较真 |北大肿瘤医院影像科副主任唐磊:患者为何要做那么多检查

图片
专家之声:
每年的4月15日~21日为全国肿瘤防治宣传周。今年,北京大学肿瘤医院与腾讯新闻在该活动期间联合推出了肿瘤防治系列微课堂,腾讯较真平台获权发布演讲精彩实录,以飨读者。
演讲者:唐磊 | 北京大学肿瘤医院医学影像科副主任,主任医师,教授
影像科是做什么的?大家可能会说,影像科就是拍片的呗。这个回答是正确的,但是不全面。影像科除了拍片,其实还有很多的工作,下面我结合具体问题来给大家讲一讲。
一、影像学检查手段能为临床医生诊断提供有力的支持
德国的伦琴教授在1895年发现了X线,第一次通过X线看到了人体内部的结构,也开创了影像科的起点。所以跟内外科相比,影像是一个很年轻的学科。但是在短短的一百多年间,影像科的发展非常之快,是在医学各个领域里发展最快的学科之一,有17位诺贝尔奖获得者的工作与医学影像直接或间接相关。
图片(德国科学家伦琴于1895年发现X线成像机制,获得第一届诺贝尔物理学奖,同时也奠定了医学影像学的基)
现在从头顶到脚趾,人身体几乎所有的部位都可以通过各种影像学手段来检出和显示,这为临床医生的治疗提供了丰富的信息。
影像科的检查设备主要有X线机、超声、CT、MRI(磁共振)以及PET(正电子发射型计算机断层显像)等等。这些设备,大多数人一生中都会有所接触。
二、影像学检查手段中,超声和磁共振属于非电离辐射,X线和CT、PET属于电离辐射,但不管哪种检查手段,医生都会控制在安全范围内,大家可以放心做检查
第一个问题,可能也是大家最关心的问题,就是应用这些设备检查,会不会对人体造成伤害?
其实别看设备那么多,它们的本质都一样的,都是无线电波。随着能量的升高,无线电波的波长会越来越短,频率会越来越高。
影像科常用的分成两类,一类叫非电离辐射,一类叫电离辐射。
手机、电脑、电视、微波炉、收音机等这些家用电器,它们发射的无线电波都属于非电离辐射,也因为能量很低,所以不会对人体造成损伤。影像科常用的超声和MRI(磁共振),就属于这一类。
另一种是电离辐射,当它达到一定剂量的时候,就有可能对人体带来风险,包括破坏DNA、杀伤细胞、导致潜在的致癌等等。
大家需要注意的是,射线要达到一定剂量才会造成损伤。离开辐射剂量谈损伤,就像离开药物剂量谈毒性一样,“都是耍流氓”。影像科的常规检查剂量是相对安全的,达不到显著损伤人体的程度。
图片(影像学常用设备辐射类别、波长示意图)
其实人类生活在地球上,每时每刻都在接受着辐射,有来自宇宙射线的,有来自周围建筑物的,甚至吃饭喝水都会产生微量的辐射。科学上用毫西弗(mSv)这个单位来衡量人体接受的辐射剂量。一个人一年大约会有2.4mSv的背景摄入量,来源包括饮食、地表氡气、宇宙辐射、建筑等等。而拍摄一个胸部X线平片只有0.05mSv,可以说是很低的剂量了。
再比如坐飞机,因为飞机处在高空,所以接受的宇宙辐射会强一些,从中国到美国飞一次,大约十多个小时,这个过程能让人体摄入0.08mSv的射线剂量,近似拍一张胸片的剂量。
那么CT检查呢?一次CT平扫会带来大约6mSv的辐射量。大家是不是觉得6mSv很高了?那不妨看一下吸烟带来的辐射量。一个烟民假设每天吸烟1.5包,那么他一年通过吸烟摄入的辐射剂量将达到13mSv,相当于做2次CT检查了。所以,CT的辐射剂量也是较低的,医生会控制在安全范围之内。
至于在体检中应用的低剂量螺旋CT,它的辐射量就更低了,只有常规CT的十分之一到五分之一,所以会更安全。
美国已有报道,单次辐射剂量只要在50mSv以下,可以认为是安全的。所以,大家不必过分担心。
三、患者之所以要做那么多检查,是因为不同的检查手段有不同的侧重和适合病种,搭配结合起来,有助于得到更准确的判断
接下来,我通过一个多年前接诊过的病例来讲解。
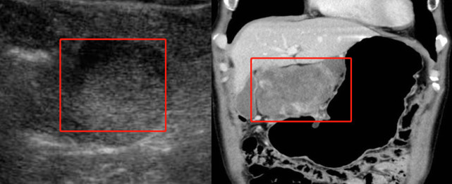
老杨,65岁,B超体检时发现肚子里长了一个肿块,直径已经达到10多厘米了。然后,医生建议他做CT。他就有疑问了,为什么已经做了B超,还要做CT?
图片(左图为B超结果,右图为CT结果,红色框区为肿块)
可以看到,CT对于肿块内部结构的显示比B超要清晰,而且能明显辨别周围的器官,更清楚地显示肿块范围及与周围脏器的关系。
那为什么不直接做CT,而是用B超做体检呢?
因为B超简便易行,无辐射损伤,安全、经济,适合作为初筛手段。如果发现有肿物了,再用CT去做进一步的检查,才是合理的搭配。
大家可能会有进一步的疑问,说医生有的时候不仅要求做CT,还要求做MRI,甚至是做PET,为什么要做这么多检查?
主要因为不同部位或者不同性质的肿瘤,对各种检查的敏感性不同。并没有一种万能的检查手段,可以“一招通看所有肿瘤”。当A方法不足以做出判断时,就需要用B方法了。
请看下面的病例:
图片(患者的CT与磁共振结果,红框内为可疑结节)
这位肠癌患者在做术前CT分期时,在肝脏上看到了两枚模糊的结节,这个时候是要考虑肝转移的,但是因为CT的软组织分辨率有限,对于一些不典型转移和良性病灶鉴别起来比较困难。而该病例如果确定肝转移,治疗选择就会不一样,可能会从直接手术转为先化疗再手术。
所以我们在MDT(多学科诊疗)讨论后建议先进行MRI(磁共振)检查进一步确认。MRI软组织分辨率优于CT,对肝转移鉴别的准确率更高。后来这位患者做了MRI后发现,肝脏结节是一个典型肝血管瘤的表现,而肝血管瘤是良性肿瘤,这么小是不需要任何处理的。后来患者放心进行了肠癌手术,至今生存超过五年没有复发。
所以,我们通过不同方法手段的组合搭配,力求得到一个更精准的诊断,这样临床治疗也能做到有的放矢,得出一个最佳方案。
四、患者能不能感知到肿瘤的存在,取决于肿瘤的位置和病情进展
我们在临床上不时会遇到这样的问题,影像检查报告说病人腹腔里有一个直径10厘米甚至更大的肿块,病人不相信,说肚子里这么大的一个肿块,为什么我没有任何感觉?
图片(箭头所示为增厚的胃壁,即胃癌原发灶;腹腔中的两个20~30厘米的巨大肿物为卵巢转移灶)
就像这位女性患者,25岁,非常年轻,当时就是觉得肚子有点鼓,也不疼,没有明显的不适症状。她也是先做的B超发现了肿块,后又做了CT,结果一看,腹盆腔里有一个直径30多厘米和一个直径20厘米的大瘤子,仔细观察又发现她的胃壁也有增厚,后来进一步胃镜检查确诊是胃癌。她其实是胃癌转移到了双侧的卵巢,已经是晚期了,但也没有明显症状。原因其实跟肿瘤所处的位置有关。
对于腹盆腔或胸腔而言,由于它们的空间都是比较大的,所以这里面的肿瘤有时就能长得比较大而不引起明显症状。但是有一些比较小的或者是长在比较重要位置的肿瘤,比如说在椎管或脑里边的肿瘤,由于椎管里的空间很狭小,直径不到1厘米的肿瘤就可能明显压迫脊髓或神经根出现症状;脑作为神经中枢,小的肿瘤也很可能影响所在脑区支配的肢体进而出现症状,如小脑肿瘤患者会出现走路不稳等问题。
图片(左图为脑MRI,高亮圆点为转移瘤;右图为腰椎MRI,白色区域为被挤压的椎管)
五、由于很多肿瘤在早期没有症状,所以早癌筛查是有其必要性的,具体的检查项目要根据个人情况进行评估
那么既然肿瘤很大都可能没有症状,可能有人就会问了,体检到底有没有用,能不能早期发现癌症?
其实关于早癌筛查或者叫防癌体检现在已经形成了一些共识,它跟普通的体检是不一样的,它有一些比较严格和专业性更强的要求。
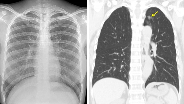
至于具体要筛查哪些项目,要根据患者的年龄、肿瘤家族史,有没有吸烟、酗酒等高危因素来进行判断。涉及到影像学的筛查手段,包括腹部、甲状腺和妇科的肿瘤可以用B超来做初筛初诊,肺癌适合用低剂量螺旋CT来初筛,肺的早癌拍胸部X线平片是很难看出来的。美国有一组数据,比较通过X线胸片体检和用低剂量螺旋CT体检的结果,后者能够把肺癌死亡率降低五分之一,这是非常大的一个提高了。所以,肺癌筛查要用低剂量螺旋CT。
图片(左图为X线胸片,未见异常征象;右图为肺CT,可见左上肺结节,手术证实为周围型肺腺癌)
MRI(磁共振)一般不作为常规体检手段应用,如果怀疑有脑、肝、脊柱这些比较深的位置有肿瘤的话,可以用磁共振来去做筛查或作为二线确诊的手段。中国乙肝患者众多,乙肝继发肝硬化的概率较高,而肝硬化时间长了就会有恶变成肝癌(HCC)的风险。如果怀疑患有肝癌,也可以用磁共振进一步明确。
另外,乳腺癌是女性非常高发的肿瘤,可以用钼靶配合B超来筛查。
六、影像科医生不仅有台前的,也有幕后的,他们是内外科医生的“眼睛”,能帮忙“看清楚”肿瘤,为肿瘤的综合治疗提供精准的影像判断
再回到老杨的故事。老杨最早是带CT片来找我会诊的。他给我的印象很深,是因为他跟其他患者不太一样:其他患者多是问,我得了什么病,是良性还是恶性;但是老杨上来先问,大夫您看看我还能不能再活五个月?我就很奇怪。后来问他才知道,他自己一个人带大的一个女儿,女儿后来结婚怀孕了,还有五个月就要生宝宝了,他就想知道,我能不能活着看到我的外孙出生。
其实他来找我之前也去过一些医院,不同医院的医生给的说法也不一样,有的说是肝癌,有的说是胃癌,有的说可能是胰腺来的恶性肿瘤。有的觉得是恶性的,瘤子都这么大了,生存期可能超不过三个月。他到我们医院来就诊是信任我们。我们就用影像学的方法来给他做一个更确切的诊断,看看他得的到底是什么病。
这里就涉及到影像科的第二个梯队,就是影像科的诊断医生。他们是在幕后工作的,给大家出诊断的。大家看到的给患者摆体位的、做扫描的、打造影剂的,有技师也有护士,这是影像科的第一梯队。在大家看不到的地方,实际上还有第二梯队。患者在拍片之后,都能打印出来一个报告,有的人觉得这个报告是不是机器自动生成的?不是的,都是幕后的诊断医生一个一个写出来的。医生会根据各种检查提供的征象,找到细节的一些点,来进行诊断。
老杨的这个病例,因为他的肿瘤较大,又处在上腹部这个脏器众多的区域,导致和肝胆胰胃都分界不清,那么肿瘤到底是哪起源的?不同脏器来的肿瘤治疗可能是差别很大的,所以确认起源脏器进而做出准确诊断,对临床治疗是非常重要的。
在这个病例中我们用的一个手段就叫“本源血供征”。找不到是哪个脏器来的,就找它的血供,看看谁给它供血,那么谁就是孕育这个肿瘤的母体,跟胎儿和脐带的关系类似。后来追到血管是从胃发出来的,我就认为这个肿瘤是胃上长出来的。
确定了脏器,这还只是第一步。
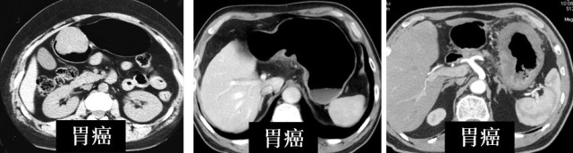
图片(老杨腹部CT片分析)
第二步就要判断肿瘤是从胃哪层起源的,胃有黏膜(分泌胃酸)和肌层(研磨食物)两个功能层,不同层次起源的肿瘤类型也是不一样的。我们再根据“桥样皱襞”这个征象来判断,肿瘤是从黏膜下来的,从而除外了胃癌的可能性。
第三步再根据它的强化、均匀度、相对位置、有无肿大淋巴结等一系列的征象,最后诊断为胃肠间质瘤(GIST)。
所以大家知道影像科医生是干什么的了吧。有时候内外科医生会说,你们很重要,是我们的“眼睛”。因为他们需要通过影像医生看到、看清这个病,然后才能进行更精准的治疗。
给老杨诊断为胃肠间质瘤之后,临床医生就先给他用了格列卫这个靶向药物,就是电影《我不是药神》里提到的那个药,它除了对血液肿瘤疗效好,对胃肠间质瘤的治疗也有奇效。
为什么不直接手术呢?前面提到,老杨的肿瘤和周围脏器关系很近,有可能侵犯多个脏器,此时手术可能会做得比较大,为了把肿瘤切干净就要损失一部分脏器的功能,所以医生先给他用了这个药。目的就是要让他的肿瘤缩小,跟周围的脏器分开,这个时候再切除就能避免伤害周围的脏器,手术的创伤相对也会更小。
老杨用药半年以后,他的肿瘤明显地缩小、坏死了;看到外孙出生后,自己也顺利地切除了肿瘤。切除之后,通过标本病理也证实了胃肠间质瘤的诊断无误。
这个事如果发生在若干年以前,可能就只有一个办法:把肚子打开看看,肿瘤能切下来就切,切不下来就尝试硬切,周围的脏器联合切除很多,有些病人就因为术后并发症不在了;有的时候切不下来的就不切了,关上肚子再去打化疗,但化疗药物也就那几种,到二三线可选的药物就很少了。
但是现在不一样了,外科有各种新的手段,除了开腹,还可以用腔镜,可以用内镜下黏膜切除术,还可以用机器人手术;内科药物除了传统的化疗药,还有靶向药物,以及近年来研究很热的免疫治疗;影像引导下的非手术局部治疗也有较大进展。肿瘤患者可选择的治疗手段越来越多。
而选择越多,影像科发挥作用的机会和空间就越大。因为需要一个可靠的裁判,针对某一位特定的患者,评判哪个治疗方法是最合适的。影像学无疑是最合适的手段之一,可以在打开肚子之前,看到肚子里面有什么,不用等肚子打开以后再进行评估。
图片(唐磊教授在演讲中,摄影/朱笛)
七、影像科提供形态学判断,多数肿瘤确诊的金标准依然是病理学诊断
患者可能会问,是不是做完影像检查了,就等于确诊了?
其实不是,因为影像学还处于形态学诊断阶段,目前它的分辨率还看不到细胞层次。而确诊指的是病理,在显微镜下看到肿瘤细胞才可做出最终判断。
打个比方,影像医生是“警察”,他要去确定犯罪嫌疑人,帮助内科外科医生抓到他,至于判断这个嫌疑人是不是真正的罪犯、如何量刑,则是要由法官来裁定的,而病理科的医生就是“法官”。
图片(老杨的病理切片图像)
八、影像科医生是诊断医生,不只是看片子的,如果询问病史,患者应详细介绍
有的病人还提过这样的问题,你们不是看片子写报告就成了吗,为什么还要问我病史,有时还打电话来问,你们也不是临床医生,问我这么多干吗?
首先纠正一个认识,影像医生也是临床医生,也是通过了规范化的临床各专业培训后,参加临床工作的,影像科医生具有丰富的临床知识,甚至比专科医生更全面,因为内外妇儿各专业的片子都要会看,意味着这些病他们都要认识。
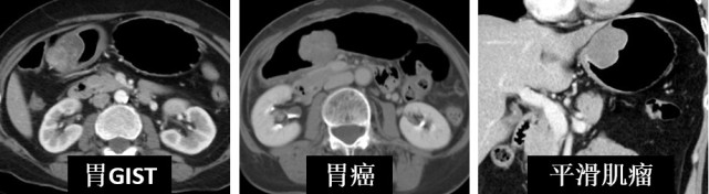
第二点,影像学有一个术语叫“异病同征,同病异征”。如图所示:
图片(异病同征示例)
这一排是胃的肿瘤,有胃肠间质瘤GIST、胃癌、平滑肌瘤,看起来都是球形的,但是它们是完全不同的病,治疗方法也完全不一样。
图片(同病异征示例)
这一排则都是胃癌,左边长得像球,中间的像个火山口,右边的则是整个弥漫的增厚,所以同样的肿瘤也可能长成不一样的形态。
这个时候影像医生就需要结合患者症状、病史和各种检查结果再去做进一步的判断。所以影像科医生是诊断医生,而不是只看片子的。如果有影像医生询问您相关的病史,是为了得到一个准确的判断,大家一定要详尽如实地跟医生们介绍。
九、恶性肿瘤手术后,及时的定期复查很重要,以保证尽早发现复发,尽早治疗
再回到老杨的故事。老杨经过治疗以后成功切除了肿瘤,也看到了他的小外孙。但是两年之后,他又回来了,发现肿瘤复发,腹腔里又新发了一个大肿块。
临床医生马上又给他用上了靶向药物,治疗了三个月之后,肿瘤整体明显缩小了,似乎效果很好,但是我们看到在它的后方又出现了一个新的活性结节,长得非常快。这也是现在一些新兴治疗如靶向及免疫治疗过程中可能会面对的问题,对一些肿瘤的疗效确实非常好,可以短期内使其迅速缩小,但是由于肿瘤异质性的原因,一部分耐药的组织又会迅速增大,短期内快速进展。这时候我们赶紧给他加量、换用二线药物,但是已经控制不住了。后期肿瘤占据了几乎大半个腹腔。后来老杨还是没能陪女儿继续走下去。
图片(老杨肿瘤复发与治疗的过程犹如“过山车”)
其间跟老杨聊过一次,他说晚上躺着睡觉的时候,能够听到“肿瘤生长的声音”。我到现在也没弄明白,肿瘤生长到底是什么声音,但确实有些肿瘤长得非常快,所以需要引起患者的警惕,积极通过影像手段评判后尽快治疗或调整方案。所以,现在的靶向治疗,在治疗初期可能是一个月或一个半月来复查。患者可能有疑问,为什么要给我做这么多的检查?术后也有患者会问,我都做完手术了,瘤子都切掉了,干嘛还检查?
而老杨的经历就能回答这样的问题。他的肿瘤复发,长到直径10厘米时才来复查。如果能在术后定期规范复查,在复发早期,肿瘤只有几厘米的时候就发现,从而尽快用药治疗,或者尽早地调整方案,有没有可能会获得更好的结果,这也是我们时常思考的。
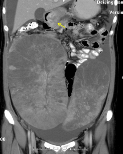
图片(胃癌患者术后复查的影像记录)
再看看这位远端胃癌患者,因为术后常规定期复查,在术后半年检查时发现在肝右叶有一个新发的很小的结节,我们就给他做了射频治疗,都不用手术,射频完了之后过了一年,这一片就坏死了,没什么活性了,现在三年多了患者活得非常好。所以早发现、早治疗很重要。
图片(患者术后复查的影像记录,肝上的大片阴影皆为转移灶)
相反的,像这两位患者,左图是乳腺癌患者的,术后一年半才复查;右图是结肠癌患者的,也是一年半以后复查,结果一看满肝都是转移,这个时候再治疗就比较困难了。当然我们也有各种药物,但是效果肯定没有及时发现的好。
所以医生会根据患者病情,肿瘤进展的情况开具相关检查,并根据复发风险的预测决定复查的时间间隔。因此如果自己信任的经治医生给您开了相关检查,就要按照医生的要求去定时、规范地检查,早期检出可能的复发,取得更好疗效和长期生存。
十、结节是中性词,有良性恶性之分;长相规则圆溜、边缘光滑齐整的结节通常是良性的,张牙舞爪、浸润性生长的结节则可能是恶性的
最后一个问题,也是很多患者在问的。现在做体检的人越来越多了,有患者就会拿着体检报告来找我,说肺上长了一个结节,坏了,我得癌了,包括一些朋友也恐惧自己报告上的结节是不是指的肿瘤,这其实存在一个误区。
影像科报告的“结节”是一个形态描述,是个中性词;就相当于我们提到“人”,只是一个客观描述,并不代表是好人还是坏人。结节也是一样,有良性结节和恶性结节之分。
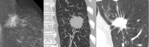
图片(影像结果示例)
左边这张图,是一个乳腺的结节,中间和右边的图是肺结节。大家看,圆溜溜的,像玻璃球一样的,边缘也很光滑,这是良性的表现。小的甚至不需要任何处理。
图片(影像结果示例)
大家再看这组病例,左边还是乳腺结节,中间和右边的是肺结节。这些结节的边缘都很毛糙,像有很多小爪伸出来,专业词汇叫“毛刺”或“浸润生长”,这是恶性的一个比较典型的特征,恶性肿瘤往往是浸润生长的。
所以这也是为什么恶性肿瘤不好治的重要原因之一,因为它浸润生长的行为,常会侵犯到周围的脏器,或侵入血管导致远处转移、全身播散,导致很难被根除。癌症“Cancer”这个词来自于拉丁语“螃蟹”的意思,很形象。你看它长得张牙舞爪,像螃蟹一样的,可能就是恶性的。
图片(唐磊教授在演讲中,摄影/朱笛)
“方寸辨良恶,黑白显神通;科学识射线,慧眼保健康”,这就是影像科医生的工作。正像抗癌宣传周的口号一样——科学抗癌,关爱生命,抗癌路上,你我同赢。我们会做好内外科医生和患者的保障,为肿瘤诊治尽我们的力量,为大家的健康保驾护航;也请大家和我们一起,科学认识射线,使它成为我们健康生活的守护者、抗肿瘤治疗的侦察兵,谢谢大家!
【专家简介】
图片
唐磊
北京大学肿瘤医院医学影像科副主任,主任医师、教授、硕士生导师,院门诊部副主任。
中国临床肿瘤学会CSCO青年委员、胃癌专委会影像学组组长,中华医学会肿瘤分会胃癌学组委员,中国医师协会外科分会MDT专委会及胃肠间质瘤专委会委员,北京抗癌协会青年理事会常务理事,北京市放射学会腹部学组副组长;欧洲放射学会通讯会员、国际胃癌学会IGCA会员。
专长领域为肿瘤影像学,发掘影像学在肿瘤多学科协作和个体化诊疗的应用潜力,在Annals of Oncology, Radiology等SCI期刊及国内核心期刊发表论文50余篇,相关研究成果写入卫健委、CSCO等多项临床规范或指南。主持两项国家自然科学基金、一项北京市自然科学基金重点项目。作为专家组成员或执笔人参与《卫健委胃癌诊疗规范(2018版)》、《CSCO胃癌诊疗指南》等胃肠道肿瘤相关临床共识或指南的编写。
(文中标题皆为编辑所加,本文编辑:zolazhang)
想了解更多肿瘤知识?微信搜索“较真辟谣神器”小程序,点击“问答”进行提问,较真妹等你哦~
版权声明:本文系腾讯较真独家稿件,未经授权,禁止媒体转载。欢迎个人转发至朋友圈。