死大部分病菌却不会破坏营养成分的方法,现在广泛用于制造牛奶、啤酒等饮品的行业中。
2
细菌的结构
细菌种类众多,形态各异。不过大体还是可以分为三类。
第一类细菌叫做球菌,这种细菌的形状是球体,有时会许多个聚集在一起生活。例如肺炎双球菌、葡萄球菌等。
图片
肺炎双球菌
Pneumococcus
图片
葡萄球菌
Staphylococcus
第二类叫做杆菌,形状是一个长杆,比如大肠杆菌、炭疽杆菌。
图片
大肠杆菌
Escherichia coli
图片
炭疽杆菌
Bacillus anthracis
第三种叫做螺旋菌,成螺旋状或者弧形,比如霍乱弧菌。
图片
霍乱弧菌
Vibrio cholera
虽然形状千差万别,但是细菌是一个单细胞生物,它们都具有相似的细胞结构。
在细菌外层有细胞壁和细胞膜,内部有细胞质和遗传物质DNA。与动植物细胞不同的是:细菌没有细胞核,DNA所在的区域叫做核区。
图片
细菌结构图
有些细菌有鞭毛,可以让细菌移动。还有些细菌外层有荚膜,用以保护细菌。荚膜比较光滑,如果晚上吃了甜食又不刷牙,早上起来牙齿会滑滑的,这就是因为细菌布满了牙齿表面,荚膜让牙齿变得滑滑的。
3
细菌的营养类型
细菌是一种生物,为了维持生命活动,必须从外界获得营养。按照获得营养方式的不同,细菌可以分为自养和异养两种。
自养细菌是那些可以自己制造有机物的细菌。例如蓝细菌中存在叶绿素,叶绿素可以进行光合作用,就是把环境中的二氧化碳和水利用光能合成为有机物,供自己使用。这一点与植物非常类似,但是植物的叶绿素存在于叶绿体中,而细菌里并没有叶绿体。
图片
蓝细菌
Cyanobacteria
还有一种细菌叫做硫化细菌,它可以吸收环境中的硫化氢气体和氧气,并还原出硫,再把硫化合成硫酸,这个过程可以产生化学能。利用这种化学能,硫化细菌再用来将二氧化碳和水合成有机物。这种细菌并不需要阳光,常见于矿山的水坑之中。
图片
硫化细菌
Thiobacillus
不过,大多数细菌都是异氧型细菌,就是自身并不生产有机物,而是直接吸收其他生物的有机物使用。异氧菌又可以大体分为三类。
第一类叫做寄生细菌,在动植物的体内或者体表寄生,可能使动植物患病。
第二类叫做腐生细菌,从已经死亡的动植物尸体中获取有机物的细菌。这一类细菌能够把动植物尸体中的有机物分解为无机盐,同时获得自身生命活动所需要的能量,这个过程对自然界的意义非同小可。动植物每天都在死去,它们的尸体都是由腐生细菌处理,再让无机物重新进入生物循环。我们一般把植物叫做生产者——利用无机物制造有机物,动物叫做消费者——摄取有机物,而细菌就是分解者——把有机物分解成无机物。假如没有细菌,我们的世界将遍地都是动植物尸体。
图片
生物循环
除了以上两种外,还有一种异养方式叫做共生:细菌与动植物相互依存,动植物为细菌提供养分,细菌也同时帮动植物的忙。例如根瘤菌通常与豆科植物共生,它可以固定大气中的氮,为植物提供所需要的养料。
图片
根瘤菌
再比如,人体内有许许多多的共生细菌,这些细菌彼此制衡,共同为人类的生活服务,大部分的细菌对人体都是有益的。例如,大肠杆菌生活在肠道内,可以为人类制造维生素。如果人体缺乏某种细菌,或者某种细菌太多了,就会造成菌群紊乱,人就会生病。
图片
共生细菌的作用
我们曾经认为人体是一台精密的机器,由呼吸、消化、泌尿、生殖、神经、免疫系统组成,体内有各种各样的酶调节身体的平衡。然而,最近科学家们才发现,人体更像一个生态系统,是无数细菌的家园。
4
细菌的繁殖
既然细菌这么有用,我们为什么还要防菌杀菌呢?
这是因为:细菌的繁殖速度太快了,而且总有一些细菌对人体是有害的。科学家们发现:细菌的繁殖方法叫做分裂生殖:1个变2个,2个变4个,4个变8个…
图片
细菌分裂
Bacterial division
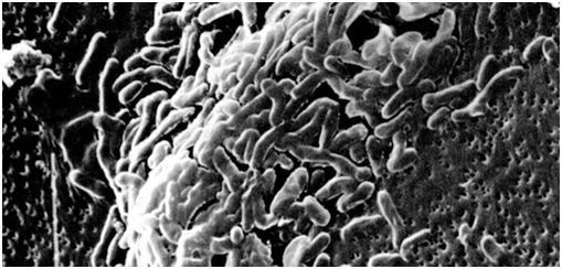
在营养充足、温度合适的情况下,细菌的分裂周期大约20到30分钟。每天有24小时,一只细菌理论上可以分裂48次以上,变为2^48=3×10^14个,大量的细菌集合在一起,就构成了肉眼可见的菌落。
图片
菌落
Colony
所以,如果我们早上洗手,洗掉了99%的细菌,到了晚上细菌又会布满我们的手;如果我们早上刷牙,刷掉了99%的细菌,到了晚上牙齿上又会布满细菌。正是因为细菌的繁殖速度如此之快,我们才需要经常洗手、经常刷牙。
有些细菌具有独特的生存本领:当环境不合适时,它的细胞壁会变厚,细胞整体变小,变成芽孢。
图片
芽孢
Endospore
芽孢是一种休眠状态的细菌,具有很强的环境适应能力,可以抵御极寒、高温、辐射等环境,等待环境合适时,芽孢又可以变回细菌,进行繁殖活动。有一个很著名的例子:月球探测器勘测者3号在1967年被发射到月球上,1969年被阿波罗12号带回地球。结果研究人员发现:在探测车的摄像机上,依然可以培养出细菌。这说明有一些细菌在月球那种昼夜温差极大、真空、强辐射的环境下,顽强生存了两年半。这让许多人相信:也许地球上的生命也是从其他星球带来的细菌引起的,同时也促使人类登陆其它星球时采取更严格的无菌计划,以避免对其它星球进行生物污染。
图片
勘测者3号
曾经有恐怖分子在美国邮寄炭疽信件,使用的就是炭疽病菌的芽孢。这些芽孢成粉末状,很方便就可以装在信封里。打开信封的瞬间,芽孢进入人体,有了合适的生存环境,就又可可以变为细菌进行繁殖。
图片
炭疽信件
5
应对细菌
如何应对生活中无处不在的细菌呢?
第一种是合理预防。比如勤洗手,使用消毒液,注意饮食卫生等。除此之外,戴口罩也是一种很好的预防方法。
图片
在生活中,感染了病菌的人可能会出现打喷嚏、咳嗽等症状,这是人体自身的免疫反应:通过这样的方式将细菌喷出人体。但是,同时也会造成其他人的感染。据科学家估计:患者每个喷嚏中含有数千万个细菌,这些细菌可以在一秒钟的时间内飞出5米远,然后细菌在飞沫中又会在空中漂浮大约30分钟。所以,病人在房间里打一个喷嚏,就可以让整个房间布满细菌。即便之后水分蒸发了,细菌依然可能变为芽孢,随着空气中的气溶胶飘30个小时。佩戴合适的口罩,可以阻断这种传染方式,是一种对自己和他人负责的方式。
第二种是使用疫苗。人们已经开发出了许多种针对细菌的疫苗,例如破伤风疫苗、白喉疫苗等。这些疫苗实际上是灭活的细菌,可以刺激人体的免疫细胞产生记忆性,当这种细菌再次感染人体时,免疫系统就很容易把它们消灭。
图片
疫苗
第三种是使用抗生素,比如头孢、阿莫西林等。抗生素是一种针对细菌的药物,它们可以破坏细菌的细胞壁或者干扰细菌的复制,从而治疗细菌感染。自从人类掌握了抗生素以来,在和细菌的斗争中就取得了节节胜利。然而,抗生素在杀灭大量细菌的同时,也会有副作用。例如:抗生素会选择出耐药性强的细菌——超级细菌。同时,广谱抗生素在杀灭有害细菌的同时,也会杀灭有益菌,让人体菌群失衡,产生疾病。
图片
抗生素
不过,这次的武汉新型肺炎是病毒引起的,抗生素对病毒完全无效。而针对这种病毒的疫苗也没有研发出来,在这样的情况下,我们只能通过预防来应对疾病。
细菌在生活中还有许多其他应用。例如做醋时需要用醋杆菌,做酸奶时要用乳酸菌,制造沼气时要用甲烷菌,最近几十年,人类又发现了细菌的其他用处:基因工程。因为细菌分裂很快,人们可以利用细菌来制造人们所需要的胰岛素等物质。细菌在我们的生活中扮演了越来越重要的角色。
关于另外一种病原体——病毒的话题,我们会在下期给大家介绍。
重要提醒
肺炎疫情来势汹汹,许多辅导班都取消了。但在美提课堂全体老师的努力下,寒假第一期在线课程顺利结束第二期课程也将会在2月2日按时开课。在家就能学的中小学名师课程,完美实现停课不停学。